Стоматолог Жолудева Галина Григорьевна — цены, отзывы, стаж — Принимает в Москве

Жолудева Галина Григорьевна

Жолудева Галина Григорьевна - фотография

5.0
Рейтинг: 5.0
Отзывов: 4
Положительных: 4
Отрицательных: 0
Последний : 50 дн. назад
4 отзыва
стоматолог-ортодонт
Стаж 41 год
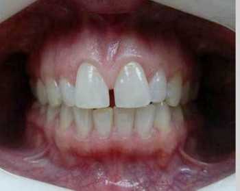
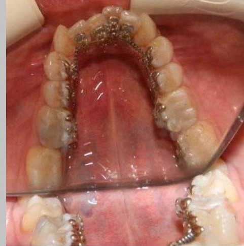
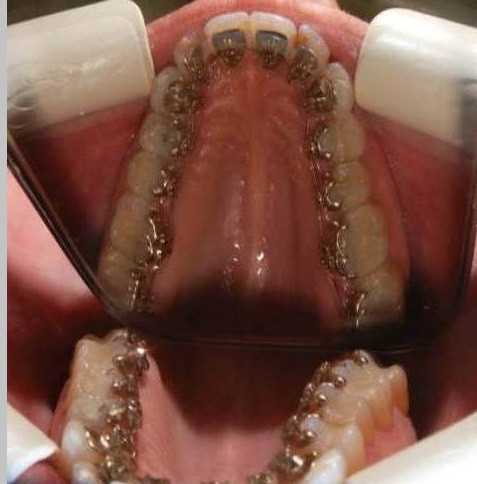
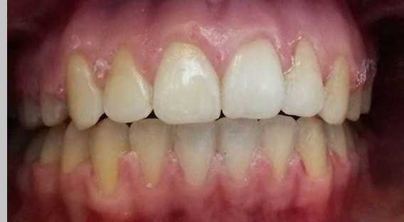
Жолудева Галина Григорьевна принимает в «Центр Стоматологии ОН КЛИНИК» в Москве. Стаж 41 год. Специализируется на ортодонтии, по которой клиника оказывает 13 услуг. Имеет 7 работ до/после в портфолио. Квалификация специалиста подтверждена 18 лицензиями, сертификатами и наградами. Для уточнения дополнительной информации о специалисте или записи на прием можно позвонить по телефону
+7 (495)Показать телефон
. Занимает 7 место в рейтинге стоматологов-ортодонтов 32top в вашем городе. Также 32top представляет форму онлайн расписания, через которую можно записаться к специалисту на свободную дату и время.

Где принимает:

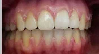
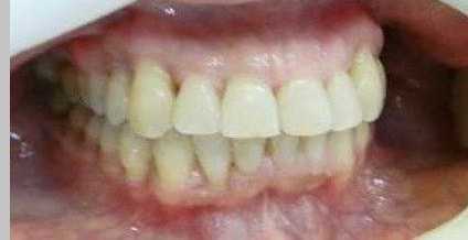
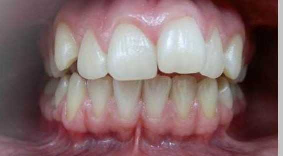
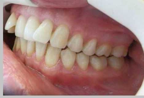
7 работ в портфолио
Опыт 41 год
18 сертификатов

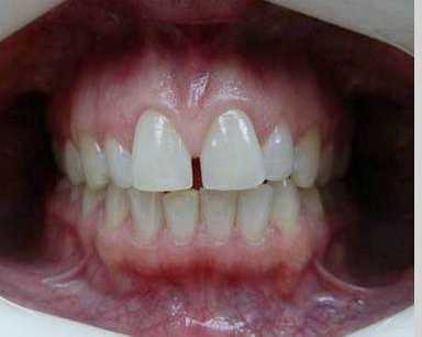
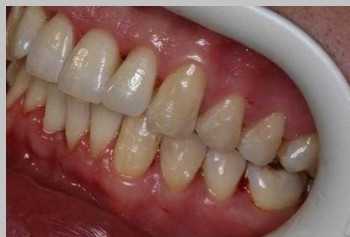
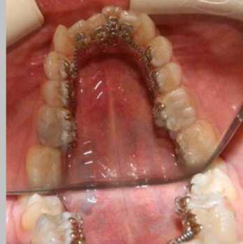
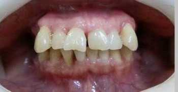
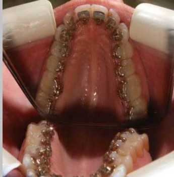
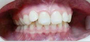
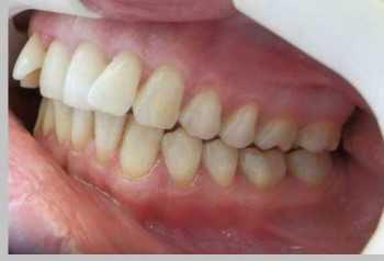
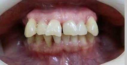
Жолудева Галина Григорьевна: портфолио (7)

