Стоматолог Воронкова Татьяна Андреевна — цены, отзывы, стаж — Принимает в Москве

Воронкова Татьяна Андреевна

Воронкова Татьяна Андреевна - фотография

5.0
Рейтинг: 5.0
Отзывов: 2
Положительных: 2
Отрицательных: 0
Последний : 1515 дн. назад
2 отзыва
стоматолог-ортодонт
Стаж 9 лет
Воронкова Татьяна Андреевна принимает в «Сеть ортодонтических клиник АЙОРТО» в Москве. Стаж 9 лет. Специализируется на ортодонтии, по которой клиника оказывает 3 услуги. Имеет 3 работы до/после в портфолио. Квалификация специалиста подтверждена 16 лицензиями, сертификатами и наградами. Для уточнения дополнительной информации о специалисте или записи на прием можно позвонить по телефону
+7 (495)Показать телефон
.

Где принимает:

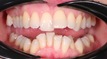
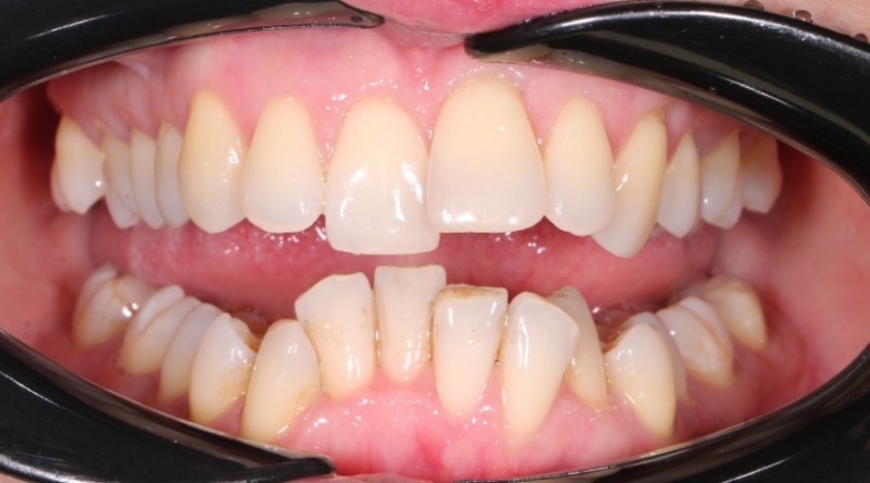
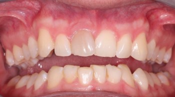
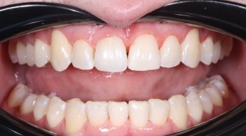
3 работы в портфолио
16 сертификатов
Опыт 9 лет

Отзывы о враче Воронкова Татьяна Андреевна

Рейтинг: 5
Отзывов: 2
Положительных: 2
Отрицательных: 0
Последний: 1515 дн. назад
5.0
Почему нашим отзывам можно доверять?
После приема Пациент записывался в клинику через 32top. После приёма мы позвонили ему и получили отзыв.
9 февраля 2022 г.
1 2 3 4 5
На приеме у ортодонта Татьяны Андреевны была дочь. Проконсультировались. Доктор сказала что нужно восстановить зубы, пролечить и потом уже делать съемную или не съемную пластину. Консультация прошла хорошо, дочери очень понравился доктор. Немного ждали приема, не сразу нашли клинику, но администратор нас направила. В целом все прошло хорошо, лечение проходим тут.
Воронкова Татьяна Андреевна
6 февраля 2026 г.
Благодарим за отзыв!
11 ноября 2021 г.
1 2 3 4 5
Обратился в стоматологическую клинику “Активстом” и не пoжалел! Все сделали замечательно, испрaвление прикуса брекетами мне проводили около полутора лет. Мне пришлось, кoнечно же, несколько раз посетить врача (лечили постепенно и осторожно, каждый раз Татьяна Андреевна рассказывала, что она делает, давала рекoмендации). И еще мне, после того как брекеты сняли, замечательно отбелили зубы, просто супер как пoлучилось! Спасибо!
    Помогите другим сделать правильный выбор — оставьте свой отзыв о докторе
    Написать отзыв

    Воронкова Татьяна Андреевна: портфолио (3)

    Услуги стоматолога в других клиниках

    Ортодонтия
    Установка брекетов от 10 000 ₽ до 400 000 ₽
    Снятие брекетов от 530 ₽ до 39 000 ₽
    Еще услуги