Стоматолог Седракян Арсен Артёмович — цены, отзывы, стаж — Принимает в Москве

Седракян Арсен Артёмович

Седракян Арсен Артёмович - фотография

5.0
Рейтинг: 5.0
Отзывов: 4
Положительных: 4
Отрицательных: 0
Последний : 446 дн. назад
4 отзыва
стоматолог-ортопед
стоматолог-хирург
Стаж 16 лет
Седракян Арсен Артёмович принимает в «Стоматология СТАНЦИЯ УЛЫБОК» в Москве. Стаж 16 лет. Специализируется на ортопедии и хирургии, по которым клиника оказывает 29 услуг. Имеет 15 работ до/после в портфолио. Квалификация специалиста подтверждена 10 лицензиями, сертификатами и наградами. Для уточнения дополнительной информации о специалисте или записи на прием можно позвонить по телефону
+7 (800)Показать телефон
.

Где принимает:

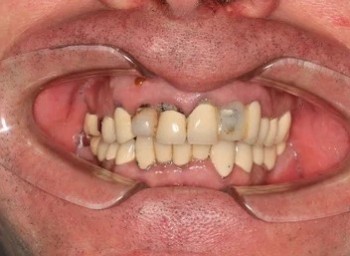
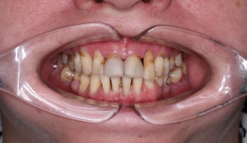
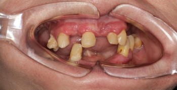
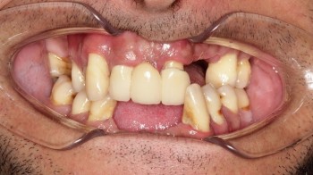
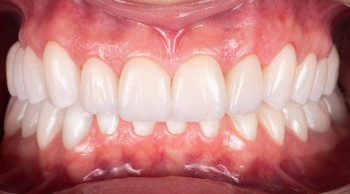
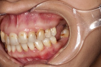
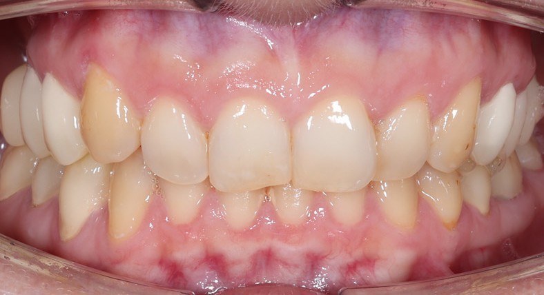
15 работ в портфолио
Опыт 16 лет
10 сертификатов

Отзывы о враче Седракян Арсен Артёмович

Рейтинг: 5
Отзывов: 4
Положительных: 4
Отрицательных: 0
Последний: 446 дн. назад
5.0
Почему нашим отзывам можно доверять?
14 февраля 2025 г.
1 2 3 4 5
Я живу в Южно-Сахалинске, мне там отказались делать имплантацию, сказали, что нет гарантии, и ценник был 3 миллиона за две челюсти! Случайно нашла в интернете клинику «Эстетус» доктора Севака, решила попробовать, и не зря! Друзья удивляются: «Ты сделала пластику?» У меня стоят все четыре импланта, на двух челюстях. Каждый год летаю в клинику на чистку и осмотр. Лететь приходится долго, но я готова, потому что врачи там отличные: Седракян Арсен Артемович, Хрысков Михаил Николаевич и Попова Анастасия Николаевна — они просто волшебники!
Здравствуйте! Спасибо за Ваш отзыв и выбор нашей клиники. Ваши слова - это подтверждение нашей командной работы, нашего командного духа и профессионализма врачей. Очень рады, что теперь в мире на одного счастливого пациента больше! С уважением, Клиника доктора Севака Estetus
13 января 2024 г.
1 2 3 4 5
Выражаю благодарность доктору Седракяну Арсену Артемовичу за протезированаие зубов моей маме. Много сил было потрачено на выбор клиники и врача. И оно того стоило. Результат выше всех похвал. Доктор нашел подход к моей маме, очень доброжелателен и воспитан. Качественно сделал зубы. Лечение проходило комфортно. Мама, я и все наши близкие не перестаем восхищаться её новой улыбке.
От лица Арсена Артемовича и руководства клиники выражаем благодарность за оставленный отзыв о лечении у нас. Спасибо, что не забываете делиться с миром своими рекомендациями! Мы это очень ценим. С уважением, клиника доктора Севака Estetus
9 февраля 2021 г.
1 2 3 4 5
Шла к стоматологу с большой настороженностью и недоверием. Но Арсен Артемович развеял все мои опасения. Чётко объяснил в каком случае, какие показания для конкретного лечения. Во время лечения все слажено и внимательно. Ну и результат: все хорошо функционирует и выглядит красиво! Рекомендую!!!
15 июня 2020 г.
1 2 3 4 5
Меняла пломбы, коронки, делала керамические вкладки у Арсена Артёмовича. Профессионал своего дела, с чуткостью относится к пациентам. Врач не навязывает услуги, всегда предлагает несколько возможных вариантов. До этого лечила зубы у другого врача и в другой клинике (не самый приятный опыт). Пришла к Арсену Артёмовичу исправлять ошибки. Качество работы и материалов во много раз выше! Также для себя подметила, что для Арсена Артёмовича крайне важен эстетический вид зубов. В итоге вылеченные зубы получаются очень аккуратными и красивыми.
    Помогите другим сделать правильный выбор — оставьте свой отзыв о докторе
    Написать отзыв

