Стоматолог Мотовилов Антон Викторович — цены, отзывы, стаж — Принимает в Москве

Мотовилов Антон Викторович

Мотовилов Антон Викторович - фотография

4.7
Рейтинг: 4.7
Отзывов: 10
Положительных: 9
Отрицательных: 1
Последний : 753 дн. назад
10 отзывов
стоматолог-терапевт
стоматолог-ортопед
Стаж 14 лет
Мотовилов Антон Викторович принимает в «СТОМАТОЛОГИЯ ГЛОТОВА» в Москве. Стаж 14 лет. Специализируется на терапии и ортопедии, по которым клиника оказывает 14 услуг. Имеет 11 работ до/после в портфолио. Квалификация специалиста подтверждена 16 лицензиями, сертификатами и наградами, а опыт 10 отзывами пациентов, из которых 9 положительные. Для уточнения дополнительной информации о специалисте или записи на прием можно позвонить по телефону
+7 (495)Показать телефон
. Также 32top представляет форму онлайн расписания, через которую можно записаться к специалисту на свободную дату и время.

Где принимает:

16 сертификатов
Опыт 14 лет
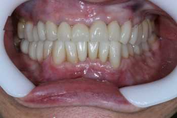
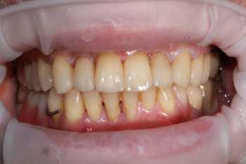
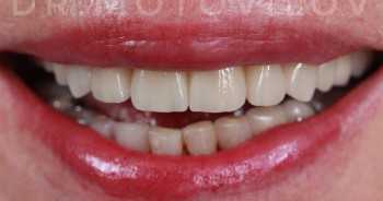
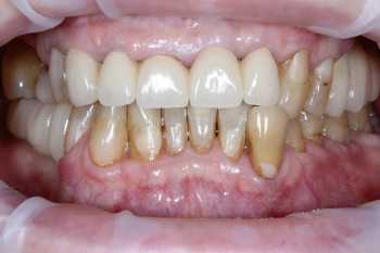
11 работ в портфолио

Отзывы о враче Мотовилов Антон Викторович

Рейтинг: 4.7
Отзывов: 10
Положительных: 9
Отрицательных: 1
Последний: 753 дн. назад
4.7
Почему нашим отзывам можно доверять?
12 апреля 2024 г.
1 2 3 4 5
Испортил мне нижние зубы допотопным бюгельным мостом. Лишил меня 2 здоровых зубов.
26 марта 2021 г.
1 2 3 4 5
Отличная клиника и специалисты! Отдельная благодарность ортодонту Анне Владимировне, докторам Сергею Васильевичу, Антону Викторовичу и Тимуру Михайловичу, а также всему персоналу за чуткость, внимание и заботу!!!
20 декабря 2020 г.
1 2 3 4 5
Самое лучшая клиника, которая есть в Москве! Все проблемы решают качественно и профессионально! Огромное спасибо Антону Викторовичу и Тимуру Михайловичу!
24 декабря 2017 г.
1 2 3 4 5
Антон Викторович - врач от Бога! Это правда, лучшего доктора, более внимательного и грамотного, я не встречала, для него нет неразрешимых ситуаций, у меня была очень сложная, но он нашёл решение, поставил мне коронки и виниры, и сейчас вместо неровных зубов у меня ровные и белые зубы, очень красивые и натуральные, ни один человек понял, что это виниры, более того, никто не понял, что раньше было не так;) я ему очень ему благодарна и счастлива каждый день вот уже год!
23 декабря 2017 г.
1 2 3 4 5
Хочу поблагодарить Антона Викторовича за очень успешное лечение! Спасибо за профессионализм и умение нивелировать боязнь пациента перед лечением, особенно когда нужно долго «сверлить» зубы))) результатом и новыми зубами( виниры) я более чем довольна!!! Очень красиво и естественно получилось! Доктор настоящий профессионал своего дела, теперь у него на лечении и моя мама))) всем знакомым и друзьям рекомендую!!
