Стоматолог Самошкина Наталья Олеговна — цены, отзывы, стаж — Принимает в Москве

Самошкина Наталья Олеговна

Самошкина Наталья Олеговна - фотография

5.0
Рейтинг: 5.0
Отзывов: 9
Положительных: 9
Отрицательных: 0
Последний : 161 дн. назад
9 отзывов
стоматолог-ортодонт
Стаж 11 лет
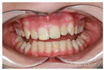
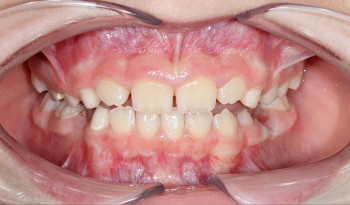
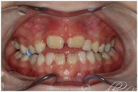
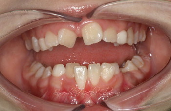
Самошкина Наталья Олеговна принимает в «Стоматологический комплекс ПРЕЗИДЕНТ» в Москве. Стаж 11 лет. Специализируется на ортодонтии. Имеет 11 работ до/после в портфолио. Квалификация специалиста подтверждена 17 лицензиями, сертификатами и наградами.
17 сертификатов
Опыт 11 лет
11 работ в портфолио

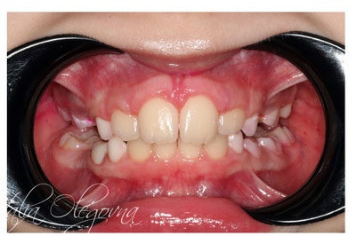
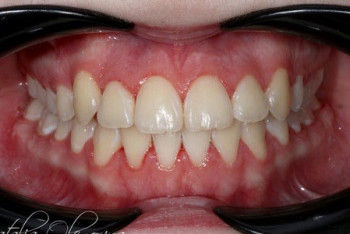
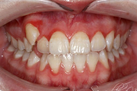
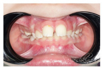
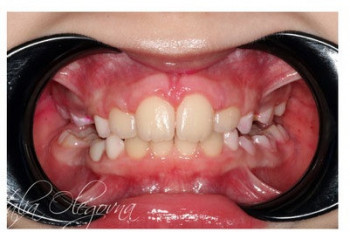
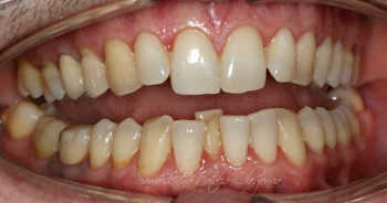
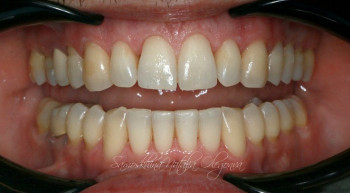
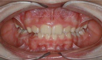
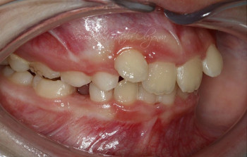
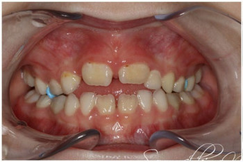
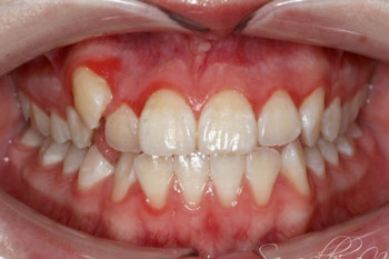
Самошкина Наталья Олеговна: портфолио (11)

