Стоматолог Хасанова Элмира Шаробидиновна — цены, отзывы, стаж — Принимает в Москве

Хасанова Элмира Шаробидиновна

Хасанова Элмира Шаробидиновна - фотография

5.0
Рейтинг: 5.0
Отзывов: 3
Положительных: 3
Отрицательных: 0
Последний : 193 дн. назад
3 отзыва
стоматолог-терапевт
Стаж 4 года
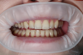
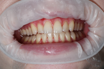
Хасанова Элмира Шаробидиновна принимает в «Сеть стоматологических клиник ЗУБ.РУ» в Москве. Стаж 4 года. Специализируется на терапии, по которой клиника оказывает 19 услуг. Имеет 7 работ до/после в портфолио. Для уточнения дополнительной информации о специалисте или записи на прием можно позвонить по телефону
+7 (495)Показать телефон
.

Где принимает:

2 видеоотзыва
7 работ в портфолио
Опыт 4 года

Отзывы о враче Хасанова Элмира Шаробидиновна

Рейтинг: 5
Отзывов: 3
Положительных: 3
Отрицательных: 0
Последний: 193 дн. назад
5.0
Пациенты отмечают:
Профессионализм
Вежливость
Подробные объяснения
Тщательный осмотр
Аккуратность
Лечение помогло
Почему нашим отзывам можно доверять?
1 ноября 2025 г.
1 2 3 4 5
Спасибо большое за профессионализм в своем деле. Вылечили четыре зуда с реставрацией, теперь как новые!) Очень внимательный и компетентный специалист. Рекомендую!
25 октября 2025 г.
1 2 3 4 5
Очень внимательный врач, только положительные эмоции от визита.
Хасанова Элмира Шаробидиновна
29 октября 2025 г.
Примите искреннюю благодарность за высокую оценку моих профессиональных качеств. Я рады, что посещение стоматологии оставило у вас положительные эмоции и Вы удовлетворены моей работой. Мы очень стараемся чтобы прием проходил с комфортом для вас, рады что нам это удаётся :-)
Добрый день! Благодарим вас за отзыв о стоматологе КДС Клиник! Особенно приятно, что вы отметили профессионализм Хасановой Элмиры Шаробидиновны — для нас это лучшая оценка работы нашего стоматолога. Элмира Шаробидиновна действительно является одним из ведущих специалистов нашей клиники. Её внимательное отношение к пациентам, высокий профессионализм и мастерство в лечении зубов вызывают заслуженное уважение и доверие. Мы рады, что ваши визиты к нам проходят комфортно и безболезненно. Комфорт пациентов и качество лечения — наши главные приоритеты. Мы постоянно работаем над тем, чтобы каждый визит в КДС клинику оставлял только положительные впечатления. Спасибо, что выбрали нашу клинику и поделились своими впечатлениями. Ваше доверие — лучшая награда для всего коллектива. Будем рады видеть вас снова у нас в гостях! С уважением, КДС Стоматология
14 октября 2024 г.
1 2 3 4 5
Все понравилось. Поставили очень красивую пломбу, даже не отличить от соседнего настоящего зуба.
    Помогите другим сделать правильный выбор — оставьте свой отзыв о докторе
    Написать отзыв

    Услуги врача (24)

    Диагностика
    Компьютерная томография
    от 1 800 ₽ до 4 000 ₽
    Консультация эндодонтиста
    от 1 500 ₽
    Терапевтическая стоматология
    Лечение кариеса
    от 4 896 ₽ до 6 408 ₽
    Лечение поверхностного кариеса
    от 4 896 ₽
    Лечение среднего кариеса
    от 5 184 ₽
    Еще услуги
    Пародонтология
    Лечение пародонтита
    от 1 152 ₽ до 15 480 ₽
    Лечение пародонтоза
    от 1 152 ₽ до 15 480 ₽
    Лечение аппаратом Вектор
    от 1 152 ₽ до 15 480 ₽
    Еще услуги
    Все цены носят ознакомительный характер. Точную цену вы сможете получить только после консультации специалиста.
    Звоните по телефону:
    +7 (495)Показать телефон

    Хасанова Элмира Шаробидиновна: портфолио (7)