Стоматолог Гаджиев Саид Курбанович — цены, отзывы, стаж — Принимает в Москве

Гаджиев Саид Курбанович

Гаджиев Саид Курбанович - фотография

5.0
Рейтинг: 5.0
Отзывов: 15
Положительных: 15
Отрицательных: 0
Последний : 483 дн. назад
15 отзывов
стоматолог-терапевт
стоматолог-гигиенист
Стаж 11 лет
Гаджиев Саид Курбанович принимает в «Стоматологический комплекс ПРЕЗИДЕНТ» в Москве. Стаж 11 лет. Специализируется на терапии и гигиене полости рта, по которым клиника оказывает 10 услуг. Квалификация специалиста подтверждена 18 лицензиями, сертификатами и наградами, а опыт 15 отзывами пациентов, из которых 15 положительные. Также 32top представляет форму онлайн расписания, через которую можно записаться к специалисту на свободную дату и время.

Где принимает:

Опыт 11 лет
1 работа в портфолио
18 сертификатов

О стоматологе

Занимается диагностикой и лечением таких заболеваний зубов, как: дефекты твердых тканей, кариес, периодонтит, пульпит и др.

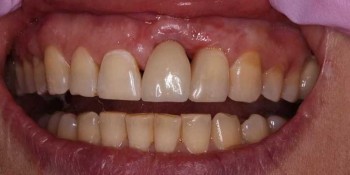
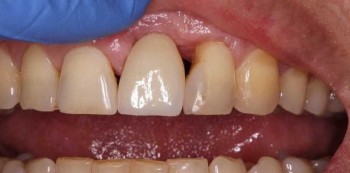
Гаджиев Саид Курбанович: портфолио (1)

