Стоматолог Клепилина Надежда Валерьевна — цены, отзывы, стаж — Принимает в Москве

Клепилина Надежда Валерьевна

Клепилина Надежда Валерьевна - фотография
стоматолог-терапевт
Стаж 29 лет
Клепилина Надежда Валерьевна принимает в «Стоматологическая клиника ДИАМАНТ ПЛЮС» в Москве. Стаж 29 лет. Специализируется на терапии, по которой клиника оказывает 5 услуг. Имеет 4 работы до/после в портфолио. Для уточнения дополнительной информации о специалисте или записи на прием можно позвонить по телефону
+7 (495)Показать телефон
. Также 32top представляет форму онлайн расписания, через которую можно записаться к специалисту на свободную дату и время.

Где принимает:

Опыт 29 лет
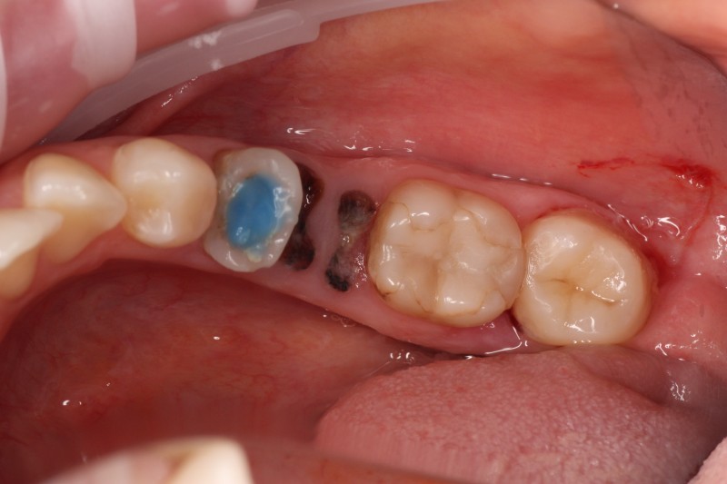
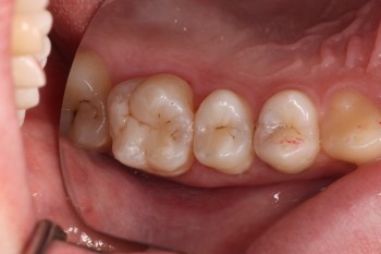
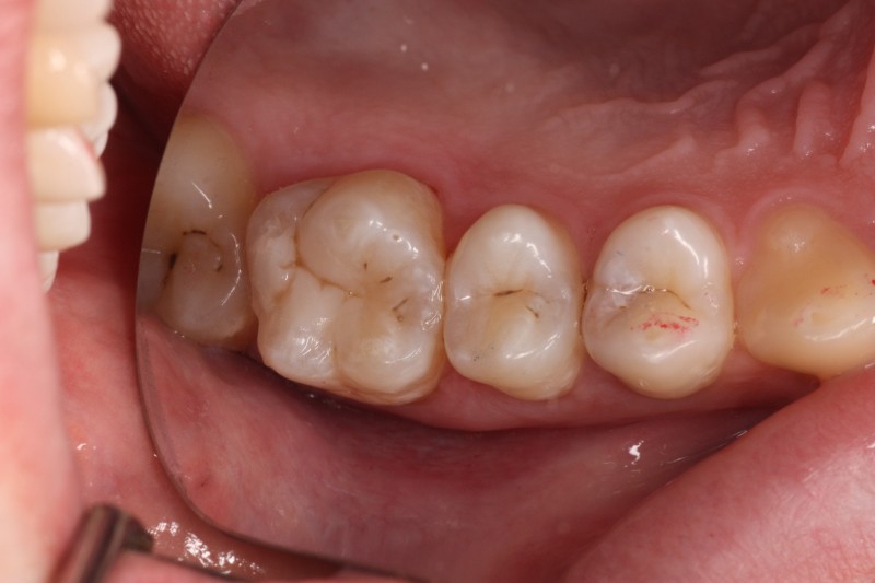
4 работы в портфолио

Клепилина Надежда Валерьевна: портфолио (4)

    Помогите другим сделать правильный выбор — оставьте свой отзыв о докторе
    Написать отзыв

    Услуги стоматолога в других клиниках

    Диагностика
    Консультация эндодонтиста от 1 ₽ до 3 500 ₽
    Терапевтическая стоматология
    Лечение кариеса от 3 500 ₽ до 14 500 ₽
    Лечение пульпита от 5 000 ₽ до 35 000 ₽
    Еще услуги