Стоматолог Мирзебалаева Юлия Михайловна — цены, отзывы, стаж — Принимает в Москве

Мирзебалаева Юлия Михайловна

Мирзебалаева Юлия Михайловна - фотография
стоматолог-терапевт
стоматолог-гигиенист
Стаж 18 лет
Мирзебалаева Юлия Михайловна принимает в «Сеть стоматологий КАРИЕСУ.НЕТ НА ШОКАЛЬСКОГО» в Москве. Стаж 18 лет. Специализируется на терапии и гигиене полости рта, по которым клиника оказывает 21 услугу. Квалификация специалиста подтверждена 13 лицензиями, сертификатами и наградами. Также 32top представляет форму онлайн расписания, через которую можно записаться к специалисту на свободную дату и время.

Где принимает:

13 сертификатов
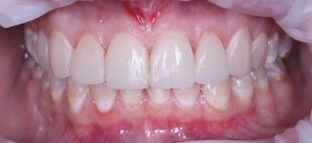
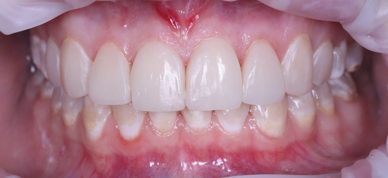
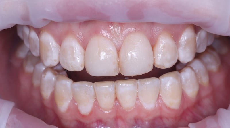
1 работа в портфолио
Опыт 18 лет

Мирзебалаева Юлия Михайловна: портфолио (1)

Отзывы о враче Мирзебалаева Юлия Михайловна

Почему нашим отзывам можно доверять?
После приема Пациент записывался в клинику через 32top. После приёма мы позвонили ему и получили отзыв.
28 сентября 2024 г.
1 2 3 4 5
Хотела бы оставить отзыв о замечательной клиники, которую мне удалось недавно посетить. Это филиал стоматологии КАРИЕСУ.НЕТ на Шокальского. Делала зуб у Мирзебалаевой Юлии Михайловны. Прекрасный специалист, профессионал своего дела! Под микроскопом мне удалила нерв, починила зуб, поставили хорошую пломбу. Лечение заняло около полутора часов. Медсестра всегда тоже была рядом, помогала, поддерживала. Я даже сказала им после приема, что они просто кудесницы! Очень меня радует эта клиника уже не первый раз и, надеюсь, не последний! Благодарю вас, уважаемые врачи и администраторы, за наивысший сервис и внимание!
    Помогите другим сделать правильный выбор — оставьте свой отзыв о докторе
    Написать отзыв

    Услуги стоматолога в других клиниках

    Терапевтическая стоматология
    Лечение кариеса от 3 500 ₽ до 14 500 ₽
    Лечение пульпита от 5 000 ₽ до 35 000 ₽
    Еще услуги
    Профгигиена
    Чистка зубов Air-flow от 1 000 ₽ до 12 800 ₽
    Фторирование зубов от 50 ₽ до 7 500 ₽
    Еще услуги