Отзывы о враче Гаджиев Саид Курбанович

Рейтинг: 5
Отзывов: 15
Положительных: 15
Отрицательных: 0
Последний: 483 дн. назад
5.0
Почему нашим отзывам можно доверять?
10 января 2025 г.
1 2 3 4 5
В клинике чисто и аккуратно, без лишнего пафоса, хотя на рецепшн может немного тесновато, но в кабинетах все ОК. Персонал доброжелательный, лишних услуг не навязывают, во время записи озвучили ориентировочную стоимость, так и оказалось, за рамки не вышли. Про ценовую политику точно сказать не готов, т.к. точно не знаю цен в других клиниках, но по некоторым признакам мне показалось, что стоимость услуг в ADC пониже средних цен по рынку, что, конечно, порадовало меня. В полном восторге от работы врача Саида Курбановича Гаджиева - очень доброжелательный и в профессионал высшей пробы. Мне делали гигиену полости рта, до этого лет 10 минимум никак не мог заставить себя посетить врача-гигиениста. Оказалось абсолютно безболезненно, хотя случай у меня запущенный, камней наросло предостаточно и налет тоже был сильный, но доктор Гаджиев все сделал аккуратно и очень качественно. После окончания процедуры дал много дельных советов по уходу за полостью рта. Резюмируя, скажу откровенно - если я раньше не мог более 10 лет заставить себя посетить стоматолога, то теперь обязательно буду делать эту процедуру оди-два раза в год, по возможности у этого врача и в этой клинике.
Здравствуйте! Большое спасибо за ваш подробный и положительный отзыв! Нам очень приятно слышать, что вы остались довольны посещением нашей клиники и работой врача Саида Курбановича Гаджиева. Мы стараемся поддерживать чистоту и комфорт в наших помещениях, и ваше замечание о тесноте на рецепции учтем для улучшения сервиса. Радует, что вы оценили доброжелательность нашего персонала и прозрачность в ценовой политике. Мы всегда стремимся предоставлять качественные услуги по разумным ценам. Особенно приятно знать, что процедура гигиены прошла для вас безболезненно, и вы получили полезные советы по уходу за полостью рта. Ваше желание возвращаться к нам снова вдохновляет нашу команду продолжать работать на высоком уровне. Если у вас возникнут дополнительные вопросы или пожелания, не стесняйтесь обращаться. Мы всегда рады помочь!
29 июня 2024 г.
1 2 3 4 5
Саид Курбанович, я уже неоднократно выражала вам признательность и хочу сделать это снова, быть может, даже выкрикнуть здесь. Большое спасибо! Моя улыбка всегда радует мужские сердца. Как вам удалось это достичь - для меня по-прежнему загадка. Моя безупречная улыбка абсолютно перевернула мою жизнь. Из-за вас я получила так много комплиментов, вы сделали меня чрезвычайно счастливой. Показалось бы, что может быть лучше, но вы действительно чудодей. Я ваша навсегда.
Здравствуйте! Большое спасибо за ваши тёплые слова! Мне невероятно приятно слышать, что моя работа помогла вам обрести уверенность и радость в жизни. Ваша улыбка — это результат нашего совместного труда, и я горжусь тем, что смог внести свой вклад в ваше счастье. Ваши комплименты вдохновляют меня продолжать делать то, что я люблю. Я всегда здесь для вас и готов помочь в будущем. Спасибо за доверие и поддержку!
7 апреля 2024 г.
1 2 3 4 5
С детства боюсь стоматологов и обычно тяну до последнего. Но Саид Курбанович на приеме сумел найти индивидуальный подход и уменьшить волнение. Во время приема он рассказывал что делает, спрашивал про состояние, успокаивал, за что врачу огромное человеческое спасибо. Перед лечением кариеса сделали анестезию. Прошло все почти безболезненно. Оказалось, что с современным оборудованием и технологиями лечение совсем не такое страшное, как раньше. А фотополимерная пломба совсем не заметна на зубе, т.к. врач подобрал оттенок близкий к натуральному цвету зубов. Уже записалась на следующий прием. На приеме я была в клинике ADC и хочу отметить вежливость и доброжелательность персонала. Цены на лечение в клинике средние по городу.
Благодарим вас за ваш отзыв! Мы рады, что наш врач Саид Курбанович смог помочь вам преодолеть страх перед посещением стоматолога и создать комфортные условия для лечения. Мы всегда стараемся обеспечить индивидуальный подход к каждому пациенту и делаем все возможное, чтобы уменьшить волнение и сделать процедуру максимально комфортной. Мы рады, что вам понравилось лечение с использованием современного оборудования и технологий. Действительно, современная стоматология предлагает множество инновационных методов, которые делают процедуры менее страшными и болезненными. Мы рады, что вы оценили качество лечения и незаметность фотополимерной пломбы, которую подобрал врач. Мы также благодарим за отзыв о клинике ADC и нашем персонале. Мы ценим ваше доверие и готовы помочь вам в любое время. Мы ждем вас на следующем приеме и будем рады видеть вас снова! Если у вас возникнут какие-либо вопросы или пожелания, не стесняйтесь обращаться к нам. Благодарим за вашу доброжелательность и приятные слова!
5 апреля 2024 г.
1 2 3 4 5
