Стоматолог Овчинников Сергей Александрович — цены, отзывы, стаж — Принимает в Москве

Овчинников Сергей Александрович

Овчинников Сергей Александрович - фотография
стоматолог-ортопед
Стаж 20 лет
Овчинников Сергей Александрович принимает в «Сеть стоматологических клиник ЗУБ.РУ» в Москве. Стаж 20 лет. Специализируется на ортопедии, по которой клиника оказывает 16 услуг. Имеет 3 работы до/после в портфолио. Квалификация специалиста подтверждена 2 лицензиями, сертификатами и наградами. Для уточнения дополнительной информации о специалисте или записи на прием можно позвонить по телефону
+7 (495)Показать телефон
. Также 32top представляет форму онлайн расписания, через которую можно записаться к специалисту на свободную дату и время.

Где принимает:

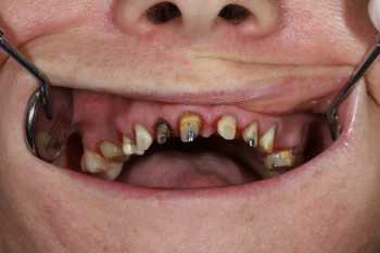
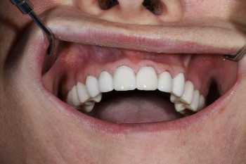
3 работы в портфолио
2 сертификата
Опыт 20 лет

Отзывы о враче Овчинников Сергей Александрович

Почему нашим отзывам можно доверять?
28 августа 2019 г.
1 2 3 4 5
Выражаю особую благодарность ортопеду-хирургу Сергею Александровичу Овчинникову. На протяжении шести месяцев он кропотливо выполнял свою работу. Высокий профессионализм сочетается с прекрасными человеческими качествами: уважение к пациенту, забота о комфорте пациента во время процедур, сочувствие. Всех Вам благ и процветания!
Спасибо за оставленный отзыв. Обязательно передадим слова благодарности Сергею Александровичу. Обращайтесь. С уважением, администрация стоматологической клиники "32 Жемчужины"
    Помогите другим сделать правильный выбор — оставьте свой отзыв о докторе
    Написать отзыв

    Услуги врача (21)

    Протезирование зубов
    Установка коронки на зуб
    от 20 700 ₽ до 41 100 ₽ за 1 зуб
    Ремонт зубных протезов
    Перебазировка съёмного протеза
    Еще услуги
    Все цены носят ознакомительный характер. Точную цену вы сможете получить только после консультации специалиста.
    Звоните по телефону:
    +7 (495)Показать телефон

    Овчинников Сергей Александрович: портфолио (3)