Стоматолог Кинзебулатова Анастасия Денисовна — цены, отзывы, стаж — Принимает в Москве

Кинзебулатова Анастасия Денисовна

Кинзебулатова Анастасия Денисовна - фотография

3.5
Рейтинг: 3.5
Отзывов: 2
Положительных: 1
Отрицательных: 1
Последний : 179 дн. назад
2 отзыва
стоматолог-терапевт
детский стоматолог
Стаж 6 лет
Кинзебулатова Анастасия Денисовна принимает в «Стоматология УЛЫБКА ПРО» в Москве. Стаж 6 лет. Специализируется на терапии и детской стоматологии, по которым клиника оказывает 23 услуги. Имеет 6 работ до/после в портфолио. Квалификация специалиста подтверждена 6 лицензиями, сертификатами и наградами. Для уточнения дополнительной информации о специалисте или записи на прием можно позвонить по телефону
+7 (495)Показать телефон
.

Где принимает:

Опыт 6 лет
6 сертификатов
6 работ в портфолио

Отзывы о враче Кинзебулатова Анастасия Денисовна

Рейтинг: 3.5
Отзывов: 2
Положительных: 1
Отрицательных: 1
Последний: 179 дн. назад
3.5
Почему нашим отзывам можно доверять?
После приема Пациент записывался в клинику через 32top. После приёма мы позвонили ему и получили отзыв.
10 ноября 2025 г.
1 2 3 4 5
Хорошая стоматология, проходила лечение и удаление в этой клинике.Лечила зуб и ставила пломбу Кинзебулатова А.Д., удаление проводила врач Благушина Н.А. Молодцы, опытные, внимательные. Прекрасно знающие свою работу. Единственное, что мне не понравилось- я ни разу не попала на прием вовремя, всегда врач принимал с опозданием на 30-40 мин. В остальном все отлично.
13 октября 2025 г.
1 2 3 4 5
Болел зуб, обращалась во многие клиники, в том числе и в эту. Прием провела Анастасия Денисовна К., сделала осмотр, выслушала мою жалобу, у меня болел зуб. Она сказала, что воспаления нет, нанесла болеутоляющий препарат. Но боль все равно была и не проходила. Другой врач мне вылечил зуб, в нем было воспаление. Рекомендовать не могу.
    Помогите другим сделать правильный выбор — оставьте свой отзыв о докторе
    Написать отзыв

    Услуги врача (46)

    Терапевтическая стоматология
    Лечение кариеса
    от 4 300 ₽ до 7 100 ₽ за 1 зуб
    Лечение кариеса ICON
    от 3 390 ₽ за 1 зуб
    Лечение поверхностного кариеса
    Еще услуги
    Детская стоматология
    Удаление зубов у детей
    от 2 700 ₽ за 1 зуб
    Удаление зубов под наркозом у детей
    Лечение молочных зубов
    от 3 500 ₽ за 1 зуб
    Еще услуги
    Все цены носят ознакомительный характер. Точную цену вы сможете получить только после консультации специалиста.
    Звоните по телефону:
    +7 (495)Показать телефон

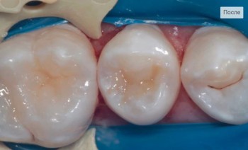
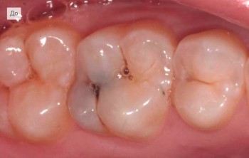
    Кинзебулатова Анастасия Денисовна: портфолио (6)

    Акции и скидки клиники УЛЫБКА ПРО (3)