Отзывы о враче Самошкина Наталья Олеговна

Рейтинг: 5
Отзывов: 9
Положительных: 9
Отрицательных: 0
Последний: 161 дн. назад
5.0
Почему нашим отзывам можно доверять?
29 ноября 2025 г.
1 2 3 4 5
Являемся постоянными пациентами клиники "ПрезиДент" на Рудневке, 18. Моя дочь наблюдается у Самошкиной Натальи Олеговны. Сегодня были на проф осмотре. Доктор очень внимательный и основательный. Планируем ортодонтическое лечение. Настоятельно рекомендуем всем доктора и клинику.
4 октября 2025 г.
1 2 3 4 5
Все прошло хорошо, учитывая, что дочь очень негативно относится к докторам. Доктор нашла подход к ребенку. Врач - профессионал своего дела. Нам поставили пластинку.
31 июля 2025 г.
1 2 3 4 5
После коррекции уздечки языка и верхней губы, нужна была консультация ортодонта. Обратились к Наталье Олеговне. Все детально осмотрев, доктор все доступно объяснила и расписала план лечения. Очень внимательна и доброжелательна. Все объяснения доступным языком. Ребенок ходит с удовольствием. Очень рекомендую. Мы и дальше будем обращаться к данному специалисту.
Добрый день! Спасибо за отзыв. Для нас очень важно получать обратную связь, это помогает улучшать работу клиники. Рады, что Ваш ребенок с удовольствием посетил нашего стоматолога-ортодонта. С удовольствием передадим Ваше мнение Самошкиной Наталье Олеговне. Берегите себя и будьте здоровы. С уважением, администрация стоматологии "ПрезиДЕНТ" Лухмановская.
22 мая 2025 г.
1 2 3 4 5
Обратились на консультацию к ортодонту Самошкиной Наталье Олеговне в стоматология Президент га Лухмановской по поводу ортодонтической пластинки, так как у ребёнка неправильный прикус. Дальнейшего лечение будем проходить у данного доктора
31 марта 2025 г.
1 2 3 4 5
Обратился в клинику за корректировкой прикуса, сомневался между способами корректировки. Доктор очень понятно рассказала о видах и методах лечения, выбрал лечение эллайнерами. Доволен результатов, советую специалиста.
23 января 2025 г.
1 2 3 4 5
Наблюдаюсь у врача давно, очень внимательная, добрая, отзывчивая, профессионал своего дела. Обратилась к Наталье Олеговна после неудачного лечения в другой клинике. Доктор поставила ретейнеры, результат уже виден. Буду ее всем рекомендовать.
Большое спасибо за ваши добрые слова! Мы искренне рады слышать, что вы остались довольны нашими специалистами и атмосферой в клинике. Ваша удовлетворенность и счастливая улыбка — это наша основная цель. Мы прилагаем все усилия, чтобы обеспечить качественное обслуживание и создать комфортные условия для наших пациентов. Ваш отзыв вдохновляет нас продолжать работать на высоком уровне. С уважением, администрация стоматологии "ПрезиДЕНТ" на Лухмановской
28 ноября 2024 г.
1 2 3 4 5
Замечательный специалист. Всегда очень внимательна, рассказывает о всех этапах лечения, возможных проблемах и способах их устранения
Здравствуйте! Спасибо вам за отзыв! Мы очень рады слышать, что вы остались довольны нашим сервисом и профессионализмом врачей. Наша команда всегда стремится к тому, чтобы каждый пациент чувствовал себя комфортно и получал качественную помощь. С уважением, администрация стоматологии "ПрезиДЕНТ" на Лухмановской
23 ноября 2024 г.
1 2 3 4 5
Обратилась в клинику Президент на Лухмановской. Записались к доктору из-за маленькой челюсти у сына. Наталья Олеговна очень внимательный и грамотный доктор, только ей доверяю своих детей. Теперь сын ходит с большим удовольствием и не боится стоматологов. Доктор очень подробно ответила на все вопросы, дала рекомендации. Обязательно будем обращаться к Наталье Олеговне! Так де в клинике доброжелательный персонал, прием прошел вовремя без ожидания. В Президенте очень уютно и чисто. Всем рекомендую данную клинику.
Добрый день! От лица коллектива нашей клиники благодарим Вас за внимательное отношение к нашему труду. Нашим врачам будет приятно прочесть Ваши теплые слова. Вы всегда можете обратиться к нам, мы будем рады помочь. Желаем Вам крепкого здоровья. С уважением, администрация стоматологии "ПрезиДЕНТ" на Лухмановской3
12 октября 2024 г.
1 2 3 4 5
Обратился по поводу корректировки прикуса, выбор был сделан в пользу клиники Президент, на Рудневка 18. Консультировала меня Самошкина Наталья Олеговна, выбрали способ лечения Эллайнерами. Могу сказать, что доктор знает свое дело. Качественно провели консультацию и установку системы. Спасибо
Добрый день! Спасибо за Ваше мнение и высокую оценку клиники. Мы рады, что Вам нравится в нашей стоматологии! С удовольствием передадим Ваши слова Наталье Олеговне. Будем рады видеть Вас снова на плановом приеме! С уважением, администрация стоматологии "ПрезиДЕНТ" Лухмановская.
    Помогите другим сделать правильный выбор — оставьте свой отзыв о докторе
    Написать отзыв

    Услуги стоматолога в других клиниках

    Ортодонтия
    Установка брекетов от 10 000 ₽ до 400 000 ₽
    Снятие брекетов от 530 ₽ до 42 000 ₽
    Еще услуги