После приема Пациент записывался в клинику через 32top. После приёма мы позвонили ему и получили отзыв.
20 декабря 2017 г.
1 2 3 4 5
Да хороший врач, все прошло удачно, и почти не утомительно , обычно не люблю их , а тут даже понравились его истязания надо мной, как в японских фильмах, короче если придется ставить еще коронку Антон я к тебе
19 декабря 2017 г.
1 2 3 4 5
Хочу поделиться своими впечатлениями после очередного похода к стоматологу. Никогда не думала что буду так довольна новой коронке. Хочется отметить Антона Викторовича за внимательное и аккуратное выполнение своей работы. Всегда предупредит, где может быть неприятно, расскажет о всех вариантах развития , в случае проблемной ситуации. В общем коронкой довольна и впредь ставить буду только у него.
18 декабря 2017 г.
1 2 3 4 5
Раньше до смерти боялась стоматологов, очень долго не ходила к стоматологу, но после того, как я побывала в стоматологии "Клиника профессора Модиной" я забыла о своей фобии. Мои зубки лечил, по моему мнению один из лучших стоматологов Мотовилов Антон Викторович, ответив на все мои вопросы, он рассказал мне план лечения, заверил меня, что я не почувствую никакого дискомфорта и приступил к работе. Теперь я каждый раз иду с улыбкой на лице к своему любимому стоматологу, зная, что всё пройдёт как нельзя лучше.
18 декабря 2017 г.
1 2 3 4 5
Прекрасный доктор. Внимательный, очень подробно объяснил как будет сделана работа. Стоимость лечения была озвучена сразу. И никак не менялась в процессе лечения. Работа была выполнена быстро и самое главное очень качественно. Всем своим знакомым я буду рекомендовать клинику профессора Модиной и конечно чудесного доктора ортопеда Мотовилова Антона Викторовича!
18 декабря 2017 г.
1 2 3 4 5
Выражаю огромную благодарность Антону Викторовичу!Профессионал своего дела! Очень ответственный,был всегда на связи, любой вопрос касающийся лечения решал быстро и грамотно. Очень боялась начинать приводит зубы в порядок, оказалось зря переживала! Очень рада что мне порекомендовали именно этого врача! На консультации все рассказал, на все вопросы ответил! Само лечение прошло как то даже и незаметно)))приходила несколько раз на приём, и раз и зубы все готовы!Отдельное спасибо зубному технику! Спасибо ещё раз вам большое!!!
    Помогите другим сделать правильный выбор — оставьте свой отзыв о докторе
    Написать отзыв

