Каждый отзыв проходит тщательную проверку
Если у нас есть сомнения в достоверности, мы проводим дополнительную проверку:
связываемся с автором отзыва и запрашиваем документы, подтверждающие факт посещения клиники.
30% отзывов не проходят модерацию
Мы не размещаем и не допускаем к публикации заказные отзывы.
Собираем отзывы после приёма
Наш колл-центр получает отзывы у пациентов, записавшихся на приём через 32top.
Отлично!
Александра Симонова
+7 (9X1) X78-XX-XX
3 сентября 2024 г.
12345
Обращалась в Стомсити к Лейле Шакировне по поводу лечения шестерки вверху слева. Зуб был запломбирован несколько лет назад, но постоянно давал о себе знать, ныл знатно, особенно по ночам. На снимке выявилось, что на корне образовалась гранулема. Лечение было продолжительное, в несколько этапов, в каждом из которых закладывали лекарство, но воспаление все никак не хотело отступать. Но вот наконец благодаря квалификации и терпению доктора положительный результат был достигнут, очередной снимок показал, что гранулема рассосалась.
Читать полностью
Шукюрова Лейла Шакировна
12 ноября 2024 г.
Добрый день! Большое спасибо за то, что нашли время и оставили такой отзыв о нашем специалисте! Рады, что Вы остались довольны посещением. Мы гордимся результатами работы нашей профессиональной команды и обязательно передадим доктору Вашу благодарность. Крепкого Вам здоровья! Всегда ваши, клиника “СтомСити”.
Читать полностью
+7 (9X4) X10-XX-XX
7 июля 2024 г.
12345
Долго тянула с обращением к стоматологу, в юности был травмирующий опыт. После приема у Лейлы Шакировны оказалось, что лечение кариеса - это почти не больно, быстро и совсем не страшно. Огромное Вам спасибо!
Читать полностью
Шукюрова Лейла Шакировна
12 ноября 2024 г.
Здравствуйте! Большое спасибо за высокую оценку работы наших специалистов! Рады, что смогли Вам помочь, а визит оставил приятные впечатления. Обязательно передадим Ваши теплые слова доктору. Вы всегда можете на нас рассчитывать! С уважением, клиника “СтомСити”.
Читать полностью
Шукюрова Лейла Шакировна
12 ноября 2024 г.
Добрый день! Большое спасибо за то, что нашли время и оставили такой отзыв о нашем специалисте! Рады, что Вы остались довольны посещением. Мы гордимся результатами работы нашей профессиональной команды и обязательно передадим доктору Вашу благодарность. Крепкого Вам здоровья! Всегда ваши, клиника “СтомСити”.
Читать полностью
Шукюрова Лейла Шакировна
12 ноября 2024 г.
Здравствуйте! Большое спасибо за высокую оценку работы наших специалистов! Рады, что смогли Вам помочь, а визит оставил приятные впечатления. Обязательно передадим Ваши теплые слова доктору. Вы всегда можете на нас рассчитывать! С уважением, клиника “СтомСити”.
Читать полностью
+7 (9X5) X14-XX-XX
17 июня 2024 г.
12345
До последнего затягивал с пульпитом, пока боль не стала полностью мешать жизни. Можно сказать, клинику выбирал исходя из принципа: "как можно быстрее", собственно, так и обратился в "Стомсити". К Лейле Шакировне было свободное "окно" на следующий день, поэтому записался к ней (опять же, лишь бы побыстрее). Ну ладно, лечение прошло гладко, ничего не чувствовал из-за анестезии, зуб удалось сохранить - это хорошо. После того, как закончилась анестезия, болезненных ощущений не было, обезболивающие пить не пришлось. Боли больше нет - всем доволен, удачи.
Здравствуйте! Благодарим Вас за выбор нашей клиники и оказанное специалистам доверие! Качественный результат работы и комфорт клиента - наши приоритеты. Непременно передадим Вашу благодарность доктору. Всего Вам доброго! Всегда ваши, клиника “СтомСити”.
Читать полностью
+7 (9X7) X23-XX-XX
6 июня 2024 г.
12345
Шукюрова Лейла Шакировна - Врач с большой буквы. Вылечила 2 зуба от кариеса, который мучал всю жизнь. Теперь я наконец-то могу не отвлекаться на боль в повседневной жизни. Большое спасибо!
Читать полностью
+7 (9X5) X87-XX-XX
25 мая 2024 г.
12345
Лечила пульпит у Лейлы Шакировны. Без боли, обычно проходит все намного хуже. Врач очень внимательная и компетентная, делала все аккуратно и довольно быстро да и цены нормальные
Читать полностью
+7 (9X9) X03-XX-XX
19 февраля 2024 г.
