Стоматолог Гурьялов Мурад Низамуттинович — цены, отзывы, стаж — Принимает в Москве

Гурьялов Мурад Низамуттинович

Гурьялов Мурад Низамуттинович - фотография

5.0
Рейтинг: 5.0
Отзывов: 2
Положительных: 2
Отрицательных: 0
Последний : 30 дн. назад
2 отзыва
стоматолог-ортопед
Стаж 12 лет
врач первой категории
Гурьялов Мурад Низамуттинович принимает в «Стоматологический комплекс П-ДЕНТ» в Москве. Врач первой категории, стаж 12 лет. Специализируется на ортопедии, по которой клиника оказывает 17 услуг. Квалификация специалиста подтверждена 19 лицензиями, сертификатами и наградами. Для уточнения дополнительной информации о специалисте или записи на прием можно позвонить по телефону
+7 (495)Показать телефон
.

Где принимает:

19 сертификатов
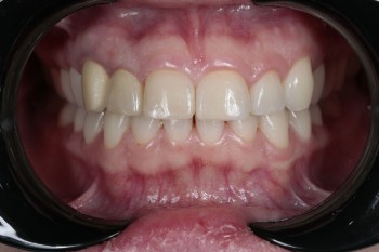
1 работа в портфолио
Врач первой категории
Опыт 12 лет

Гурьялов Мурад Низамуттинович: портфолио (1)

Отзывы о враче Гурьялов Мурад Низамуттинович

Рейтинг: 5
Отзывов: 2
Положительных: 2
Отрицательных: 0
Последний: 30 дн. назад
5.0
Почему нашим отзывам можно доверять?
8 апреля 2026 г.
1 2 3 4 5
Хочу выразить огромную благодарность всему коллективу клиники П-Дент в Новогиреево за отличную работу и заботу о пациентах. Рекомендую данную клинику. Особая благодарность врачам Тома Я.А. и Гурьялову М.Н. за профессиональный подход при лечении. Прекрасные специалисты. Рекомендую.
20 июня 2024 г.
1 2 3 4 5
Обратившись в клинику, я познакомилась с доктором Гурьяловым Мурадом Низамутдиновичем, который порекомендовал мне процедуру восстановления зубов с использованием виниров. Процесс начался с тщательной консультации, где доктор внимательно выслушал мои пожелания и объяснил, как виниры могут улучшить эстетику моей улыбки. После этого была взята точная форма моих зубов с помощью 3Д сканера, чтобы изготовить персонализированные виниры. По прошествии нескольких дней я вернулась в клинику для установки виниров. Процедура была абсолютно безболезненной и заняла всего несколько часов. Когда я увидела результат, я была поражена. Все как в кино - мои зубы выглядели естественно, белоснежно и абсолютно безупречно. Выражаю огромную, благодарность, за проделанную работу!
Большое спасибо за высокую оценку нашей работы! Мы будем и дальше стараться сделать все возможное для комфорта наших пациентов. Желаем Вам крепкого здоровья и благополучия! С уважением, администрация стоматологии "ПрезиДЕНТ" в Новогиреево
    Помогите другим сделать правильный выбор — оставьте свой отзыв о докторе
    Написать отзыв

    Услуги стоматолога в других клиниках

    Эстетическая стоматология
    Установка виниров от 29 000 ₽ до 82 600 ₽
    Установка скайсов от 1 500 ₽ до 12 000 ₽
    Еще услуги