Стоматолог Шукюров Рамид Шакирович — цены, отзывы, стаж — Принимает в Москве

Шукюров Рамид Шакирович

Шукюров Рамид Шакирович - фотография

5.0
Рейтинг: 5.0
Отзывов: 29
Положительных: 29
Отрицательных: 0
Последний : 650 дн. назад
29 отзывов
стоматолог-ортопед
Стаж 16 лет
Шукюров Рамид Шакирович принимает в «Стоматология СТОМСИТИ» в Москве. Стаж 16 лет. Специализируется на ортопедии, по которой клиника оказывает 17 услуг. Имеет 7 работ до/после в портфолио. Квалификация специалиста подтверждена 12 лицензиями, сертификатами и наградами, а опыт 29 отзывами пациентов, из которых 29 положительные. Для уточнения дополнительной информации о специалисте или записи на прием можно позвонить по телефону
+7 (495)Показать телефон
. Также 32top представляет форму онлайн расписания, через которую можно записаться к специалисту на свободную дату и время.

Где принимает:

12 сертификатов
7 работ в портфолио
Опыт 16 лет

Отзывы о враче Шукюров Рамид Шакирович

Рейтинг: 5
Отзывов: 29
Положительных: 29
Отрицательных: 0
Последний: 650 дн. назад
5.0
Пациенты отмечают:
Профессионализм
Вежливость
Подробные объяснения
Тщательный осмотр
Аккуратность
Лечение помогло
Почему нашим отзывам можно доверять?
28 июля 2024 г.
1 2 3 4 5
Ставила коронки на зубы у врача Шукюрова Рамида Шакировича, в клинике Стомсити. Врач профессионал настоящий, делает всё максимально аккуратно и совершенно безболезненно. Спасибо!
Добрый день! Большое спасибо за то, что нашли время и оставили такой отзыв о нашем специалисте! Рады, что Вы остались довольны посещением. Мы гордимся результатами работы нашей профессиональной команды и обязательно передадим доктору Вашу благодарность. Крепкого Вам здоровья! Всегда ваши, клиника “СтомСити”.
29 июня 2024 г.
1 2 3 4 5
Установила брекеты у Рамида Шакировича. Врач понравился - внимательно, тщательно была проведена процедура, все подогнал. Не могу сказать,ч то прям комфортно, но терпимо. Спасибо
Шукюров Рамид Шакирович
12 ноября 2024 г.
Здравствуйте! Большое спасибо за высокую оценку работы наших специалистов! Рады, что смогли Вам помочь, а визит оставил приятные впечатления. Обязательно передадим Ваши теплые слова доктору. Вы всегда можете на нас рассчитывать! С уважением, клиника “СтомСити”.
29 мая 2024 г.
1 2 3 4 5
Хороший стоматолог. Помог решить проблему с несколькими раскрошившимися зубами. Убрал все остатки и установил протезы. В повседневной жизни разницы никакой не ощущаю. Выражаю огромную благодарность!
Шукюров Рамид Шакирович
12 ноября 2024 г.
Здравствуйте! Благодарим Вас за выбор нашей клиники и оказанное специалистам доверие! Качественный результат работы и комфорт клиента - наши приоритеты. Непременно передадим Вашу благодарность доктору. Всего Вам доброго! Всегда ваши, клиника “СтомСити”.
15 апреля 2024 г.
1 2 3 4 5
Обращалась к Шукюрову Рамиду Шакировичу с несколькими проблемными зубами. Врач назначил дальнейшее лечение и дал рекомендации по уходу за полостью рта. Довольна работой врача!
Шукюров Рамид Шакирович
12 ноября 2024 г.
Добрый день! Большое спасибо за то, что нашли время и оставили такой отзыв о нашем специалисте! Рады, что Вы остались довольны посещением. Мы гордимся результатами работы нашей профессиональной команды и обязательно передадим доктору Вашу благодарность. Крепкого Вам здоровья! Всегда ваши, клиника “СтомСити”.
25 марта 2024 г.
1 2 3 4 5
К Рамиду Шакировичу я попала по рекомендации, до этого была на консультации у других специалистов, но рада, что установку коронок я доверила именно ему. Прекрасный специалист. Рекомендую
Шукюров Рамид Шакирович
12 ноября 2024 г.
Здравствуйте! Большое спасибо за высокую оценку работы наших специалистов! Рады, что смогли Вам помочь, а визит оставил приятные впечатления. Обязательно передадим Ваши теплые слова доктору. Вы всегда можете на нас рассчитывать! С уважением, клиника “СтомСити”.
27 февраля 2024 г.
1 2 3 4 5
Были установлены 2 коронки. Врача выбирала долго, очень рада, что остановила свой выбор на Рамиде Шакировиче - настоящий профессионал своего дела. Все было сделано на отлично. Спасибо
Шукюров Рамид Шакирович
12 ноября 2024 г.
Здравствуйте! Благодарим Вас за выбор нашей клиники и оказанное специалистам доверие! Качественный результат работы и комфорт клиента - наши приоритеты. Непременно передадим Вашу благодарность доктору. Всего Вам доброго! Всегда ваши, клиника “СтомСити”.
15 февраля 2024 г.
1 2 3 4 5
Рамид Шакирович - отличный стоматолог-ортопед. Он сделал мне коронки из качественного материала, которые не отличаются от настоящих зубов. Он очень внимателен и аккуратен, работает без боли и дискомфорта. Я доволен результатом и рекомендую его всем.
Шукюров Рамид Шакирович
12 ноября 2024 г.
Добрый день! Большое спасибо за то, что нашли время и оставили такой отзыв о нашем специалисте! Рады, что Вы остались довольны посещением. Мы гордимся результатами работы нашей профессиональной команды и обязательно передадим доктору Вашу благодарность. Крепкого Вам здоровья! Всегда ваши, клиника “СтомСити”.
3 декабря 2023 г.
1 2 3 4 5
Я обратилась к доктору Рамиду Шакировичу Шукюрову в стоматологическую клинику СТОМСИТИ, и могу с уверенностью сказать, что это было одним из лучших решений в моей жизни. В ходе лечения доктор Шукюров продемонстрировал выдающиеся навыки в ортопедии. Он с легкостью решал сложные задачи. Результаты превзошли мои ожидания, и я не могла быть более довольной.
Добрый день! Благодарим вас за высокую оценку работы стоматологии и доктора. Рады, что были вам полезны. Мы делаем всё возможное, чтобы каждый пациент оставался доволен на все 100%. Всегда ваши, администрация стоматологии СтомСити.
13 сентября 2022 г.
1 2 3 4 5
Несколько лет назад Рамид Шакирович смог установить мне коронки на зубы которые были сильно разрушены, благодарю вас за качественную работу! Я сильно волновалась тогда, в итоге всё успешно сделали, спасибо вам большое !
Шукюров Рамид Шакирович
12 ноября 2024 г.
Здравствуйте! Большое спасибо за высокую оценку работы наших специалистов! Рады, что смогли Вам помочь, а визит оставил приятные впечатления. Обязательно передадим Ваши теплые слова доктору. Вы всегда можете на нас рассчитывать! С уважением, клиника “СтомСити”.
19 октября 2021 г.
1 2 3 4 5
Протезировалась на обе челюсти у Шукюрова. Новые зубы просто прелесть, красивые, ровненькие. Привыкла быстро. Могу как белка грызть орешки, кушаю всё подряд. Получил море положительных эмоций от общения с ортопедом)
Добрый день! Мы рады, что визит в стоматологию оставил положительные эмоции. Желаем вам крепкого здоровья и всех благ. С уважением, администрация стоматологии СтомСити.
    Помогите другим сделать правильный выбор — оставьте свой отзыв о докторе
    Написать отзыв

