Стоматолог Валуев Денис Алексеевич — цены, отзывы, стаж — Принимает в Москве

Валуев Денис Алексеевич

Валуев Денис Алексеевич - фотография

5.0
Рейтинг: 5.0
Отзывов: 11
Положительных: 11
Отрицательных: 0
Последний : 457 дн. назад
11 отзывов
стоматолог-ортопед
стоматолог-хирург
стоматолог-имплантолог
Стаж 24 года
к.м.н., врач высшей категории, главный врач
Валуев Денис Алексеевич принимает в «Стоматологическая клиника ДЕНТА-ВИ» в Москве. К.м.н., главный врач, врач высшей категории, стаж 24 года. Специализируется на ортопедии, хирургии и имплантологии, по которым клиника оказывает 64 услуги. Имеет 3 работы до/после в портфолио. Квалификация специалиста подтверждена 13 лицензиями, сертификатами и наградами, а опыт 11 отзывами пациентов, из которых 11 положительные. Для уточнения дополнительной информации о специалисте или записи на прием можно позвонить по телефону
+7 (495)Показать телефон
.

Где принимает:

Главный врач
Кандидат мед.наук
Врач высшей категории
3 работы в портфолио
13 сертификатов
Опыт 24 года

Отзывы о враче Валуев Денис Алексеевич

Рейтинг: 5
Отзывов: 11
Положительных: 11
Отрицательных: 0
Последний: 457 дн. назад
5.0
Почему нашим отзывам можно доверять?
2 февраля 2025 г.
1 2 3 4 5
Я обращалась в другую клинику для протезирования, но была вынуждена сменить её из-за неудовлетворительного качества и высоких цен. Долго выбирала подходящую стоматологию, в итоге выбор пал на "Дента-ви" благодаря доступным ценам и наличию рассрочки. Записалась к Валуеву Д.А. Врач оказался отличным специалистом. С радостью рекомендую всем!
После приема Пациент записывался в клинику через 32top. После приёма мы позвонили ему и получили отзыв.
30 октября 2024 г.
1 2 3 4 5
В Дента-Ви ставила на готовые импланты коронки. Импланты устанавливала у себя в регионе, а коронки в этой клинике. Самые хорошие слова в адрес этой стоматологии. Все подошло идеально, очень понравилось, не нарадуюсь. Мной занимался Денис Алексеевич, благодарна ему за такой результат. Персонал прекрасный, девочки на ресепшен приветливые, встречают, объясняют, провожают, подбирают удобное время. Последний раз был парень, тоже вежливый, приятный. Нигде раньше такое не встречала. Отлично организована запись, поминутно, никакой толкучки. Уже рекомендовала знакомой эту клиника и сама собираюсь продолжить имплантацию после Нового года.
8 октября 2024 г.
1 2 3 4 5
Я решился на имплантацию после консультации у доктора Валуева Он составил план лечения, и вся сумма была ясна. Также помог выбрать тип импланта и материал коронки. Сейчас уже чувствую себя как с родным зубом, но всё же пришлось немного привыкать, ведь это всё-таки инородное тело.
23 сентября 2024 г.
1 2 3 4 5
Мне очень нравятся коронки, которые мне поставил Валуев Денис Алексеевич. В клинике хорошее оборудование, и врач сделал всё, чтобы я осталась довольна. Он прислушивался ко мне и не предлагал ничего лишнего.
3 июня 2024 г.
1 2 3 4 5
По совету коллег пошла на имплантацию к Денису Алексеевичу. Все прошло очень хорошо! Результатом довольна.
19 февраля 2024 г.
1 2 3 4 5
Я хочу поблагодарить замечательного специалиста стоматологической клиники Валуева Дениса Алексеевича. Проводил и подготавливал меня несколько месяцев к процедуре имплантации на месте удаленного зуба. Результат превзошел все ожидания и получилось очень даже хорошо, как визуально, так и уже в повседневной жизни при приеме пищи ничего не мешает
Добрый день. Спасибо за ваш отзыв о нашей стоматологической клинике и о враче Валуеве Денисе Алексеевиче! Мы рады, что вы остались довольны результатами имплантации и работой нашего врача. Мы всегда стараемся предоставить высокое качество работы и помочь нашим пациентам достичь желаемых результатов. Рады слышать, что результат превзошел ваши ожидания и что вы не испытываете никаких проблем при приеме пищи. Благодарим вас за выбор нашей клиники и доверие!
здравствуй, спасибо, мы старались
15 января 2018 г.
1 2 3 4 5
Я из тех, кто не ходит к стоматологам. За истекшие 10-ть лет довел себя до срочной имплантации. За два посещения Денис Алексеевич установил мне четыре импланта. Три - 05.01.18 и один 13.01.18. Пока никаких проблем нет, не считая неудобства от временных зубов, которые были изготовлены за тот час, когда мне удалили пять зубов и поставили три импланта. Надеюсь, что импланты приживутся быстрее чем за 4-е месяца. Если вы ищите классного специалиста а не коммерсанта, то даже вам к Валуевву Д.А.. Семенов Сергей.
11 июля 2016 г.
1 2 3 4 5
Хочу сказать большое спасибо Валуеву Денису Алексеевичу за то, что он приехал на дом и помог моему дедушке. Человек он пожилой, и ходить ему очень трудно, Денис Алексеевич приехал на дом, удалил беспокоющий зуб. Все прошло быстро и аккуратно. Спасибо Вам огромное за работу.
30 июня 2016 г.
1 2 3 4 5
Очень понравилась клиника Сити дент. Ожидала приема не более пяти минут, были предложены чай, кофе, журналы. Пришла на протезирование, доктор Валуев Денис Алексеевич предложил несколько вариантов. Подобрали подходящий по цене и по моим зубам. Надо было подготовить полость рта к протезированию, т.е. удалить один зуб (не подлежащий лечению). В клинике проходила акция бесплатное удаление подвижного зуба в случае продолжения протезирования –это как раз мой случай. Мне неслыханно повезло. Удалили зуб и назначили протезирование. Я очень довольная вышла от врача!
19 июня 2016 г.
1 2 3 4 5
Мне нужно было сделать реставрацию передних зубов и искал стоматолога. Одна моя знакомая ходила ранее к Валуеву Денису Алексеевичу и мне посоветовала сходить. Придя на прием, пришлось немного подождать, потому что пришел раньше времени, меня угостили вкусным чаем, предложили посмотреть журналы, это меня порадовало. Доктор провел осмотр, сделал чистку и отреставрировал зубы. Теперь у могу вновь широко улыбаться. А наследующий прием дали скидку и сказали что будет подарок.
    Помогите другим сделать правильный выбор — оставьте свой отзыв о докторе
    Написать отзыв

