Стоматолог Казарян Асмик Арменаковна — цены, отзывы, стаж — Принимает в Москве

Казарян Асмик Арменаковна

Казарян Асмик Арменаковна - фотография
стоматолог-терапевт
стоматолог-ортодонт
детский ортодонт
Стаж 1 год
Казарян Асмик Арменаковна принимает в «Стоматологический центр КДС ДЕНТАЛ» в Химках. Специализируется на терапии и ортодонтии, по которым клиника оказывает 28 услуг. Имеет 3 работы до/после в портфолио. Квалификация специалиста подтверждена 5 лицензиями, сертификатами и наградами.

Где принимает:

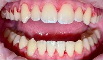
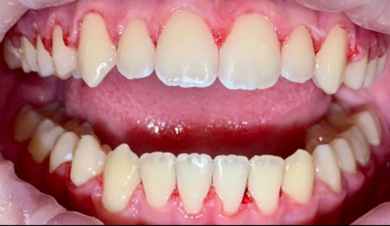
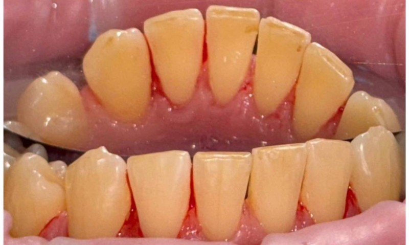
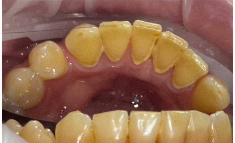
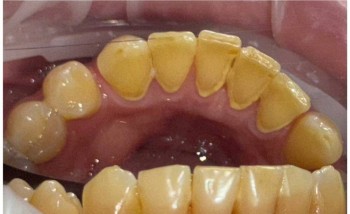
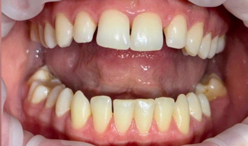
3 работы в портфолио
5 сертификатов
Опыт 1 год

Казарян Асмик Арменаковна: портфолио (3)

Отзывы о враче Казарян Асмик Арменаковна

Почему нашим отзывам можно доверять?
16 апреля 2026 г.
1 2 3 4 5
Была на консультации у Казарян Асмик Арменаковны по ортодонтии — очень довольна! Врач подробно объяснила, как будут ставить брекеты, и честно рассказала о возможных сложностях. Благодаря такому грамотному доктору я уверена: улыбка будет красивой. Ещё хочу отметить доброжелательный персонал клиники — всегда приятно сюда приходить!
Здравствуйте! Благодарим Вас за такой тёплый и искренний отзыв. Мы очень рады, что консультация по ортодонтии у Асмик Арменаковны оставила у Вас уверенность в будущей красивой улыбке. Особенно ценно, что врач честно рассказала о всех этапах и возможных сложностях — это и есть настоящий профессиональный подход. Приятно, что Вы отметили и доброжелательность персонала клиники. Передадим Вашу благодарность врачу. Желаем Вам успешного лечения и красивой, здоровой улыбки!
    Помогите другим сделать правильный выбор — оставьте свой отзыв о докторе
    Написать отзыв

    Услуги стоматолога в других клиниках

    Диагностика
    Консультация стоматолога от 1 ₽ до 3 500 ₽
    Консультация ортодонта от 1 ₽ до 5 200 ₽
    Еще услуги
    Терапевтическая стоматология
    Лечение кариеса от 3 500 ₽ до 14 500 ₽
    Лечение пульпита от 5 000 ₽ до 35 000 ₽
    Еще услуги
    Ортодонтия
    Установка брекетов от 10 000 ₽ до 400 000 ₽
    Снятие брекетов от 530 ₽ до 42 000 ₽
    Еще услуги