Стоматолог Мамедов Алихас Кямилевич — цены, отзывы, стаж — Принимает в Москве

Мамедов Алихас Кямилевич

Мамедов Алихас Кямилевич - фотография
стоматолог-ортодонт
Стаж 9 лет
Мамедов Алихас Кямилевич принимает в «Стоматологический центр ДЕНТС-В» в Москве. Стаж 9 лет. Специализируется на ортодонтии, по которой клиника оказывает 5 услуг. Имеет 4 работы до/после в портфолио. Квалификация специалиста подтверждена 8 лицензиями, сертификатами и наградами. Для уточнения дополнительной информации о специалисте или записи на прием можно позвонить по телефону
+7 (495)Показать телефон
.

Где принимает:

8 сертификатов
4 работы в портфолио
Опыт 9 лет

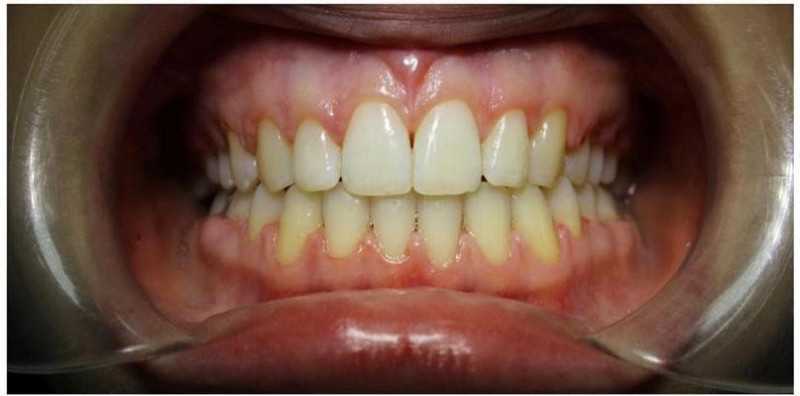
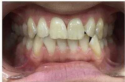
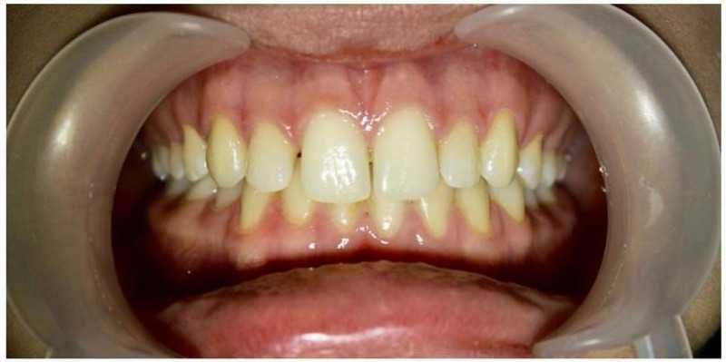
Мамедов Алихас Кямилевич: портфолио (4)

Отзывы о враче Мамедов Алихас Кямилевич

Почему нашим отзывам можно доверять?
10 января 2022 г.
1 2 3 4 5
Обратилась в клинику за советом как лучше исправить прикус в мои 32 года. Алихас Кямилевич сразу сказал - капы! По последнему слову моды и удобству, как говорится, все и сделали. 11 месяцев носила их, меняла все как говорил доктор. Результат: зуб встал на место, и теперь все отлично! Спасибо за вашу поддержку и помощь во всех вопросах.
Здравствуйте! Благодарим Вас за отзыв. Мы очень рады, что Вы достигли желаемого результата и теперь обладаете улыбкой своей мечты! С наилучшими пожеланиями, стоматология Президент на Ярославском ш.
    Помогите другим сделать правильный выбор — оставьте свой отзыв о докторе
    Написать отзыв

    Услуги стоматолога в других клиниках

    Ортодонтия
    Установка брекетов от 10 000 ₽ до 400 000 ₽
    Снятие брекетов от 530 ₽ до 42 000 ₽
    Еще услуги