Стоматолог Никогосова Диана Эдуардовна — цены, отзывы, стаж — Принимает в Москве

Никогосова Диана Эдуардовна

Никогосова Диана Эдуардовна - фотография
стоматолог-хирург
стоматолог-имплантолог
Стаж 11 лет
5 работ в портфолио
Опыт 11 лет

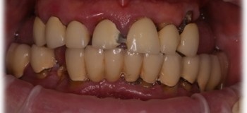
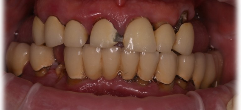
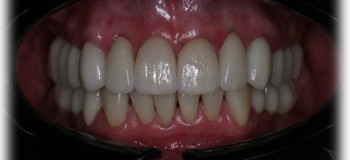
Никогосова Диана Эдуардовна: портфолио (5)

    Помогите другим сделать правильный выбор — оставьте свой отзыв о докторе
    Написать отзыв

    Услуги стоматолога в других клиниках

    Хирургическая стоматология
    Удаление зубов от 1 150 ₽ до 25 000 ₽
    Удаление кисты и гранулемы зуба от 600 ₽ до 48 500 ₽
    Еще услуги
    Имплантация
    Установка мини-импланта от 3 000 ₽ до 35 000 ₽
    Коронки на имплантах от 12 000 ₽ до 90 000 ₽
    Еще услуги