В клинику ADC я пришла по отзывам знакомых. Нисколько не пожалела, что обратилась именно сюда. Клиника светлая и приятная, вежливый персонал. На приеме я была у Гаджиева Саида Курбановича. Доктор внимательный, работает быстро и профессионально, в кресле находиться одно удовольствие! Сделал процедуру качественно, без боли. Была приятно удивлена насколько продвинулись современные технологии! Всё продумано до мелочей. Уже во время процедуры чувствуешь, как эффективно очищается поверхность зубов. После процедуры ощущается свежесть, зубы гладкие и заметно посветлевшие - хочется улыбаться всем и всюду. Честно говоря, я в восторге от этой процедуры и работы Саида Курбановича. Хочу выразить благодарность клинике ADС и ее врачам за доброе, внимательное отношение к своим пациентам.
Благодарим вас за ваш отзыв! Мы рады, что ваше посещение клиники ADC оставило у вас такие приятные впечатления. Мы всегда стремимся к тому, чтобы наши пациенты чувствовали себя комфортно и получали качественное лечение. Мы рады, что вы оценили светлую и приятную атмосферу клиники, а также вежливый персонал. Мы всегда стараемся создать уютную обстановку для наших пациентов и обеспечить высокий уровень сервиса. Отдельное спасибо за ваш отзыв о враче Гаджиеве Саиде Курбановиче. Мы рады, что вы остались довольны его профессионализмом, внимательностью и качеством работы. Мы передадим ему ваши слова благодарности. Мы рады, что процедура прошла для вас без боли и с таким комфортом. Мы всегда следим за новейшими технологиями и стараемся предложить нашим пациентам только лучшее. Мы рады, что вы ощутили эффективность процедуры и получили отличный результат. Спасибо за вашу благодарность и приятные слова о нашей клинике и врачах. Мы всегда рады помочь и поддержать наших пациентов. Надеемся на дальнейшее сотрудничество и ждем вас снова в ADC! Если у вас возникнут какие-либо вопросы или пожелания, не стесняйтесь обращаться к нам. Благодарим за вашу доверие и хорошее настроение!
29 марта 2024 г.
1 2 3 4 5
Я топ менеджер и моя улыбка говорит о многом. Белоснежные зубы всегда привлекают, правда после отбеливания всегда увеличивается чувствительность зубов. В адс клинике посоветовали щадящую чистку. Я решила попробовать. Подождав своей очереди минут совсем недолго, врач посадил меня в кресло. Понравилось, что успокоил, что проверил качество десен перед процедурой. Одев специальный расширитель в рот, доктор приступил к отбеливанию. Заняло в районе 40 минут. Скажу так, десна все-равно немного болели, но мои белоснежные зубы затмевали всю боль. Рекомендовали повторять такую процедуру раз в полгода. Посмотрю на сколько хватит. Благодарна клинике и конечно же Саиду Rурбановичу, что вернули уверенность в себе.
Благодарим вас за ваш отзыв и доверие! Мы рады, что вы остались довольны результатом отбеливания зубов в нашей клинике. Ваша улыбка действительно говорит о многом, и мы рады, что смогли помочь вам вернуть уверенность в себе. Мы всегда стараемся предоставлять нашим пациентам щадящие и качественные процедуры, поэтому мы рады, что вам понравилась чистка зубов и отбеливание. Понимаем, что увеличение чувствительности зубов может быть неприятным побочным эффектом, но рады, что белоснежный результат оправдал все ожидания. Мы ценим ваше доверие к нашей клинике и врачу Саиду Курбановичу. Мы всегда стараемся обеспечить наших пациентов профессиональным и заботливым уходом. Рекомендация повторять процедуру раз в полгода поможет вам поддерживать результат отбеливания на высоком уровне. Если у вас возникнут какие-либо вопросы или пожелания, не стесняйтесь обращаться к нам. Мы всегда готовы помочь вам с вашей улыбкой и обеспечить вас лучшими стоматологическими услугами. Благодарим за ваш отзыв и надеемся увидеть вас снова в нашей клинике!
28 марта 2024 г.
1 2 3 4 5
Был переезд в Химки. Походила там на консультации в стоматологии и поняла, что ради профессионального врача можно потратить пару часов на дорогу! Поэтому Саид Курбанович я опять выбираю вас! Спасибо за ювелирную перепломбировку. Как всегда спасли мой зуб и качественно и красиво все сделали! Врача рекомендую!!! Ради него можно выдержать все пробки!!))
Добрый день! Мы рады, что вы цените профессионализм и качество работы нашего врача Саида Курбановича. Мы всегда стараемся предоставлять нашим пациентам только лучшие стоматологические услуги, и ваше доверие для нас очень важно. Мы рады, что перепломбировка зуба прошла успешно и вы остались довольны результатом. Ваш отзыв о враче Саиде Курбановиче очень важен для нас и мы передадим ему ваши слова благодарности. Мы понимаем, что иногда приходится тратить время на дорогу ради качественного медицинского обслуживания, и мы ценим ваше решение вернуться к нам. Мы всегда будем рады видеть вас в нашей клинике и готовы предоставить вам лучший уход и лечение. Спасибо за вашу рекомендацию и доверие! Мы надеемся, что ваш зуб будет служить вам долгие годы без проблем. Если у вас возникнут какие-либо вопросы или пожелания, не стесняйтесь обращаться к нам. Благодарим за ваш отзыв и ждем вас снова в нашей клинике!
26 марта 2024 г.
1 2 3 4 5
В стоматологию АДС ходим всей семьей ! Но хочу отдельно поблагодарить Саида Курбановича за ювелирную работу. Так удачно и красиво восстановили передний зубик. Идеально попали в цвет. Я переживала, что от зуба после снятия старой пломбы ничего не останется, но удалось его спасти и так красиво сделать ! Спасибо!
