Стоматолог Григорян Стелла Рафаэловна — цены, отзывы, стаж — Принимает в Москве

Григорян Стелла Рафаэловна

Григорян Стелла Рафаэловна - фотография

5.0
Рейтинг: 5.0
Отзывов: 2
Положительных: 2
Отрицательных: 0
Последний : 2179 дн. назад
2 отзыва
стоматолог-гигиенист
стоматолог-хирург
пародонтолог
Стаж 18 лет
врач первой категории
Григорян Стелла Рафаэловна принимает в «Стоматологическая клиника ТРИЛОГИЯ» в Москве. Врач первой категории, стаж 18 лет. Специализируется на гигиене полости рта, хирургии и пародонтологии, по которым клиника оказывает 23 услуги. Имеет 4 работы до/после в портфолио. Квалификация специалиста подтверждена 15 лицензиями, сертификатами и наградами. Для уточнения дополнительной информации о специалисте или записи на прием можно позвонить по телефону
+7 (495)Показать телефон
.

Где принимает:

15 сертификатов
Опыт 18 лет
4 работы в портфолио
Врач первой категории

Награды

Победитель конкурса стоматологического форума Dental Start в номинации «Пародонтолог года» в 2019г.


Стоматологические ассоциации

  • Член «Общества по изучению цвета в стоматологии»
  • Член «Независимой ассоциации пародонтологов»

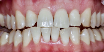
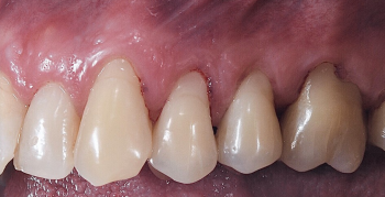
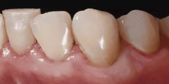
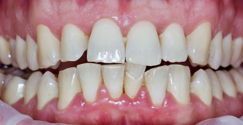
Григорян Стелла Рафаэловна: портфолио (4)

Отзывы о враче Григорян Стелла Рафаэловна

Рейтинг: 5
Отзывов: 2
Положительных: 2
Отрицательных: 0
Последний: 2179 дн. назад
5.0
Почему нашим отзывам можно доверять?
19 мая 2020 г.
1 2 3 4 5
Обратилась к Стелле Рафаеловне прошлым летом с огромной проблемой десен. Потратила полтора года и уйму денег на походы к врачам, которые не могли выявить причину и, соответственно, назначить действенное лечение. Уже опустила руки, пока не посоветовала обратиться к С. Р.! В итоге проблема была верно и своевременно диагностирована и решена путем кюретажа десен. Процедура жуткая, но у доктора золотые руки! Работа была ювелирной, а результат налицо! Уже год живу спокойной жизнью, забыв о боли и дискомфорте! Спасибо огромное! Буду советовать всем!
28 февраля 2020 г.
1 2 3 4 5
В связи с ортодонтическим лечением (ношение брекет-системы), в течение 2-х лет регулярно наблюдаюсь у доктора Стеллы Рафаэловны. За время наблюдения доктором было проведено лечение пародонтоза и операция по наращиванию мягкой ткани десны (пластика десны) после установки импланта. Около 10 профчисток. Все профессионально и комфортно (на операции слушал музыку, а потом уснул). Мне кажется, я нашёл своего доктора. Всем рекомендую.
    Помогите другим сделать правильный выбор — оставьте свой отзыв о докторе
    Написать отзыв

    Услуги стоматолога в других клиниках

    Пародонтология
    Лечение пародонтита от 170 ₽ до 33 600 ₽
    Лечение пародонтоза от 170 ₽ до 24 800 ₽
    Еще услуги
    Хирургическая стоматология
    Удаление зубов от 1 150 ₽ до 25 000 ₽
    Удаление кисты и гранулемы зуба от 600 ₽ до 48 500 ₽
    Еще услуги
    Профгигиена
    Чистка зубов Air-flow от 1 000 ₽ до 12 800 ₽
    Фторирование зубов от 50 ₽ до 7 500 ₽
    Еще услуги