12345
Я был у Лейлы Шакировны на лечении кариеса. Она очень внимательная и профессиональная стоматолог-терапевт. Лечение прошло безболезненно и качественно. Я доволен результатом и рекомендую ее всем
Читать полностью
+7 (9X6) X60-XX-XX
18 января 2024 г.
12345
Очень довольна работой Лейлы Шакировны! Она профессиональный и внимательный врач, который заботится о своих пациентах. Она лечила мне кариес и пульпит, и я не почувствовала никакой боли. Она также дала мне полезные советы по уходу за зубами и профилактике зубных заболеваний. Она работает в Стомсити, где есть современное оборудование
Читать полностью
а
+7 (9X2) X38-XX-XX
6 октября 2021 г.
12345
Наконец наступил долгожданный день в моей жизни. Сегодня вылечил последние два зуба с кариесом (всего больных зубов было 9 штук). Лечащим врачом была Лейла Шакировна. Пломбы подобраны цвет в цвет с моими зубами, каналы прочищены, зубы не беспокоят.
Доброго времени суток! Всегда приятно получать такие отзывы. Огромное спасибо что нашли время и написали нам. С пожеланиями всего наилучшего, администрация стоматологии СтомСити.
Читать полностью
Пурпулина С.В.
+7 (9X3) X54-XX-XX
14 августа 2021 г.
12345
Неоднократно была в Стомсити, последний раз попала на прием к Шукюровой, сначала отнеслась скептически, к врачу и к самой клинике в целом, но убедилась на практике что хороший специалист: аккуратная и максимально вежливая. В итоге кариес залечили, сейчас нет никаких болевых ощущений.) Рекомендую клинику!
Добрый день! Благодарим вас за высокую оценку работы стоматологии и доктора. Рады, что были вам полезны. Мы делаем всё возможное, чтобы каждый пациент оставался доволен на все 100%. Всегда ваши, администрация стоматологии СтомСити.
Читать полностью
Тимофеева Р.Г.
+7 (9X3) X85-XX-XX
29 июля 2021 г.
12345
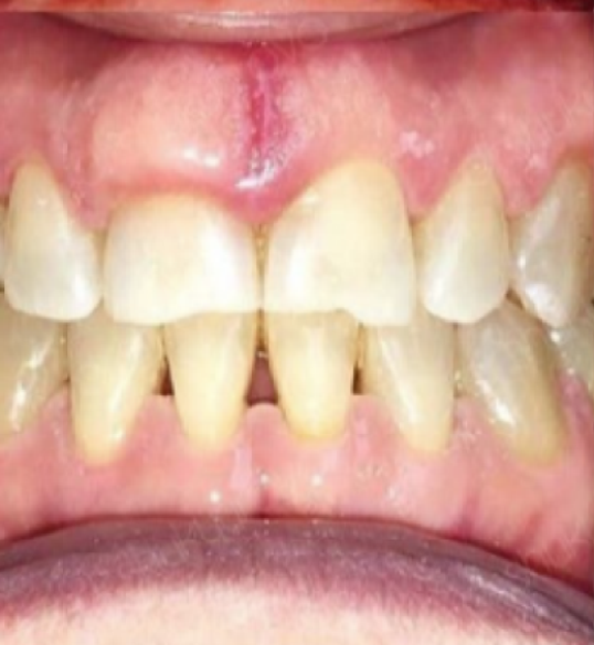
Сделала реставрацию передних зубов у Шукюровой. В клинике находится мне было не в первой, здесь есть всё необходимое и не нужно бежать ещё куда-то. Очень хорошие материалы, врач подобрала в тон своих. Всё современное и новое, не сравнить с нашими бюджетным учреждениями.
Доброго времени суток! Всегда приятно получать такие отзывы. Огромное спасибо что нашли время и написали нам. С пожеланиями всего наилучшего, администрация стоматологии СтомСити.
Читать полностью
‹
›
×
Помогите другим сделать правильный выбор — оставьте свой отзыв о докторе
Написать отзыв
Оставить отзыв
Для подтверждения записи позвоните с этого номера
Звонок бесплатный — дождитесь окончания вызова
или
Закажите звонок — мы продиктуем проверочный код
Сейчас позвоним вам. Прослушайте сообщение и введите код из 4 цифр.
Введите код активации отзыва:
Не получили звонок? Отправить код в sms
Подтвердить код
Благодарим за отзыв! В случае успешного прохождения модерации, ваш отзыв появится на сайте в течение 1-3 рабочих дней.
Отзывы о враче Шукюрова Лейла Шакировна
Каждый отзыв проходит тщательную проверку Если у нас есть сомнения в достоверности, мы проводим дополнительную проверку: связываемся с автором отзыва и запрашиваем документы, подтверждающие факт посещения клиники.
30% отзывов не проходят модерацию Мы не размещаем и не допускаем к публикации заказные отзывы.
Собираем отзывы после приёма Наш колл-центр получает отзывы у пациентов, записавшихся на приём через 32top.