Стоматолог Яковлева Марина Степановна — цены, отзывы, стаж — Принимает в Москве

Яковлева Марина Степановна

Яковлева Марина Степановна - фотография

5.0
Рейтинг: 5.0
Отзывов: 14
Положительных: 14
Отрицательных: 0
Последний : 1705 дн. назад
14 отзывов
стоматолог-терапевт
стоматолог-хирург
стоматолог-эндодонтист
Стаж 25 лет
Яковлева Марина Степановна принимает в «Стоматологический центр 32 ДЕНТ» в Москве. Стаж 25 лет. Специализируется на терапии, хирургии и эндодонтическом лечении, по которым клиника оказывает 33 услуги. Имеет 5 работ до/после в портфолио. Квалификация специалиста подтверждена 8 лицензиями, сертификатами и наградами, а опыт 14 отзывами пациентов, из которых 14 положительные. Для уточнения дополнительной информации о специалисте или записи на прием можно позвонить по телефону
+7 (495)Показать телефон
.

Где принимает:

Опыт 25 лет
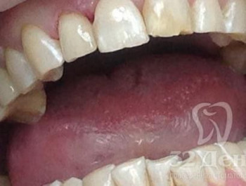
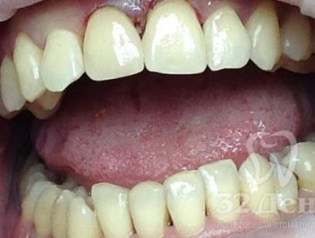
5 работ в портфолио
8 сертификатов

О стоматологе

Врач стоматолог-терапевт.

Яковлева Марина Степановна: портфолио (5)

