Стоматолог Сланова Алина Владимировна — цены, отзывы, стаж — Принимает в Москве

Сланова Алина Владимировна

Сланова Алина Владимировна - фотография
стоматолог-ортодонт
Стаж 22 года
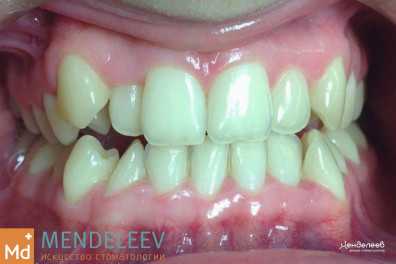
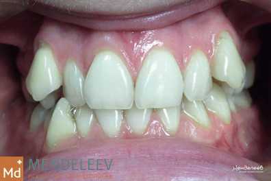
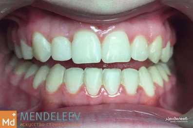
Сланова Алина Владимировна принимает в «Умная стоматология МЕНДЕЛЕЕВ» в Москве. К.м.н., стаж 22 года. Специализируется на ортодонтии, по которой клиника оказывает 6 услуг. Имеет 2 работы до/после в портфолио. Квалификация специалиста подтверждена 25 лицензиями, сертификатами и наградами. Для уточнения дополнительной информации о специалисте или записи на прием можно позвонить по телефону
+7 (495)Показать телефон
.

Где принимает:

2 работы в портфолио
25 сертификатов
Кандидат мед.наук
Опыт 22 года

Сланова Алина Владимировна: портфолио (2)

    Помогите другим сделать правильный выбор — оставьте свой отзыв о докторе
    Написать отзыв

    Услуги стоматолога в других клиниках

    Ортодонтия
    Установка брекетов от 10 000 ₽ до 400 000 ₽
    Снятие брекетов от 530 ₽ до 42 000 ₽
    Еще услуги