Стоматолог Омерэлли Эмир Романович — цены, отзывы, стаж — Принимает в Москве

Омерэлли Эмир Романович

Омерэлли Эмир Романович - фотография

5.0
Рейтинг: 5.0
Отзывов: 78
Положительных: 78
Отрицательных: 0
Последний : 839 дн. назад
78 отзывов
стоматолог-хирург
стоматолог-имплантолог
Стаж 20 лет
к.м.н., врач первой категории
Омерэлли Эмир Романович принимает в «Стоматологический центр РУТТ» в Москве. К.м.н., врач первой категории, стаж 20 лет. Специализируется на хирургии и имплантологии, по которым клиника оказывает 23 услуги. Имеет 3 работы до/после в портфолио. Квалификация специалиста подтверждена 10 лицензиями, сертификатами и наградами, а опыт 78 отзывами пациентов, из которых 78 положительные. Для уточнения дополнительной информации о специалисте или записи на прием можно позвонить по телефону
+7 (800)Показать телефон
.

Где принимает:

Кандидат мед.наук
Опыт 20 лет
3 работы в портфолио
Врач первой категории
10 сертификатов

Отзывы о враче Омерэлли Эмир Романович

Рейтинг: 5
Отзывов: 78
Положительных: 78
Отрицательных: 0
Последний: 839 дн. назад
5.0
Почему нашим отзывам можно доверять?
19 января 2024 г.
1 2 3 4 5
Удалял и одновременно ставил два импланта. Всё великолепно! Особенно в сравнении с подобной же операцией 2 года назад в другом месте. Мастерство врача Омерэлли и его ассистентки Дианы выше всяких похвал! И доктор использует одно ноу-хау, которые особенно понравится зрелым мужчинам Эмир Рамизович красавчик!
5 февраля 2020 г.
1 2 3 4 5
Вчера наконец состоялся очередной визит к Эмиру Романовичу и установка первого в жизни импланта! Вышло более чем недорого, за работу врача, сам имплант Рут Форм с прибамбасами типа формирователя и абатмента вышло 28000. Консультация, обследование оптг - все бесплатно, еще и выдали гарантию, целый год мой новый житель полости рта будет под присмотром. Безумно рад такому исходу, благодарен врачу и ассистенту за успешную имплантацию!
24 апреля 2018 г.
1 2 3 4 5
Первым подобный подвиг в нашей семье совершил муж, он поставил имплант. Надо было устанавливать два зуба по соседству. Можно конечно и мост установить. Но пришлось бы стачивать и вырывать нервы у здоровых зубов. Не радовала такая перспектива. После мужа и я взялась за зубы. Для начала проходится обследование на специальном аппарате, делается ортограмма, в некоторых случаях томография. Доктор делает вывод можно ли устанавливать имплант. Супругу доктор назначил прием препаратов, для того, чтобы насытить организм кальцием. Мне ничего такого не назначали. Потом операция по установке имплантов. Применили обезболивающее и разрезали десну внутри, в кость вживили два импланта. Зашили. Спустя неделю швы сняли, мужу через 10 дней, все очень индивидуально. Нарисуют вам картину на компьютере, которая получилась после операции. На десне красуются аккуратные швы. Дальше надо подождать, когда заживет и самое главное приживутся ли импланты. Доктор снабдил меня всеми медпрепаратами и памяткой что можно что нельзя. Таблетки оказались волшебными. Боли не было и отечность тоже отсутствовала. Через 2 дня после операции пошла на работу. Три месяца ждали когда приживутся. Походила без зубов. так как это не фасадные зубы, так что вполне терпимо. Коронки у меня будут в мае, а у мужа стоят с февраля. Он счастлив. И я почти. Наш имплантолог Эмир Романович Омерэлли. За нами по пятам записалась к нему и моя сестра) Снабжаем доктора пациентами в знак благодарности.
15 августа 2017 г.
1 2 3 4 5
При установке импалнтов возникла проблема не достаточное количество костной ткани. Моему разочарованию не было предела. На помощь пришел имплантолог Омерелли. Эмир Рамизович провел отличную операцию синус-лифтинг. Операция оказалась не очень сложной, перенесла я её хорошо. Сейчас стоят прекрасные, красивые импланты. Медицина не стоит на месте и сейчас с любого положения можно найти выход. Обращайтесь в клинику на м. Пролетарская.
12 августа 2017 г.
1 2 3 4 5
Моего мужа замучили зубы мудрости. Идти в стоматологию категорически отказывался, с детства боится стоматологов. Но всякому терпению приходит конец. Они его просто достали своей болью. Пошли вместе на приём к Омерелли. В кабинет зашёл один. Врач удивился, что он так долго мог терпеть боль. По словам мужа, он даже не почувствовал, как врач поставил укол обезболивающий. Ловкими, быстрыми движениями один и следом другой зубы были вырваны. Эмир Рамизович огромное Спасибо от имени мужа за прекрасное удаление!!
8 августа 2017 г.
1 2 3 4 5
Хочу отметить дружелюбную обстановку в клинике, уютную зону ожидания, а наличие парковочных мест тоже несомненно плюс (особенно в критичных ситуациях). Но самое главное благодарю за безболезненную, щадящую и профессиональную хирургию, чрезвычайно терпеливый персонал и наличие отличного хирурга-имплантолога Омерэлли Э.Р. У меня была срочная ситуация, требовалось в сжатые сроки прооперировать и сразу поставить имплант (к счастью была такая возможность). Эмир Романович и персонал были очень аккуратны, терпеливы ко мне, тщательно объяснили каждый шаг работы (для меня важен такой подход). Имплантация выполнена хорошо, достаточно быстро прошла адаптация, приживание и заживление.
1 августа 2017 г.
1 2 3 4 5
Всем добрый день!!У Эмира Рамизовича делал базальную имплантацию. Врач очень хороший. Операция прошла быстро, дискомфорта и боли не испытывала.Опыт 11 летний говорит сам за себя. Имплантами довольна, удобно и безусловно очень красиво, когда полный рот зубов. Улыбка сейчас прекрасная(даже самой нравиться). Центру на м. Дмитровка желаю процветания и успехов!!
24 июля 2017 г.
1 2 3 4 5
Добрый день! Дорогие друзья, если у Вас не зубиков спешите поставить импланты у Омерелли. По собственному опыту знаю какие хорошие импланты он может установить. Доктор опытный, вежливый. Операцию перенесла отлично без боли. Одним словом все просто замечательно, довольна очень всем. Новым зубам не нарадуюсь.
17 июля 2017 г.
1 2 3 4 5
Я выбрала клинику Симпладент, что по адресу: ул. Руставелли 14, строение 9, основываясь на том, что удобно добираться (от м. Бутырская 3 минуты до Симпладента) и на том, что прочитала хорошие отзывы о клинике и специалистах, работающих в ней. На самом деле доктор Э.Р. Омерэли и его ассистенты превзошли мои ожидания еще во время моего первого визита. Консультация и осмотр состояния зубного ряда прошла в комфортном и расслабленном режиме. Э.Р. Омерэли имеет стоматологический стаж работы более 15 лет и отлично разбирается в области имплантологии, к тому же умеет слушать и понимать Ваши непосредственные потребности и цели касаемо улыбки. Даже в условиях наличия ограниченных затрат на 100% совершенную улыбку, он предложит максимально хороший план имплантации, чтобы получить улыбку, которую Вы ищете. Вот и я давно откладывала визит к имплантологу (зря конечно), но наконец-то я всех могу очаровать своей улыбкой. Спасибо, Омирэли Э.Р., и всей Вашей команде! Я так рада, что нашла именно Вас, ребята, и уже отправила к Вам двух своих коллег.
11 июля 2017 г.
1 2 3 4 5
Зубы не болели, но появился запах изо рта и стали беспокоить десны. Оказал мне помощь Эмир Рамизович. Да больные были десны. Благодаря хирургической пародонтологии примененной Эмиром Рамирозовичем у меня все стало в полном порядке. Лечение проведено безболезненно и с быстрым эффектом выздоровления!
    Помогите другим сделать правильный выбор — оставьте свой отзыв о докторе
    Написать отзыв