    Награды врача

    Топ-20 по итогам Народного рейтинга 2024

    Услуги врача (43)

    Эстетическая стоматология
    Отбеливание зубов
    от 42 000 ₽ за 1 челюсть
    Наращивание зубов
    от 13 200 ₽ до 23 000 ₽ за 1 зуб
    Установка виниров
    от 37 320 ₽ за 1 зуб
    Еще услуги
    Протезирование зубов
    Установка коронки на зуб
    от 8 000 ₽ до 31 100 ₽ за 1 зуб
    Установка протеза Акри Фри (Acry-Free)
    Ремонт зубных протезов
    от 6 500 ₽ до 8 400 ₽ за 1 шт.
    Еще услуги
    Все цены носят ознакомительный характер. Точную цену вы сможете получить только после консультации специалиста.
    Звоните по телефону:
    +7 (495)Показать телефон

    О стоматологе

    Успешно протезирует на металлокерамических и безметалловых конструкциях, занимается изготовлением виниров и керамических вкладок, протезированием на имплантатах. В 2012 году прошел стажировку в Германии и в 2013 году в Швейцарии. Внимательность к проблемам пациента, чуткость и доброта – лучшие рекомендации в его работе.

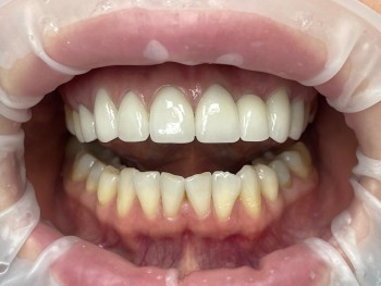
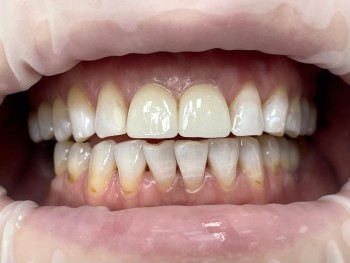
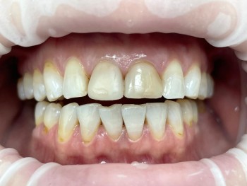
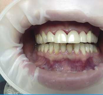
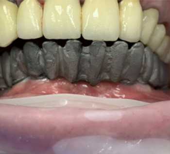
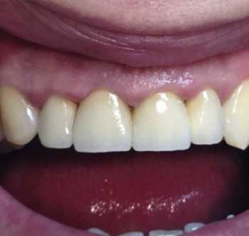
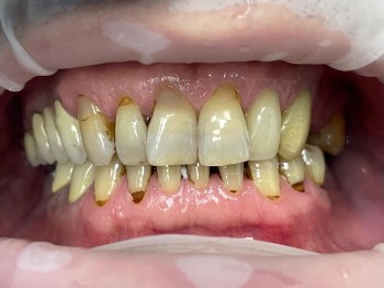
    Шукюров Рамид Шакирович: портфолио (7)

    Акции и скидки клиники СТОМСИТИ (1)