    Услуги врача (107)

    Эстетическая стоматология
    Отбеливание зубов
    от 12 000 ₽ до 34 000 ₽ зона улыбки
    Наращивание зубов
    от 6 000 ₽ до 12 000 ₽ за 1 зуб
    Установка виниров
    от 27 000 ₽ до 38 000 ₽ за 1 зуб
    Еще услуги
    Хирургическая стоматология
    Удаление зубов
    от 4 500 ₽ до 14 000 ₽ за 1 зуб
    Удаление зуба мудрости
    от 9 000 ₽ до 14 000 ₽ за 1 зуб
    Сложное удаление зуба
    от 10 000 ₽ за 1 зуб
    Еще услуги
    Протезирование зубов
    Установка коронки на зуб
    от 11 500 ₽ до 36 000 ₽ за 1 зуб
    Установка протеза Акри Фри (Acry-Free)
    от 32 000 ₽ до 50 000 ₽ за 1 челюсть
    Ремонт зубных протезов
    от 4 000 ₽ до 6 000 ₽ за 1 шт.
    Еще услуги
    Имплантация
    Имплантация зубов под ключ
    Установка мини-импланта
    от 25 000 ₽ за 1 зуб
    Коронки на имплантах
    от 20 000 ₽ до 28 000 ₽ за 1 зуб
    Еще услуги
    Все цены носят ознакомительный характер. Точную цену вы сможете получить только после консультации специалиста.
    Звоните по телефону:
    +7 (495)Показать телефон

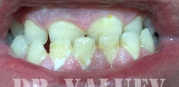
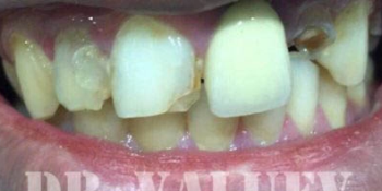
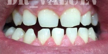
    Валуев Денис Алексеевич: портфолио (3)

    Акции и скидки клиники ДЕНТА-ВИ (20)