Стоматолог Коробков Илья Владимирович — цены, отзывы, стаж — Принимает в Москве

Коробков Илья Владимирович

Коробков Илья Владимирович - фотография
стоматолог-терапевт
стоматолог-хирург
стоматолог-имплантолог
Стаж 24 года
Коробков Илья Владимирович принимает в «Центр профессиональной стоматологии ПОМОЩЬ СТОМАТОЛОГА» в Москве. Стаж 24 года. Специализируется на терапии, хирургии и имплантологии, по которым клиника оказывает 17 услуг. Имеет 6 работ до/после в портфолио. Для уточнения дополнительной информации о специалисте или записи на прием можно позвонить по телефону
+7 (495)Показать телефон
.

Где принимает:

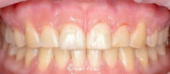
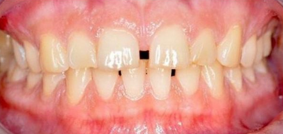
6 работ в портфолио
Опыт 24 года

Коробков Илья Владимирович: портфолио (6)

Отзывы о враче Коробков Илья Владимирович

Почему нашим отзывам можно доверять?
19 ноября 2014 г.
1 2 3 4 5
Не только хороший психолог, приятный мужчина, но и потрясающий специалист и опытный профессионал! Лишил меня 2-х зубов мудрости, которые не хотели прорезаться. Было страшно в первый раз, но на вторую операцию шла совершенно спокойно. Строго соблюдала все его рекомендации, все зажило быстро и без последствий. Спасибо Вам, Илья Владимирович! С уважением, Анна.
2 июня 2010 г.
1 2 3 4 5
Хирург И.В. Коробков оставил очень хорошее впечатление. Вырвал зуб так, что я даже боли не почувствовал и потом быстро всё зажило. Своё дело хорошо знает. Очень рад, что к нему попал. По профессионализму и работе с клиентом ставлю ему высшую оценку.
    Помогите другим сделать правильный выбор — оставьте свой отзыв о докторе
    Написать отзыв

    Услуги стоматолога в других клиниках

    Эстетическая стоматология
    Установка виниров от 29 000 ₽ до 82 600 ₽
    Пародонтология
    Лечение пародонтита от 170 ₽ до 33 600 ₽
    Лечение пародонтоза от 170 ₽ до 24 800 ₽
    Еще услуги
    Хирургическая стоматология
    Удаление зубов от 1 150 ₽ до 25 000 ₽
    Удаление кисты и гранулемы зуба от 600 ₽ до 48 500 ₽
    Еще услуги
    Протезирование зубов
    Установка коронки на зуб от 4 500 ₽ до 120 000 ₽
    Виды протезов
    Еще услуги