Стоматолог Шадрина Елена Олеговна — цены, отзывы, стаж — Принимает в Москве

Шадрина Елена Олеговна

Шадрина Елена Олеговна - фотография
детский стоматолог
Стаж 10 лет
Шадрина Елена Олеговна принимает в «Сеть клиник ДЕНТАЛ ВЕЙ» в Мытищах. Стаж 10 лет. Специализируется на детской стоматологии, по которой клиника оказывает 13 услуг. Квалификация специалиста подтверждена 3 лицензиями, сертификатами и наградами. Для уточнения дополнительной информации о специалисте или записи на прием можно позвонить по телефону
+7 (495)Показать телефон
. Также 32top представляет форму онлайн расписания, через которую можно записаться к специалисту на свободную дату и время.

Где принимает:

3 сертификата
1 работа в портфолио
Опыт 10 лет

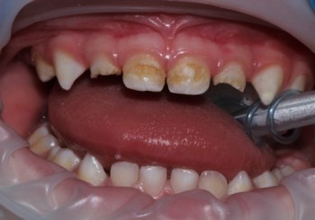
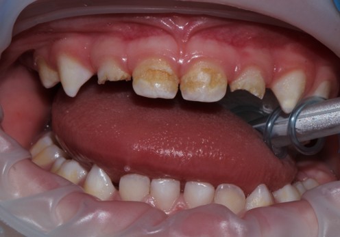
Шадрина Елена Олеговна: портфолио (1)

    Помогите другим сделать правильный выбор — оставьте свой отзыв о докторе
    Написать отзыв

    Услуги стоматолога в других клиниках

    Диагностика
    Консультация стоматолога от 1 ₽ до 3 500 ₽
    Детская стоматология
    Лечение молочных зубов от 500 ₽ до 10 000 ₽
    Удаление зубов у детей от 500 ₽ до 8 000 ₽
    Еще услуги