Стоматолог Елизарова Наталья Леонидовна — цены, отзывы, стаж — Принимает в Москве

Елизарова Наталья Леонидовна

Елизарова Наталья Леонидовна - фотография

5.0
Рейтинг: 5.0
Отзывов: 2
Положительных: 2
Отрицательных: 0
Последний : 2162 дн. назад
2 отзыва
стоматолог-терапевт
Стаж 33 года
врач высшей категории, главный врач
Елизарова Наталья Леонидовна принимает в «Сеть стоматологических клиник ЗУБ.РУ» в Москве. Главный врач, врач высшей категории, стаж 33 года. Специализируется на терапии, по которой клиника оказывает 19 услуг. Имеет 2 работы до/после в портфолио. Квалификация специалиста подтверждена 17 лицензиями, сертификатами и наградами. Для уточнения дополнительной информации о специалисте или записи на прием можно позвонить по телефону
+7 (495)Показать телефон
.

Где принимает:

2 работы в портфолио
Врач высшей категории
17 сертификатов
Опыт 33 года
Главный врач

Отзывы о враче Елизарова Наталья Леонидовна

Рейтинг: 5
Отзывов: 2
Положительных: 2
Отрицательных: 0
Последний: 2162 дн. назад
5.0
Почему нашим отзывам можно доверять?
6 июня 2020 г.
1 2 3 4 5
Я посещаю клинику Дентал Гуру на Покровке 43 стр. 2, в которой работает Наталья Леонидовна, с 2019 года, это лучшая клиника из тех, в которые я обращалась. Все доктора клиники - специалисты высокого профессионального уровня, доброжелательны и клиентоориентированы. Мне необходимо было восстановить передний зуб. Пломба, закрывающая плоскость зуба откололась. Наталью Леонидовну мне порекомендовал координатор клиники. Результат превзошел мои ожидания - получилось красиво, подобран цвет и форма (это важно для переднего зуба), пломба очень комфортна. Я снова могу улыбаться! Наталья Леонидовна, примите мою благодарность за Вашу прекрасную работу!
6 июня 2020 г.
1 2 3 4 5
Я посещаю клинику Дентал Гуру на Покровке 43 стр. 2, в которой работает Наталья Леонидовна, с 2019 года, это лучшая клиника из тех, в которые я обращалась. Все доктора клиники - специалисты высокого профессионального уровня, доброжелательны и клиентоориентированы. Мне необходимо было восстановить передний зуб. Пломба, закрывающая плоскость зуба откололась. Наталью Леонидовну мне порекомендовал координатор клиники. Результат превзошел мои ожидания - получилось красиво, подобран цвет и форма (это важно для переднего зуба), пломба очень комфортна. Я снова могу улыбаться! Наталья Леонидовна, примите мою благодарность за Вашу прекрасную работу!
    Помогите другим сделать правильный выбор — оставьте свой отзыв о докторе
    Написать отзыв

    Услуги врача (32)

    Терапевтическая стоматология
    Лечение кариеса
    от 5 700 ₽ до 10 000 ₽ за 1 зуб
    Лечение кариеса ICON
    от 5 700 ₽ за 1 зуб
    Лечение поверхностного кариеса
    от 5 700 ₽
    Еще услуги
    Все цены носят ознакомительный характер. Точную цену вы сможете получить только после консультации специалиста.
    Звоните по телефону:
    +7 (495)Показать телефон

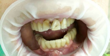
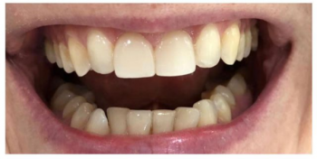
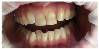
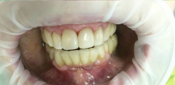
    Елизарова Наталья Леонидовна: портфолио (2)