Стоматолог Сысоева (Бурнашова) Олеся Евгеньевна — цены, отзывы, стаж — Принимает в Москве

Сысоева (Бурнашова) Олеся Евгеньевна

Сысоева (Бурнашова) Олеся Евгеньевна - фотография

5.0
Рейтинг: 5.0
Отзывов: 2
Положительных: 2
Отрицательных: 0
Последний : 1170 дн. назад
2 отзыва
стоматолог-хирург
стоматолог-имплантолог
Стаж 17 лет
главный врач
Сысоева (Бурнашова) Олеся Евгеньевна принимает в «Стоматология МОССМАЙЛ» в Москве. Главный врач, стаж 17 лет. Специализируется на хирургии и имплантологии, по которым клиника оказывает 19 услуг. Имеет 7 работ до/после в портфолио. Квалификация специалиста подтверждена 16 лицензиями, сертификатами и наградами. Для уточнения дополнительной информации о специалисте или записи на прием можно позвонить по телефону
+7 (495)Показать телефон
.

Где принимает:

Главный врач
Опыт 17 лет
7 работ в портфолио
16 сертификатов

Стоматологические ассоциации

  • Член Евразийской ассоциации специалистов в области эстетической стоматологии (2015 г.).
  • Член ICCMO (2019 г.).

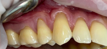
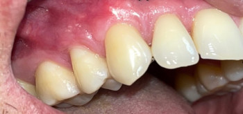
Сысоева (Бурнашова) Олеся Евгеньевна: портфолио (7)

Отзывы о враче Сысоева (Бурнашова) Олеся Евгеньевна

Рейтинг: 5
Отзывов: 2
Положительных: 2
Отрицательных: 0
Последний: 1170 дн. назад
5.0
Почему нашим отзывам можно доверять?
23 февраля 2023 г.
1 2 3 4 5
Замечательный доктор! У меня было сложное удаление зуба с переломом корня и установка импланта. Всё прошло великолепно, безболезненно. Олеся Евгеньевна Сысоева- профессионал своего дела и просто зубная фея, легко и совершенно не заметно для меня провела операцию, подробно рассказала, что делать дальше. Всем рекомендую данного врача.
17 февраля 2023 г.
1 2 3 4 5
Отличный результат!
Делала имплантацию 3 зубов, синусный лифтинг и протезирование коронками ещё на 2 зуба. Впечатление исключительно положительное, Олесю Евгеньевну мне порекомендовала моя ортодонт, и я очень благодарна ей за рекомендацию. От изначального составления плана лечения и до окончательного результата - профессионализм и забота на каждом этапе, Олеся Евгеньевна смогла сделать для меня эти процедуры максимально комфортными, и непосредственно в кресле, и в период восстановления, который прошёл быстро и безболезненно благодаря рекомендациям Олеси Евгеньевны. Все материалы и сами имплантаты - сертифицированные, с паспортом, цены - очень комфортные. Ну и само собой - отличный результат! Очень рекомендую Олесю Евгеньевну, очень благодарна ей лично и остальному персоналу клиники Моссмайл!
    Помогите другим сделать правильный выбор — оставьте свой отзыв о докторе
    Написать отзыв

    Услуги стоматолога в других клиниках

    Хирургическая стоматология
    Удаление зубов от 1 150 ₽ до 25 000 ₽
    Удаление кисты и гранулемы зуба от 600 ₽ до 48 500 ₽
    Еще услуги
    Имплантация
    Установка мини-импланта от 3 000 ₽ до 35 000 ₽
    Коронки на имплантах от 12 000 ₽ до 90 000 ₽
    Еще услуги