    Услуги врача (39)

    Хирургическая стоматология
    Удаление зубов
    от 2 000 ₽ до 12 000 ₽ за 1 зуб
    Удаление зуба мудрости
    от 7 000 ₽ до 12 000 ₽ за 1 зуб
    Сложное удаление зуба
    от 12 000 ₽ за 1 зуб
    Еще услуги
    Имплантация
    Имплантация зубов под ключ
    от 32 000 ₽ за 1 зуб
    Установка мини-импланта
    от 20 000 ₽ за 1 зуб
    Коронки на имплантах
    от 15 000 ₽ до 65 000 ₽ за 1 зуб
    Еще услуги
    Все цены носят ознакомительный характер. Точную цену вы сможете получить только после консультации специалиста.
    Звоните по телефону:
    +7 (800)Показать телефон

    О стоматологе

    Специалист в области:
    • Классической имплантации зубов
    • Базальной имплантации с моментальной нагрузкой
    • Субантральной аугментации
    • Сложного удаления зубов
    • Направленной регенерации костной ткани и синус-лифтинга
    • Хирургической и консервативной пародонтологии.

    Имеет большой опыт работы с различными имплантологическими системами (Replace, Defcon, Astra, DenTi, ROOTT и др.). Одним из первых начал применять базальную имплантацию зубов в России. В составе Открытого Сообщества Стоматологов участвовал в разработке усовершенствованных моделей имплантов с моментальной нагрузкой.

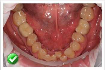
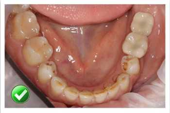
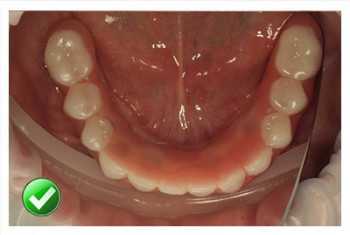
    Омерэлли Эмир Романович: портфолио (3)