Стоматолог Стахеева Елена Викторовна — цены, отзывы, стаж — Принимает в Москве

Стахеева Елена Викторовна

Стахеева Елена Викторовна - фотография

5.0
Рейтинг: 5.0
Отзывов: 7
Положительных: 7
Отрицательных: 0
Последний : 1755 дн. назад
7 отзывов
стоматолог-терапевт
Стаж 35 лет
Стахеева Елена Викторовна принимает в «Стоматологическая клиника ЛАГУНА СТОМ» в Москве. Стаж 35 лет. Специализируется на терапии, по которой клиника оказывает 12 услуг. Имеет 5 работ до/после в портфолио. Квалификация специалиста подтверждена 3 лицензиями, сертификатами и наградами. Для уточнения дополнительной информации о специалисте или записи на прием можно позвонить по телефону
+7 (495)Показать телефон
.

Где принимает:

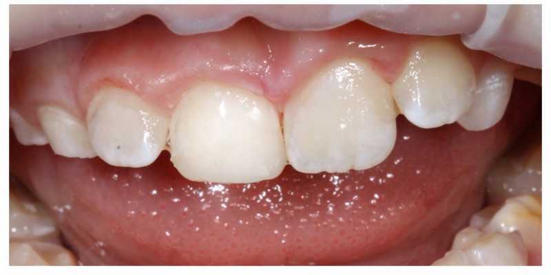
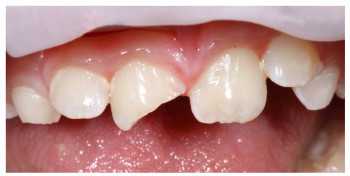
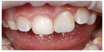
5 работ в портфолио
3 сертификата
Опыт 35 лет

Отзывы о враче Стахеева Елена Викторовна

Рейтинг: 5
Отзывов: 7
Положительных: 7
Отрицательных: 0
Последний: 1755 дн. назад
5.0
Почему нашим отзывам можно доверять?
7 июля 2021 г.
1 2 3 4 5
Стахеева Елена Викторовна замечательный специалист. Во время лечения объясняла каждый шаг процесса. Сохранила по максимуму мои больные зубы, все лишнее убрала если меня кто-то попросит порекомендовать действительно хорошего специалиста, я однозначно скажу, что стоит обратится к Елене Викторовне. Спасибо за лечение!!!
Рады, что работа Елены Викторовны произвела приятное впечатление на Вас, спасибо за отзыв. Крепкого Вам здоровья и всего наилучшего!
28 мая 2020 г.
1 2 3 4 5
Обратилась в клинику "Лагуна Стом" с острой болью. Всю ночь болел зуб. Очень было страшно идти, но другого варианта не было. Попала на приём к очень милому доктору - Елене Викторовне. Она очень подробно объяснила, почему так произошло и что нужно делать. В итоге - удалили нерв, поставили пломбу, которую совсем не видно. Обратила внимание, что соблюдают столько новых правил, в связи с пандемией. Даже маску выдали.
16 марта 2020 г.
1 2 3 4 5
Впервые мама привела меня к Стахеевой Елене Викторовне лет в 12. На четырёх зубах оказался ужасный кариес. Елена Викторовна меня лечила, работала с моими страхами, настраивала не бояться стоматологов. Все 20 лет хожу только к ней. Всех родственников привела, теперь взялась за друзей. Что интересно - несколько пломб, поставленных при первых визитах, стоят до сих пор. А ещё она научила меня правильно ухаживать за зубами и регулярно посещать профосмотры.
14 сентября 2013 г.
1 2 3 4 5
Огромное спасибо всей клинике Лагуна-Стом за профессионализм, внимание и доброжелательное отношение! Посещаем клинику всей семьей уже второй год, очень довольны, даже дети не боятся идти к стоматологу - Елена Викторовна лечит зубы совсем не больно, детки выходят из кабинета веселые. Отдельно хочу поблагодарить Сергея Викторовича, который сделал мне очень красивую и удобную коронку, кажется, даже лучше, чем сам зуб был изначально. :) Клиника очень уютная, исключительно приветливые и доброжелательные администраторы - и чай предложат, и о предстоящем визите накануне напомнят. Рекомендую всем, кто ценит качество и профессионализм. Спасибо!
23 марта 2013 г.
1 2 3 4 5
Мне понравилось, как работает Стахеева Елена Викторовна, профессионально и вежливо. А вот Сергей Викторович предложил мне поставить коронку (из обычного самого дешевого материала), при этом сумму назвал 40 тысяч. В другой клинике мне поставили коронку (такую же) за 20 тысяч.
Сергей Викторович Стахеев
26 марта 2013 г.
Уважаемая Любовь! Видимо мы не поняли друг друга. Я не мог предложить поставить коронку «из обычного самого дешевого материала» за 40 т.р.(к слову – дешевыми материалами в нашей клинике не работают в принципе – там идут различные усадки, неточности...и т.д.,что неизменно сказывается на результате). Мы делаем коронки двух видов: коронки среднего класса и коронки класса ART.
Сергей Викторович Стахеев
26 марта 2013 г.
Коронки среднего класса от 10 до 18 т.р. Они сделаны по классическим правилам. (К «дешевым материалам»: обработка и полировка боры «Komet», все слепки снимаются «Силиконами группы А»..кто понимает - оценит). Обязательно – точное литье, воссоздание полной анатомической формы и цвета, контактов с рядом стоящими зубами и зубами антагонистами.
Сергей Викторович Стахеев
26 марта 2013 г.
Есть работы очень высокого класса (премиум),делаются по более сложному алгоритму с очень известными (как в России,так и за рубежом) зубными техниками.Это штучные работы.Тут мы можем идти на минимальную обработку зуба – всего 5 микрон,поэтому не требуется удаление нерва.. и т.д.При этом уже на этой толщине мы можем не только получать нужный цвет, но и перераспределять – делать индивидуальный переход.
Сергей Викторович Стахеев
26 марта 2013 г.
наши работы: http://lagunastom.ru/plombirovanie/work_first/copy/1_/copy1308832153_/ http://lagunastom.ru/plombirovanie/work_first/copy/1_/copy1307553608_/ Такие работы не могут стоить 20 т.р. Это ценовая группа работ класса ART – они начинаются от 35т.р. Мы боремся за деловую репутацию и отвечаем за качество произведенных нами работ. С уважением Сергей Викторович
11 апреля 2012 г.
1 2 3 4 5
А со мной произошла история наоборот . беспокоил зуб почти месяц , не могла сказать какой . Обращалась в 2 (!)клиники. Ничего не могли найти. И только здесь нашли огромный кариес между зубами, у десны , который сразу было трудно заметить . Спасибо Стахеевой Елене Викторовне!
13 октября 2010 г.
1 2 3 4 5
Клиент клиники 4- е года. Вначале была РАБОТА. Как-то незаметно себя подзапустил. Поэтому был у разных специалистов. Уровень- очень высокий. Отдельное спасибо Елене Викторовне и Сергею Викторовичу Стахеевым. К счастью все это в прошлом. Сейчас только регулярнная профилактика (сами приглашают), чистки .. И все. Рекомендую:-)))
    Помогите другим сделать правильный выбор — оставьте свой отзыв о докторе
    Написать отзыв

    Стахеева Елена Викторовна: портфолио (5)

    Услуги стоматолога в других клиниках

    Терапевтическая стоматология
    Лечение кариеса от 3 500 ₽ до 14 500 ₽
    Лечение пульпита от 5 000 ₽ до 35 000 ₽
    Еще услуги