Отзывы о враче Жолудева Галина Григорьевна

Рейтинг: 5
Отзывов: 4
Положительных: 4
Отрицательных: 0
Последний: 50 дн. назад
5.0
Почему нашим отзывам можно доверять?
18 марта 2026 г.
1 2 3 4 5
Мы с дочкой лечимся у Галины Григорьевны Ж. Замечательный врач - очень грамотная и отзывчивая. Всегда внимательная, на все вопросы отвечает и предлагает разные варианты лечения.
Здравствуйте! Спасибо Вам за отзыв и доверие! Мы рады, что Вы и Ваша дочь довольны лечением у нашего стоматолога! Для нас самое ценное - положительные эмоции пациентов! Всегда будем рады Вам и готовы помочь. С наилучшими пожеланиями, стоматология Президент на Ярославском ш.
После приема Пациент записывался в клинику через 32top. После приёма мы позвонили ему и получили отзыв.
22 февраля 2022 г.
1 2 3 4 5
Более пяти лет посещаю эту клинику. Всем довольна. А сейчас у меня здесь лечит зубы еще и дочка. В клинике чисто, прекрасные администраторы помогут с записью. У меня здесь открыт семейный счет, тоже никогда никаких проблем не возникало. Наш семейный врач Баженова, великолепно выполняет свою работу. Все пломбы стоят очень надежно. Елена Юрьевна отличный врач. Так же была на приеме Жолудевой Галины, возникла небольшая проблема с брекетами. Результатом довольна. Надеюсь увидеть в клинике побольше различных акций.
Добрый день! Благодарим Вас за отзыв и высокую оценку нашей клинике! Елена Юрьевна Баженова, главный врач нашей клинике и настоящий профессионал своего дела. У доктора очень много пациентов по рекомендации, которые лечатся семьями. Мы очень рады, что являемся для Вашей семьи, надежной клиникой! Акции главный врач, разрабатывает ежемесячно, все размещается на сайте клинике и в социальных сетях. Спасибо Вам за доверие! С наилучшими пожеланиями, стоматология Президент на Ярославском ш.
После приема Пациент записывался в клинику через 32top. После приёма мы позвонили ему и получили отзыв.
27 января 2022 г.
1 2 3 4 5
Достаточно долгое время посещаю клинику. Все нравится. Прекрасные администраторы на ресепшене вежливы, встречают с улыбкой. Обстановка очень теплая, приходишь как к себе домой. Обслуживание по высоким, современным стандартам. В клинике отличное качество работы предоставляемое ее специалистами. В условиях пандемии соблюдение всех санитарных требований. Лечение кариеса и чистку проходила у Исмаиловой Каничи Магомедовны. Отличный результат. У Жолудевой Галины Георгиевны тоже была на чистке и консультации. На мой взгляд прекрасная стоматология.
Здравствуйте! Благодарим Вас за такие теплые слова! Мы стремимся быть лучшими во всем и такая обратная связь, нас очень мотивирует! Спасибо, что доверили свое здоровье зубов нашим замечательным врачам! Вы можете на нас положиться! Здоровья Вам и Вашим близким! С наилучшими пожеланиями, стоматология Президент на Ярославском ш.
3 апреля 2021 г.
1 2 3 4 5
Сына водим к ортодонту Галине Григорьевне и она нам очень нравится по общению и по лечению, зубы мягко выпрямляются благодаря самолигирующим брекетам, они не так сильно давят на зубы и более комфортные в носке.
Администрация клиники
17 апреля 2021 г.
Спасибо за отзыв! Мы очень рады, что лечение на брекетах проходит для Вас комфортно и уже заметны первые результаты. Мы уверены, еще немного и у вас будет красивая улыбка!
    Помогите другим сделать правильный выбор — оставьте свой отзыв о докторе
    Написать отзыв

    Услуги стоматолога в других клиниках

    Ортодонтия
    Установка брекетов от 10 000 ₽ до 400 000 ₽
    Снятие брекетов от 530 ₽ до 42 000 ₽
    Еще услуги