Стоматолог Неврузян Седа Агвановна — цены, отзывы, стаж — Принимает в Москве

Неврузян Седа Агвановна

Неврузян Седа Агвановна - фотография

5.0
Рейтинг: 5.0
Отзывов: 2
Положительных: 2
Отрицательных: 0
Последний : 1874 дн. назад
2 отзыва
стоматолог-гигиенист
Стаж 13 лет
Неврузян Седа Агвановна принимает в «Стоматологическая клиника СМАЙЛ СПЕЙС» в Москве. Стаж 13 лет. Специализируется на гигиене полости рта, по которой клиника оказывает 5 услуг. Имеет 2 работы до/после в портфолио. Для уточнения дополнительной информации о специалисте или записи на прием можно позвонить по телефону
+7 (495)Показать телефон
.

Где принимает:

Опыт 13 лет
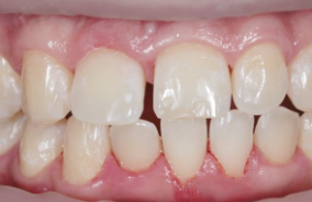
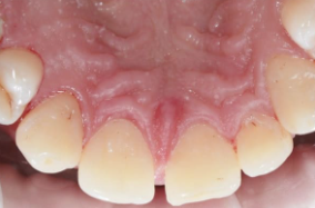
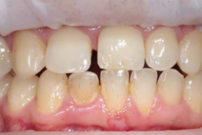
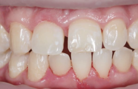
2 работы в портфолио

Неврузян Седа Агвановна: портфолио (2)

Отзывы о враче Неврузян Седа Агвановна

Рейтинг: 5
Отзывов: 2
Положительных: 2
Отрицательных: 0
Последний: 1874 дн. назад
5.0
Почему нашим отзывам можно доверять?
1 апреля 2021 г.
1 2 3 4 5
На протяжении нескольких лет регулярно хожу на проф.гигиену к Неврузян Седе Агвановне. Никаких нареканий ни разу не возникало, процедура всегда проходит профессионально, безболезненно и в приятной обстановке. Всё аккуратно, чисто и уютно. Отличный врач-гигиенист, смело могу рекомендовать людям, которые хотят себе белоснежную улыбку и здоровые зубы.
28 марта 2021 г.
1 2 3 4 5
Хочу выразить огоромную благодарность коллективу стоматологии Дмитрович и коллеги. Прекрасному Специалисту с большой буквы Дмитровичу Дмитрию Алесандровичу,длинный путь я сним прошла(ещё в пути) чего только восьмёрки стоят(зубы мудрости) но удаление прошло успешно (я трусиха) но с ним не страшно, теперь только Вас буду всем рекомендовать! Теперь мы продолжаем работу с не менее грамотным специалистом стоматолог ортопед Авсеенко Сергей Михайлович, приятный в общении все подробно объяснит.Дмитрович Виктория Николаевна стоматолог пародонтолог всегда готова принять,несмотря на плотный график, Неврузян Седа Авгановна- стоматолог гигиенист без неё никак. Отдельно хочу поблагодарить Софью Борисовну Пеер врач-стоматолог ортодонт все началось с неё. Пришла на консультацию ,а ушла с брекетами, настолько приятна в общении ,что после приёма хочется ещё немного посидеть в кресле. Никогда не думала ,что буду ходить с удовольствием в стоматологию.Но моя эпопея подходит к концу и я уже немного скучаю.Желаю вам процветания и эффективности труда, развития и огромных успехов, трудоспособности и роста прибыли! Пусть не будет проблем и неурядиц в Вашей работе, не будет препятствий и трудностей! Всегда будьте на высоте и с легкостью обходите всех конкурентов! Мы с вами!
    Помогите другим сделать правильный выбор — оставьте свой отзыв о докторе
    Написать отзыв

    Услуги стоматолога в других клиниках

    Эстетическая стоматология
    Установка виниров от 29 000 ₽ до 80 000 ₽
    Установка скайсов от 1 500 ₽ до 12 000 ₽
    Еще услуги