Каждый отзыв проходит тщательную проверку
Если у нас есть сомнения в достоверности, мы проводим дополнительную проверку:
связываемся с автором отзыва и запрашиваем документы, подтверждающие факт посещения клиники.
30% отзывов не проходят модерацию
Мы не размещаем и не допускаем к публикации заказные отзывы.
Собираем отзывы после приёма
Наш колл-центр получает отзывы у пациентов, записавшихся на приём через 32top.
Отлично!
+7 (9X5) X14-XX-XX
3 августа 2025 г.
12345
Впервые пришла в эту клинику к урологу — осталась очень довольна! Атмосфера спокойная, администраторы внимательные, врач всё сделал профессионально.
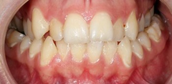
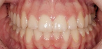
Потом привела сына к ортодонту Каркусовой Л.З. — после долгих поисков нашли отличного специалиста. Людмила Зурабовна — настоящий профессионал: ответственная, доброжелательная, всё объясняет понятно.
Читать полностью
+7 (9X9) X40-XX-XX
25 июля 2025 г.
12345
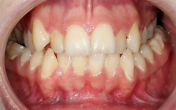
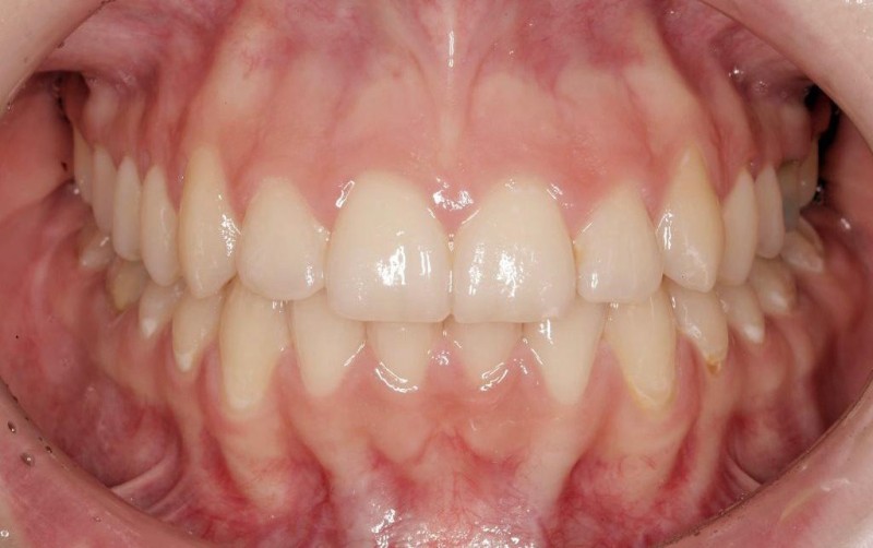
Лечила зубы у ортодонта Каркусовой Л.З. Врач отлично разбирается в своём деле, всё чётко объясняет и ведёт себя очень вежливо. Даже ношение брекетов вспоминаю с теплом, настолько врач располагала к себе. В клинике всегда порядок, на ресепшене встречают приветливо. Особенно понравилась ассистент Амина, добрая и внимательная.
Спасибо большое за столь добрый отзыв! Мы рады, что лечение у Каркусовой Лианы Зауровны прошло для вас в тёплой и комфортной атмосфере. Обязательно передадим благодарность и ассистенту Амине. Всегда рады видеть вас снова!
Читать полностью
‹
›
×
Помогите другим сделать правильный выбор — оставьте свой отзыв о докторе
Написать отзыв
Оставить отзыв
Для подтверждения записи позвоните с этого номера
Звонок бесплатный — дождитесь окончания вызова
или
Закажите звонок — мы продиктуем проверочный код
Сейчас позвоним вам. Прослушайте сообщение и введите код из 4 цифр.
Введите код активации отзыва:
Не получили звонок? Отправить код в sms
Подтвердить код
Благодарим за отзыв! В случае успешного прохождения модерации, ваш отзыв появится на сайте в течение 1-3 рабочих дней.
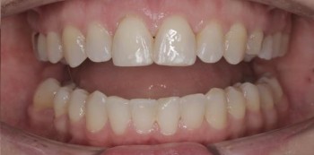
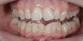
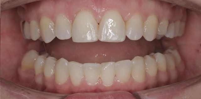
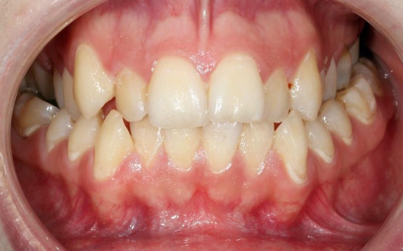
Отзывы о враче Каркусова Лана Зауровна
Каждый отзыв проходит тщательную проверку Если у нас есть сомнения в достоверности, мы проводим дополнительную проверку: связываемся с автором отзыва и запрашиваем документы, подтверждающие факт посещения клиники.
30% отзывов не проходят модерацию Мы не размещаем и не допускаем к публикации заказные отзывы.
Собираем отзывы после приёма Наш колл-центр получает отзывы у пациентов, записавшихся на приём через 32top.