Стоматолог Ерпулева Ирина Владимировна — цены, отзывы, стаж — Принимает в Москве

Ерпулева Ирина Владимировна

Ерпулева Ирина Владимировна - фотография

5.0
Рейтинг: 5.0
Отзывов: 6
Положительных: 6
Отрицательных: 0
Последний : 64 дн. назад
6 отзывов
стоматолог-терапевт
Стаж 22 года
врач высшей категории
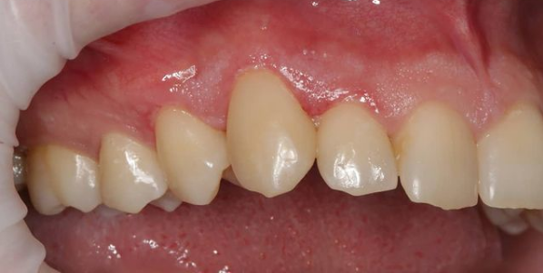
Ерпулева Ирина Владимировна принимает в «Стоматологический комплекс ЛЕГЕНДА» в Москве. Врач высшей категории, стаж 22 года. Специализируется на терапии, по которой клиника оказывает 14 услуг. Имеет 2 работы до/после в портфолио. Квалификация специалиста подтверждена 13 лицензиями, сертификатами и наградами. Для уточнения дополнительной информации о специалисте или записи на прием можно позвонить по телефону
+7 (495)Показать телефон
.

Где принимает:

Опыт 22 года
13 сертификатов
Врач высшей категории
2 работы в портфолио

Отзывы о враче Ерпулева Ирина Владимировна

Рейтинг: 5
Отзывов: 6
Положительных: 6
Отрицательных: 0
Последний: 64 дн. назад
5.0
Почему нашим отзывам можно доверять?
27 февраля 2026 г.
1 2 3 4 5
Ирина Владимировна отличный доктор! Ходим к ней всей семьей и очень довольны. Лечит аккуратно, без боли, анестезия проходит незаметно. Тщательно корректирует пломбы и они не отличимы от самого зуба. Если не делать снимок, то на глаз не найдешь пломбу! Волшебница!
21 февраля 2026 г.
1 2 3 4 5
Была у врача Ирины Владимировны. Очень хороший и доброжелательный врач. Лечение прошло быстро и профессионально.
27 октября 2025 г.
1 2 3 4 5
Хожу в эту клинику с 2017 года и к врачу,ставшему уже семейным-Ерпулевой И.В. Прекрасный специалист, отлично знающая свою работу, делает все по высшему разряду, навека, благодаря ей я перестала бояться стоматологов! Огромная ей благодарность от всей нашей семьи за наши идеальные зубки! Отдельное спасибо за реставрацию моего молочного клыка! И благодарю всех сотрудников клиники за доброе отношение к клиентам и отличный сервис! Эта клиника, которую я советую всем!
6 августа 2025 г.
1 2 3 4 5
Ирину Владимировну посоветовала подруга, она у нее лечится уже много лет. Решила сходить и не прогадала! Очень внимательный доктор, подробно рассказала про все мои зубы, где и что предстоит лечить. Анестезию сделала настолько нежно, что я даже не почувствовала! Теперь ходить буду только к ней.
26 июля 2025 г.
1 2 3 4 5
Лечимся в этом стоматологическом комплексе всей семьей уже не первый год. Всем довольны, менять своих специалистов-профессионалов (Меженцеву Ульяну Андреевну, Ерпулеву Ирину Владимировну, Тельпову Наталью Владимировну) и это комфортное современное пространство с заботливыми доброжелательными девушками-администраторами не планируем
21 июля 2025 г.
1 2 3 4 5
Отличная клиника, лечусь у врача Ерпулевой Ирины Владимировны уже несколько лет, результат от всегда довольно. Сами приемы проходят комфортно, врач всегда реагирует на самочувствие и обеспечивает максимальный комфорт. Качество лечения также отличное
    Помогите другим сделать правильный выбор — оставьте свой отзыв о докторе
    Написать отзыв

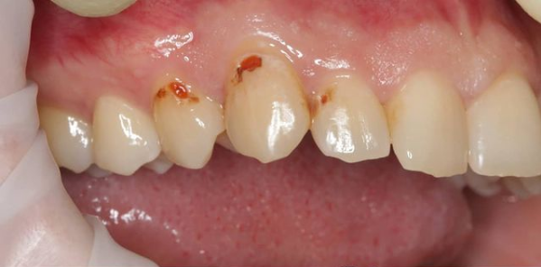
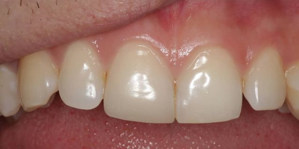
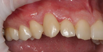
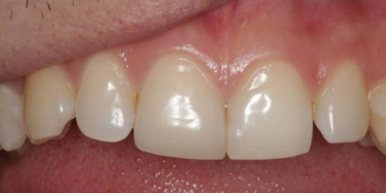
    Ерпулева Ирина Владимировна: портфолио (2)

    Услуги стоматолога в других клиниках

    Терапевтическая стоматология
    Лечение кариеса от 3 500 ₽ до 14 500 ₽
    Лечение пульпита от 5 000 ₽ до 35 000 ₽
    Еще услуги