Стоматолог Григорян Арман Альбертович — цены, отзывы, стаж — Принимает в Москве

Григорян Арман Альбертович

Григорян Арман Альбертович - фотография
стоматолог-терапевт
стоматолог-гигиенист
Стаж 18 лет
Григорян Арман Альбертович принимает в «Сеть стоматологических клиник ВСЕ СВОИ!» в Москве. Стаж 18 лет. Специализируется на терапии и гигиене полости рта, по которым клиника оказывает 22 услуги. Имеет 15 работ до/после в портфолио. Квалификация специалиста подтверждена 26 лицензиями, сертификатами и наградами. Для уточнения дополнительной информации о специалисте или записи на прием можно позвонить по телефону
+7 (499)Показать телефон
.

Где принимает:

26 сертификатов
15 работ в портфолио
Опыт 18 лет

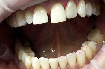
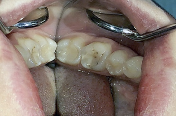
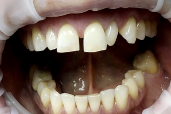
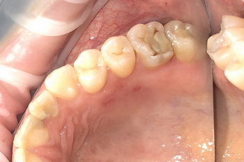
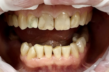
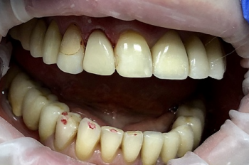
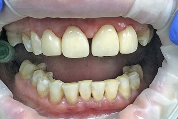
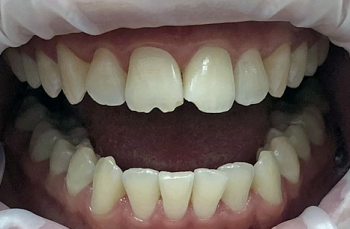
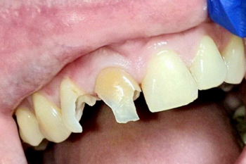
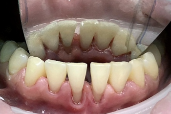
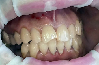
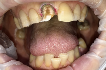
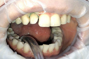
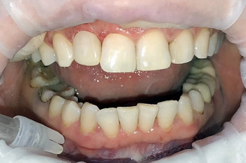
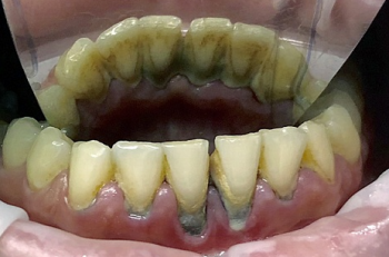
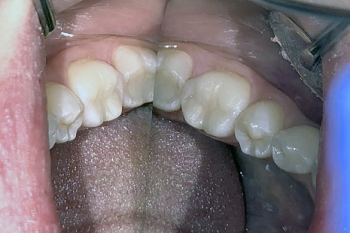
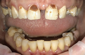
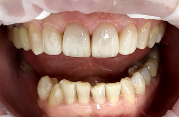
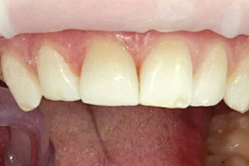
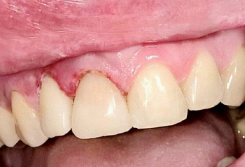
Григорян Арман Альбертович: портфолио (15)

Отзывы о враче Григорян Арман Альбертович

Почему нашим отзывам можно доверять?
4 декабря 2019 г.
1 2 3 4 5
В клинике «Все Свои» Новогиреево, делала полное восстановление 6 передних верхних зубов.Хочу выразить тысячу слов восхищения врачу с золотыми руками,Григоряну Арману Альбертовичу!!! Такого внимания и заботы к пациенту встретишь не часто, и то что этот врач от бога делает по окончании лечения не передать словами,результат превзошёл все возможные ожидания! Работа невероятная!!!!! Спасибо огромное Вам Арман Альбертович! С уважением, Елена Ваша пациентка.
    Помогите другим сделать правильный выбор — оставьте свой отзыв о докторе
    Написать отзыв

    Услуги стоматолога в других клиниках

    Терапевтическая стоматология
    Лечение кариеса от 3 500 ₽ до 14 500 ₽
    Лечение пульпита от 5 000 ₽ до 35 000 ₽
    Еще услуги
    Профгигиена
    Чистка зубов Air-flow от 1 000 ₽ до 12 800 ₽
    Фторирование зубов от 50 ₽ до 7 500 ₽
    Еще услуги