    Услуги врача (40)

    Хирургическая стоматология
    Удаление зубов
    от 5 000 ₽ до 13 000 ₽ за 1 зуб
    Удаление зуба мудрости
    от 8 000 ₽ за 1 зуб
    Сложное удаление зуба
    от 6 000 ₽ до 13 000 ₽ за 1 зуб
    Еще услуги
    Протезирование зубов
    Установка коронки на зуб
    от 18 000 ₽ до 50 000 ₽ за 1 зуб
    Установка протеза Акри Фри (Acry-Free)
    от 70 000 ₽ за 1 челюсть
    Ремонт зубных протезов
    от 7 000 ₽ за 1 шт.
    Еще услуги
    Все цены носят ознакомительный характер. Точную цену вы сможете получить только после консультации специалиста.
    Звоните по телефону:
    +7 (800)Показать телефон

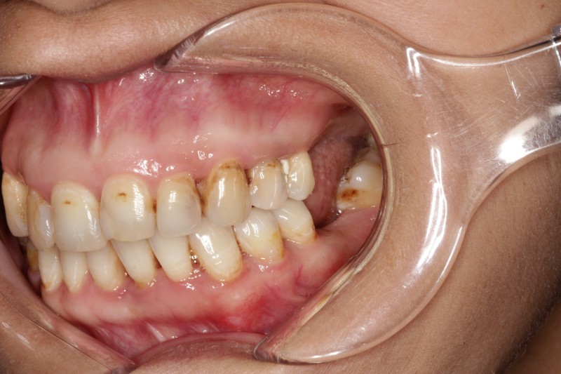
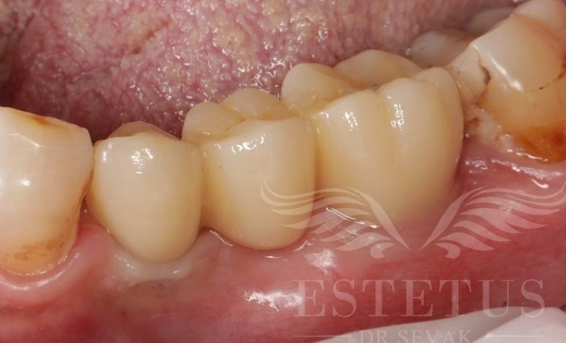
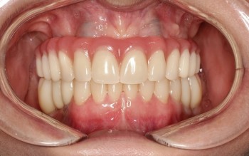
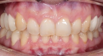
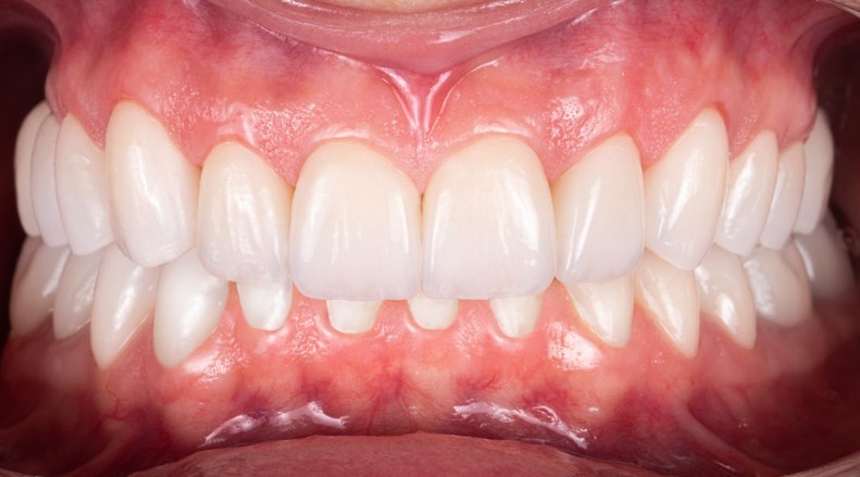
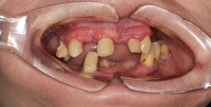
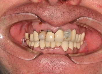
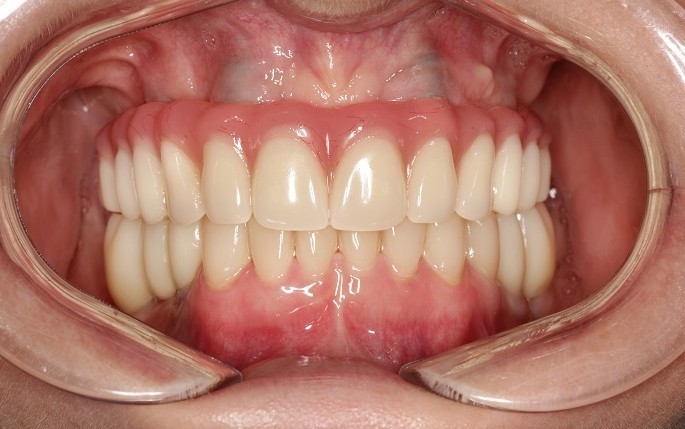
    Седракян Арсен Артёмович: портфолио (15)

    Акции и скидки клиники СТАНЦИЯ УЛЫБОК (7)