Стоматолог Трифонов Михаил Михайлович — цены, отзывы, стаж — Принимает в Москве

Трифонов Михаил Михайлович

Трифонов Михаил Михайлович - фотография
стоматолог-ортопед
Стаж 16 лет
к.м.н., главный врач
Трифонов Михаил Михайлович принимает в «Эстетическая стоматология РЕНУАР» в Москве. К.м.н., главный врач, стаж 16 лет. Специализируется на ортопедии, по которой клиника оказывает 8 услуг. Имеет 15 работ до/после в портфолио. Для уточнения дополнительной информации о специалисте или записи на прием можно позвонить по телефону
+7 (495)Показать телефон
.
www.doctortrifonov.com

Где принимает:

Опыт 16 лет
Кандидат мед.наук
15 работ в портфолио
Главный врач

Отзывы о враче Трифонов Михаил Михайлович

Почему нашим отзывам можно доверять?
30 октября 2016 г.
1 2 3 4 5
Оставлю несколько слов о стоматологии, что на пролетарской, там моя мама протезировалась, у Михаила Трифонова сейчас носит сделанный в клинике протез без проблем, ничего не натирает, дикция восстановилась за две недели. Еще я обратила внимание, какие там профессиональные и ответственные врачи, ведь к ним разные люди приходят, часто с болью, уставшие от болезней и нервные. И ко всем ведь надо найти особый подход, кого-то добрым словом успокоить, кого-то побыстрее принять, чтобы не мучился с зубом перед кабинетом. Я не раз наблюдала такие картины и хочу сказать персоналу клиники, что они не зря стараются, надо и дальше также добросовестно относиться к своему делу. Удачи и спасибо от мамы!!!
18 августа 2016 г.
1 2 3 4 5
Хотелось бы выразить благодарность сотрудникам клиники рутт Хворост М.Н. и Трифонова М.М., а также Быченкова А.С. Лечить такое дело, а вот делать чистку и фторирование зубов было немного страшновато, но все прошло отлично, результат выше всяких ожиданий. Видно, что люди знают и любят свое дело, а технологии и качественные материалы им в этом помогают. Кстати, клиника очень чистая, что тоже радует!
    Помогите другим сделать правильный выбор — оставьте свой отзыв о докторе
    Написать отзыв

    Услуги врача (43)

    Эстетическая стоматология
    Отбеливание зубов
    от 10 000 ₽ за 1 челюсть
    Наращивание зубов
    от 9 000 ₽ до 12 000 ₽ за 1 зуб
    Установка виниров
    от 39 000 ₽ до 49 000 ₽ за 1 зуб
    Еще услуги
    Протезирование зубов
    Установка коронки на зуб
    от 15 000 ₽ до 39 000 ₽ за 1 зуб
    Установка протеза Акри Фри (Acry-Free)
    Ремонт зубных протезов
    Еще услуги
    Все цены носят ознакомительный характер. Точную цену вы сможете получить только после консультации специалиста.
    Звоните по телефону:
    +7 (495)Показать телефон

    Награды

    2012 г. — Лучший молодой ученый;

    2013 г. — Лучший молодой ученый;

    2018 г. — Спасибо, доктор (награда Департамента здравоохранения г. Москвы).

    О стоматологе

    Специалист в эстетической стоматологии, протезировании на имплантатах, протезирование безметалловыми коронками, коронками на основе диоксида циркония, владеет всеми современными методиками протезирования: 3D-диагностика и компьютерное планирование.
    Автор 4 изобретений в области медицины (раздел: стоматология), автор 32 научных статей по теме 3D-технологии в стоматологии, выступал с докладами более чем на 15 научно-практических конференциях в России и зарубежом. Победитель в номинациях «Лучший молодой ученый-2012», «Спасибо, доктор-2018» (г. Москва)
    За годы практики установил более 7000 виниров, более 5000 коронок на имплантатах и более 10?000 безметалловых коронок.

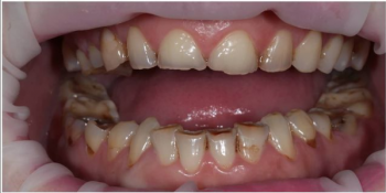
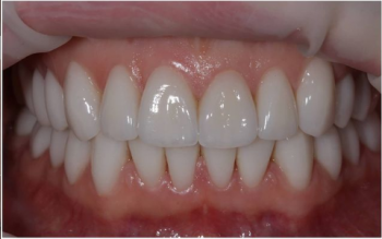
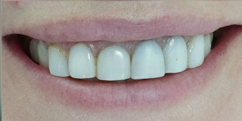
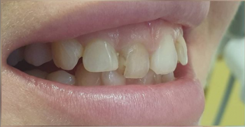
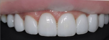
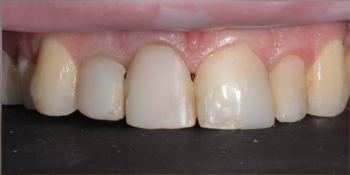
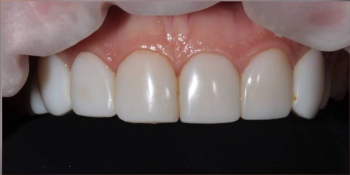
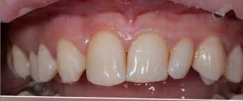
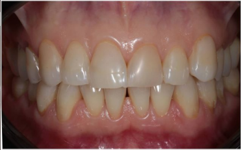
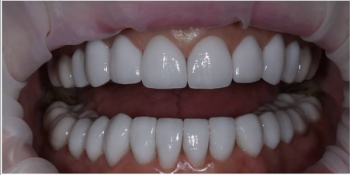
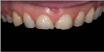
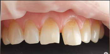
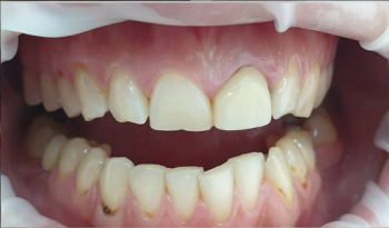
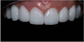
    Трифонов Михаил Михайлович: портфолио (15)

    Акции и скидки клиники РЕНУАР (6)