Сомов Антон Николаевич
Стаж
19 лет
Сомов Антон Николаевич принимает в «Стоматологическая клиника АДС» в Москве. Стаж 19 лет. Специализируется на хирургии и имплантологии, по которым клиника оказывает 15 услуг. Имеет 3 работы до/после в портфолио. Квалификация специалиста подтверждена 25 лицензиями, сертификатами и наградами, а опыт 14 отзывами пациентов, из которых 14 положительные. Для уточнения дополнительной информации о специалисте или записи на прием можно позвонить по телефону
+7 (495)Показать телефон
. Также 32top представляет форму онлайн расписания, через которую можно записаться к специалисту на свободную дату и время.
Где принимает:
-
Стоматологическая клиника АДС (ADC) м. Пролетарская ул. Динамовская, д. 9 стр. 2Цена приема: бесплатно
Опыт 19 лет
25 сертификатов
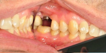
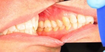
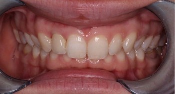
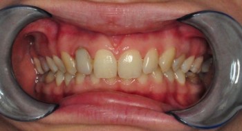
3 работы в портфолио
Стоматологические ассоциации
- Российская ассоциация стоматологической имплантологии (РАСтИ)
О стоматологе
Специализируется на удалении зубов любой сложности, проведении операций по имплантации и костной пластике
Отзывы о враче Сомов Антон Николаевич
Каждый отзыв проходит тщательную проверку Если у нас есть сомнения в достоверности, мы проводим дополнительную проверку: связываемся с автором отзыва и запрашиваем документы, подтверждающие факт посещения клиники.
30% отзывов не проходят модерацию Мы не размещаем и не допускаем к публикации заказные отзывы.
Собираем отзывы после приёма Наш колл-центр получает отзывы у пациентов, записавшихся на приём через 32top.