Добрый день! Мы рады, что вы и ваша семья выбрали стоматологию АDС для своего лечения. Отдельное спасибо за теплые слова в адрес нашего врача Саида Курбановича. Мы передадим ему вашу благодарность за ювелирную работу и профессионализм. Мы всегда стремимся к тому, чтобы результаты нашей работы были не только функциональными, но и красивыми. Мы понимаем, что восстановление переднего зуба имеет особое значение для внешнего вида и уверенности в себе, поэтому мы рады, что удалось сохранить ваш зуб и вернуть ему естественный вид. Важно, чтобы пациенты чувствовали себя довольными и уверенными после лечения. Если у вас возникнут еще какие-либо вопросы или потребуется дополнительная помощь, не стесняйтесь обращаться к нам. Мы всегда готовы помочь вам с любыми стоматологическими потребностями. Еще раз спасибо за ваш отзыв и за то, что доверяете нам заботу о вашем здоровье!
23 марта 2024 г.
1 2 3 4 5
Времена золотых коронок. Я конечно не миллионер, но и с моей пенсией могу порадовать себя зубами. Отстал я от жизни, хорошо добрые люди подсказали. Саид Курбанович зуб нарастил, если это можно так назвать, быстро. Даже время осталось анекдот рассказать мне. По времени вся процедура заняла чуть меньше двух часов. ощущения конечно не из приятных. Но результат того стоил. В дальнейшем еще предстоит много работы и с другими зубами, но я скажу так. Предпочитаю работать с одним доктором, который сделал меня снова молодым и зубастым. Саид Курбанович, это я к Вам обращаюсь. Спасибо. И обязательно встретимся.
23 марта 2024 г.
1 2 3 4 5
Спасибо Саиду Курбановичу за лечение моего запустившего мной зуба. К врачам ходить некогда, работа, да и денег жалко на себя. Когда боль усилилась, вынуждена была срочно записываться к врачу. В моей ситуации не выбирала долго. В ближайших клиниках мест не было. Пришлось смотреть дальше. В итоге выбрала клинику АДС. Посмотрела отзывы и решила довериться. Хотя предпочитаю проверять все сама. Процедура заняла где-то 1,5 или 2 часа. Больной была анестезия, но без нее никуда. В моем рту врач тщательно все делал, как я поняла на следующий день. Просто получила облегчение. После процедуры прописал антибиотик. Пропила пару дней. Саид Курбанович буквально спас мой зуб. А еще порадовала цена. Я была уверена, что выйдет гораздо дороже. Спасибо, что не взяли лишнего
Благодарим вас за ваш отзыв и доверие к нашей клинике! Мы рады, что ваше лечение прошло успешно и вы остались довольны результатом. Мы понимаем, что иногда бывает сложно найти время и ресурсы на лечение зубов, но мы рады, что вы обратились к нам вовремя. Мы всегда стараемся предоставить качественное лечение и заботу каждому пациенту. Мы благодарим вас за выбор нашей клиники и доверие к нашему врачу Саиду Курбановичу. Мы передадим ему ваши слова и высокую оценку его работы. Мы рады, что процедура принесла вам облегчение, и вы оценили профессионализм и заботу нашего врача. Мы всегда стремимся предложить доступное и качественное лечение, поэтому рады, что цена на процедуру вас порадовала. Мы ценим ваш отзыв и готовы помочь вам в любое время. Если у вас возникнут вопросы или потребуется дополнительная помощь, не стесняйтесь обращаться к нам. Желаем вам скорейшего выздоровления и крепкого здоровья. Спасибо еще раз за ваш отзыв!
13 марта 2024 г.
1 2 3 4 5
Я регулярно лечусь в клинике АДС, нравится что клиника недалеко от центра и легко добиратся. Тут всегда очень чисто и приятно, добрый и приветливый персонал. В последний раз я обращался в клинику в феврале за восстановлением разрушенного зуба. Мой доктор Гаджиев Саид Курбанович сделал всё аккуратно и мне было совсем не больно. После лечения дал рекомендации как ухаживать за зубами. В клинике гарантия на лечение. Цены ниже чем в большинстве других клиник. Ещё раз большое спасибо доктору и персоналу клиники, советую всем!
Здравствуйте! Мы рады, что вы остались довольны качеством нашего обслуживания и лечения. Мы всегда стремимся создать комфортную и чистую обстановку для наших пациентов, поэтому приятно слышать, что вам понравилось у нас. Мы также ценим ваш отзыв о добром и приветливом персонале – это один из наших главных приоритетов. Мы рады, что доктор Гаджиев провел лечение аккуратно и безболезненно для вас. Важно, чтобы после процедуры пациент чувствовал себя комфортно и получил необходимые рекомендации по уходу за зубами. Мы также рады, что вы оценили нашу гарантию на лечение и доступные цены. Благодарим вас за рекомендацию нашей клиники другим пациентам. Ваше доверие и удовлетворение – для нас важны. Если у вас возникнут еще какие-либо вопросы или потребуется помощь, не стесняйтесь обращаться к нам. Мы всегда готовы помочь. Еще раз спасибо за ваш отзыв и за то, что выбрали нашу клинику для вашего лечения. Желаем вам крепкого здоровья и улыбающейся улыбки!
    Помогите другим сделать правильный выбор — оставьте свой отзыв о докторе
    Написать отзыв

    Услуги стоматолога в других клиниках

    Терапевтическая стоматология
    Лечение кариеса от 3 500 ₽ до 14 500 ₽
    Лечение пульпита от 5 000 ₽ до 35 000 ₽
    Еще услуги
    Эстетическая стоматология
    Установка виниров от 29 000 ₽ до 82 600 ₽
    Установка скайсов от 1 500 ₽ до 12 000 ₽
    Еще услуги