Стоматолог Гуревич Мария Яновна — цены, отзывы, стаж — Принимает в Москве

Гуревич Мария Яновна

Гуревич Мария Яновна - фотография
стоматолог-хирург
стоматолог-имплантолог
пародонтолог
Стаж 15 лет
главный врач
Гуревич Мария Яновна принимает в «Стоматология ДЕНТА» в Одинцово. Главный врач, стаж 15 лет. Специализируется на хирургии, имплантологии и пародонтологии, по которым клиника оказывает 10 услуг. Также 32top представляет форму онлайн расписания, через которую можно записаться к специалисту на свободную дату и время.

Где принимает:

1 работа в портфолио
Главный врач
Опыт 15 лет

О стоматологе

Мария Яновна занимается хирургией в полном объёме, в частности имплантацией и лечением дёсен.
Выполняет весь спектр работ в хирургии и пародонтологии. Удаления зубов любой сложности, резекцию верхушки корня с ретроградным пломбированием, удаление ретенционных кист, новообразований, устранение рецессий, увеличение прикрепленной десны, утолщение биотита десны, открытый и закрытый кюретажи, cинус-лифтинг открытый и закрытый, костная пластика, работы с различными системами имплантатов.

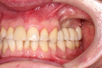
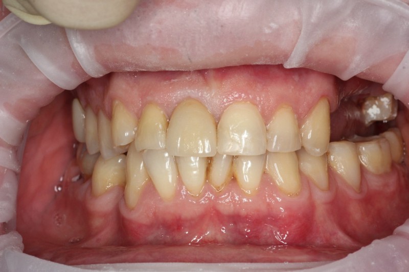
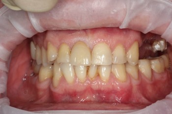
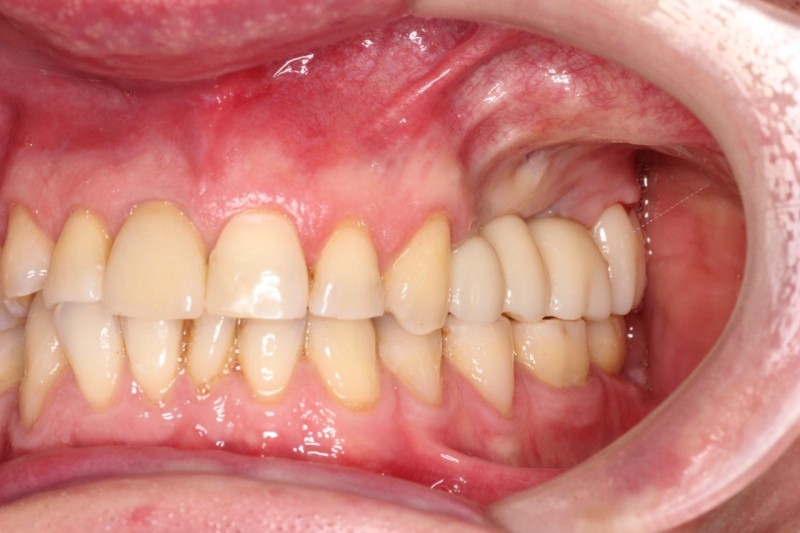
Гуревич Мария Яновна: портфолио (1)

    Помогите другим сделать правильный выбор — оставьте свой отзыв о докторе
    Написать отзыв

    Услуги стоматолога в других клиниках

    Пародонтология
    Лечение пародонтита от 170 ₽ до 33 600 ₽
    Лечение пародонтоза от 170 ₽ до 24 800 ₽
    Еще услуги
    Хирургическая стоматология
    Удаление зубов от 1 150 ₽ до 25 000 ₽
    Удаление кисты и гранулемы зуба от 600 ₽ до 48 500 ₽
    Еще услуги
    Имплантация
    Установка мини-импланта от 3 000 ₽ до 35 000 ₽
    Коронки на имплантах от 12 000 ₽ до 90 000 ₽
    Еще услуги