    Услуги врача (70)

    Терапевтическая стоматология
    Лечение кариеса
    от 10 700 ₽ за 1 зуб
    Лечение кариеса ICON
    Лечение поверхностного кариеса
    Еще услуги
    Эстетическая стоматология
    Отбеливание зубов
    от 10 000 ₽ за обе челюсти
    Наращивание зубов
    от 17 010 ₽ за 1 зуб
    Установка виниров
    Еще услуги
    Протезирование зубов
    Установка коронки на зуб
    от 51 030 ₽ за 1 зуб
    Установка протеза Акри Фри (Acry-Free)
    Ремонт зубных протезов
    Еще услуги
    Все цены носят ознакомительный характер. Точную цену вы сможете получить только после консультации специалиста.
    Звоните по телефону:
    +7 (495)Показать телефон

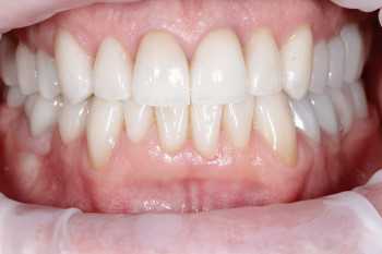
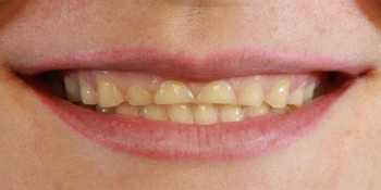
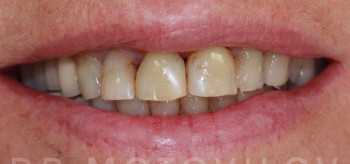
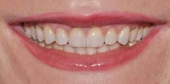
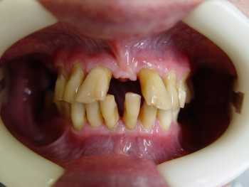
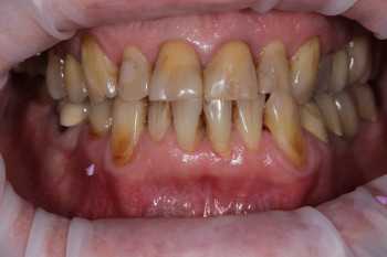
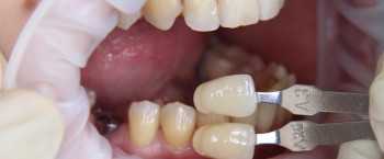
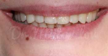
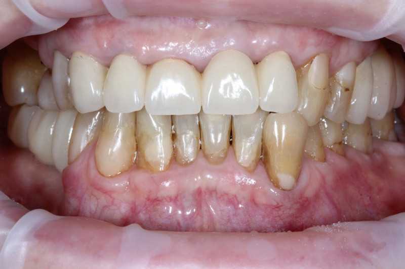
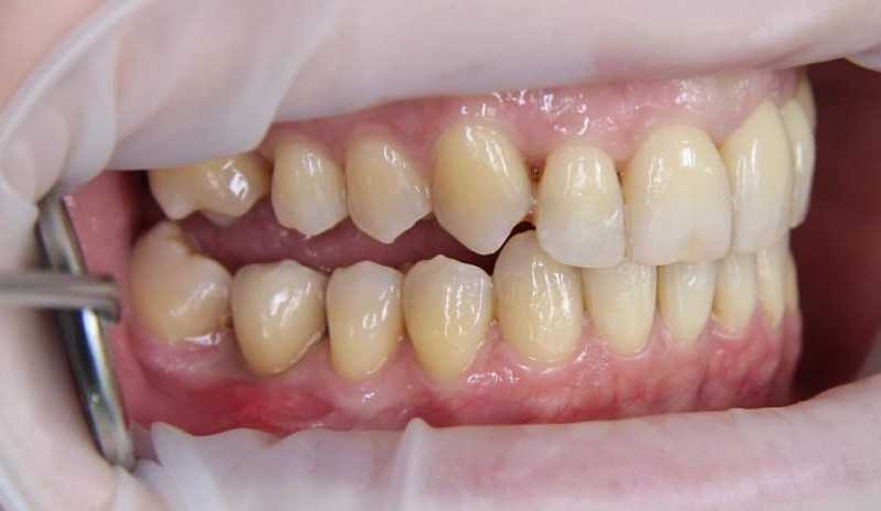
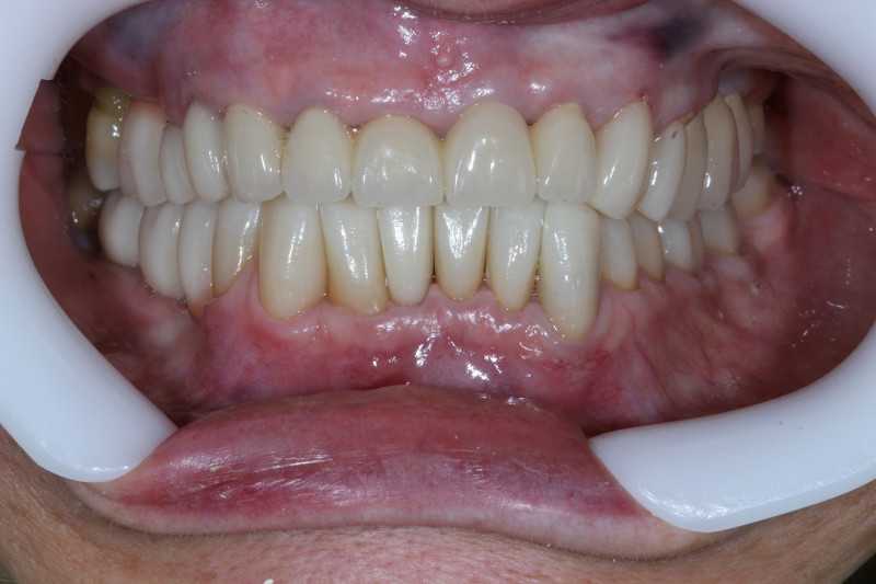
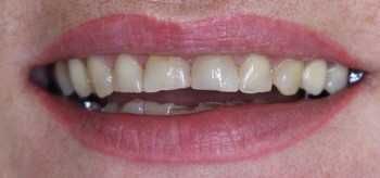
    Мотовилов Антон Викторович: портфолио (11)

    Акции и скидки клиники СТОМАТОЛОГИЯ ГЛОТОВА (1)