Стоматолог Благушина Наталия Алексеевна — цены, отзывы, стаж — Принимает в Москве

Благушина Наталия Алексеевна

Благушина Наталия Алексеевна - фотография

5.0
Рейтинг: 5.0
Отзывов: 2
Положительных: 2
Отрицательных: 0
Последний : 178 дн. назад
2 отзыва
стоматолог-хирург
стоматолог-имплантолог
пародонтолог
Стаж 10 лет
Благушина Наталия Алексеевна принимает в «Стоматология УЛЫБКА ПРО» в Москве. К.м.н., стаж 10 лет. Специализируется на хирургии, имплантологии и пародонтологии, по которым клиника оказывает 29 услуг. Имеет 8 работ до/после в портфолио. Квалификация специалиста подтверждена 8 лицензиями, сертификатами и наградами. Для уточнения дополнительной информации о специалисте или записи на прием можно позвонить по телефону
+7 (495)Показать телефон
. Также 32top представляет форму онлайн расписания, через которую можно записаться к специалисту на свободную дату и время.

Где принимает:

8 работ в портфолио
Опыт 10 лет
8 сертификатов
Кандидат мед.наук

Отзывы о враче Благушина Наталия Алексеевна

Рейтинг: 5
Отзывов: 2
Положительных: 2
Отрицательных: 0
Последний: 178 дн. назад
5.0
Почему нашим отзывам можно доверять?
После приема Пациент записывался в клинику через 32top. После приёма мы позвонили ему и получили отзыв.
10 ноября 2025 г.
1 2 3 4 5
Хорошая стоматология, проходила лечение и удаление в этой клинике.Лечила зуб и ставила пломбу Кинзебулатова А.Д., удаление проводила врач Благушина Н.А. Молодцы, опытные, внимательные. Прекрасно знающие свою работу. Единственное, что мне не понравилось- я ни разу не попала на прием вовремя, всегда врач принимал с опозданием на 30-40 мин. В остальном все отлично.
После приема Пациент записывался в клинику через 32top. После приёма мы позвонили ему и получили отзыв.
2 августа 2025 г.
1 2 3 4 5
Клинику выбрала в интернете. Удаляла зуб восьмерку у врача Благушиной Наталии. Очень понравилась врач, видно, что опытный специалист, после осмотра и снимка сделали укол, дала объяснение как пройдет процедура. Удаление прошло без особых проблем, десна тоже зажила хорошо. Я довольна результатом, клинику и врача рекомендую.
    Помогите другим сделать правильный выбор — оставьте свой отзыв о докторе
    Написать отзыв

    Услуги врача (58)

    Профгигиена
    Комплексная гигиена полости рта
    от 9 900 ₽ до 13 600 ₽ вся полость
    Чистка зубов Air-flow
    от 5 500 ₽ за 1 сеанс
    Ультразвуковая чистка зубов
    от 5 500 ₽
    Еще услуги
    Хирургическая стоматология
    Удаление зубов
    от 4 900 ₽ за 1 зуб
    Удаление зуба мудрости
    от 9 900 ₽ до 12 890 ₽ за 1 зуб
    Сложное удаление зуба
    от 8 300 ₽ за 1 зуб
    Еще услуги
    Имплантация
    Имплантация зубов под ключ
    от 55 000 ₽ до 90 000 ₽ за 1 зуб
    Установка мини-импланта
    от 6 000 ₽ за 1 зуб
    Одномоментная имплантация
    Еще услуги
    Пародонтология
    Лечение пародонтита
    от 8 900 ₽
    Лечение пародонтоза
    Лечение аппаратом Вектор
    Еще услуги
    Все цены носят ознакомительный характер. Точную цену вы сможете получить только после консультации специалиста.
    Звоните по телефону:
    +7 (495)Показать телефон

    Стоматологические ассоциации

    • Член ассоциации ITI (имплантология) - International Team for Implantology

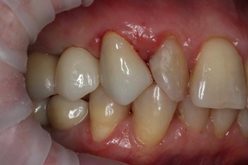
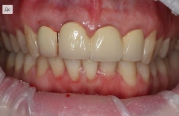
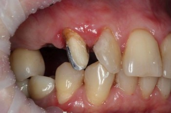
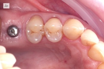
    Благушина Наталия Алексеевна: портфолио (8)

    Акции и скидки клиники УЛЫБКА ПРО (3)