Стоматолог Якушина Екатерина Сергеевна — цены, отзывы, стаж — Принимает в Москве

Якушина Екатерина Сергеевна

Якушина Екатерина Сергеевна - фотография
стоматолог-ортодонт
Стаж 19 лет
Якушина Екатерина Сергеевна принимает в «Стоматологическая клиника ОДИ» в Одинцово. Стаж 19 лет. Специализируется на ортодонтии, по которой клиника оказывает 8 услуг. Имеет 4 работы до/после в портфолио. Квалификация специалиста подтверждена 12 лицензиями, сертификатами и наградами. Также 32top представляет форму онлайн расписания, через которую можно записаться к специалисту на свободную дату и время.

Где принимает:

Опыт 19 лет
4 работы в портфолио
12 сертификатов

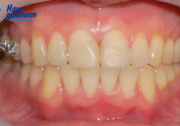
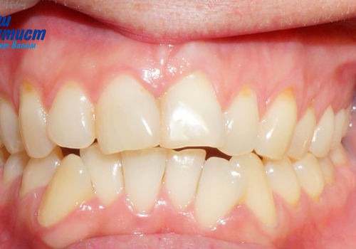
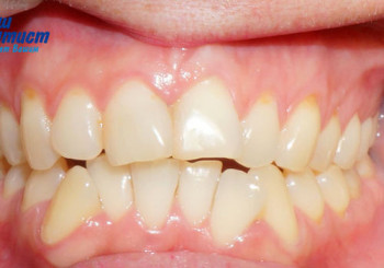
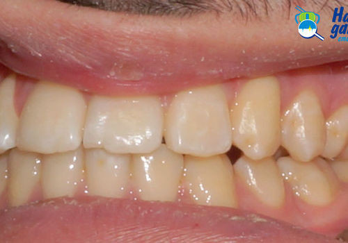
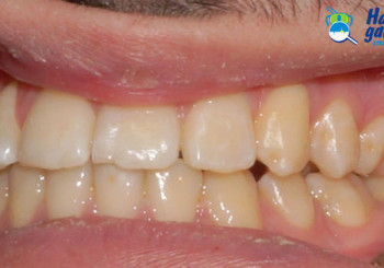
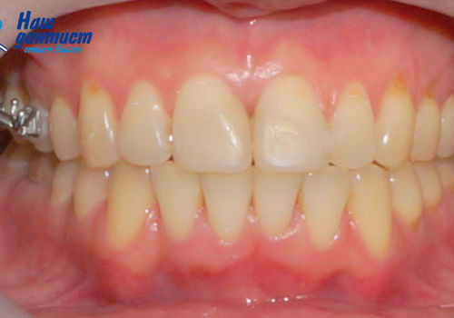
Якушина Екатерина Сергеевна: портфолио (4)

    Помогите другим сделать правильный выбор — оставьте свой отзыв о докторе
    Написать отзыв

    Услуги стоматолога в других клиниках

    Диагностика
    Консультация ортодонта от 1 ₽ до 5 200 ₽
    Ортодонтия
    Виды брекетов по материалу
    Установка металлических брекетов
    от 10 000 ₽ до 325 000 ₽
    Еще услуги