Отзывы о враче Яковлева Марина Степановна

Рейтинг: 5
Отзывов: 14
Положительных: 14
Отрицательных: 0
Последний: 1705 дн. назад
5.0
Почему нашим отзывам можно доверять?
7 сентября 2021 г.
1 2 3 4 5
❤Марина Степановна это врач от бога! Спасибо вселенной что такие врачи существуют. 13 лет назад я впервые по счастливой случайности к ней попала и мы сделали мне около 13 зубов. Ситуация была сложная но все зубы кроме одного она мне спасла. У меня был и кариес и разрушенные зубы, и больные каналы и нужно было делать композитные виниры, потомучто у меня от рождения не нарастала эмаль на передних зубах, и вырывать зуб мудрости. Вообщем полный набор всех видов работы. Спустя 13 лет практически все зубы в идеальном состоянии. Ни одна пломба за это время не отлетела. ❤Пришла снова уже сейчас просто пора менять некоторые пломбы, сделать отбеливание и кое-где подчистить кариес. Я хочу выразить огромную благодарность этому чудесному врачу, который действительно любит свою работу и относится к пациентам с любовью, пониманием и спокойствием. и главное что я хочу отметить что у нее никогда нет никаких сомнений. Человек знает на сто процентов что делает и всегда перепроверяет все по сто раз. Именно по этому лечение у нее всегда проходит идеально начиная от вырывания зубов заканчивая идеальной работой с композитом! Никто за 13 лет так и не понялл что эти зубы не мои!!!!!!
30 апреля 2020 г.
1 2 3 4 5
В июле 2019 года М. С. Яковлева удаляла мне два зуба "мудрости" на нижней челюсти, делала гигиеническую чистку зубов и устанавливала две пломбы, на пятом и шестом зубах верхней челюсти. Я очень доволен работой этого стоматолога. Марина Степановна делает всё очень тщательно, аккуратно и добросовестно. Пломбы, установленные ею, невозможно отличить от своих зубов - настолько точно воспроизведена форма зуба и подобран цвет пломбировочного материала. Марина Степановна - прямо художник. Очень рекомендую этого врача.
27 декабря 2017 г.
1 2 3 4 5
Удаляла недавно зуб у Яковлева М.С.. Очень довольна работой этого специалиста. Да и не только работой, отношение тоже просто супер, всегда улыбчивая, приветливая, аж настроение поднимается, несмотря на то, что предстоит не самое приятно — удаление зуба. Но после работы Марины Степановны мой страх как рукой сняло. Всем советую этого специалиста.
17 декабря 2017 г.
1 2 3 4 5
На прием к Яковлевой М.С. я пришла с флюзом. Марина Степановна мне объяснила, что это серьезное воспаление во внутри зуба которое может привести к его потере. В процессе лечения успокаивала меня, разговаривала со мной. Колдовала она над моим зубом конечно долго и чуда таки произошло. Мы сохранили зуб. Абсолютно безболезнено, хотя я боль совсем не могу терпеть. Спасибо Вам доктор!
14 декабря 2017 г.
1 2 3 4 5
Болел зуб у сына в течение двух дней. Идти к стоматологу ни как не хотел. Совершенно случайно проходя мимо стоматологии 32 Дент уговорила его зайти во внутрь. Очень красивая девушка администратор приветливо встретила нас и просто посоветовала зайти на приём к Яковлевой М.С. Сынок согласился. После осмотра –решение однозначно удаление. Мой сын не раздумывая открыл рот и сказал тетя вырвите этот зуб, он мне надоел. Всё прошло гладко. Теперь будем лечить зубы только в 32 Дент!!!!
10 декабря 2017 г.
1 2 3 4 5
Удаляла зуб у Марины Степановны. У меня была запущенная ситуация, давно не была у стоматолога, досиделась называется. Пришлось врачу немного помучиться со мной, но надо отдать должное, она справилась отлично, удалила мой зуб качественно и никаких претензий нет. Если учесть, сколько там было работы, она довольно быстро управилась и главное, все качественно и не больно. Рекомендую обращаться.
5 ноября 2017 г.
1 2 3 4 5
Посетила клинику вместе с сыном, его беспокоила боль в зубе уже не первый день, пил обезбаливающее, и в итоге , после рентгента было принято решение, удалить. Удаление прошло успешно и сын выходил из кабинета без слез и страха. В общем, классная клиника, лечащему врачу Яковлевой М.С. искреннее спасибо.
10 февраля 2017 г.
1 2 3 4 5
я пришла к Яковлевой Марине Степановне на чистку,делаю это регулярно и в разных клиниках, но такого внимательного отношения не видела еще ни от одного врача. Доктор осмотрела полость рта, сказала мне о всех имеющихся проблемах, обратила мое внимание на некоторую несовершенность прикуса, на которую я давно закрываю глаза,но очень хочу исправить. Рассказала мне о новых методах лечения,альтернативе брекетов-прозрачных каппах! брекеты не хотела одевать никогда, поэтому проблема с прикусом была для меня нерешаема, а теперь у меня будут ровные зубки)) С удовольствием хожу лечиться к Марине Степановне! и с нетерпением жду исправления зубов!приятно работать с профессионалами своего дела!
21 января 2017 г.
1 2 3 4 5
Посещаю стоматологическую клинику 32дент дважды в год для профилактики. Врач-терапевт Яковлева уже досконально изучила все мои проблемы, постоянно дает советы и рекомендации, поэтому стараюсь записаться на прием именно к этому доктору. Клиника радует не только профессионализмом медицинского персонала, но и четко поставленной работой регистратуры: мне предложили сообщать о наступлении срока планового осмотра. Я согласился, теперь не боюсь забыть записаться: сами звонят и предлагают назначить удобное время.
25 декабря 2016 г.
1 2 3 4 5
Здравствуйте,хотел бы поблагодарить замечательного врача Яковлеву Марину Степановну за отличную работу,высокий профессионализм,доброе и чуткое отношение к пациентам!попал к ней случайно,сначала лечились у нее мои дочери (15 лет и 4 года),которые тоже остались довольны ее работой,младшая совсем перестала бояться врачей, Марина Степановна находит подход к пациентам разных возрастов!клиника просто замечательная,весь персонал очень приветливый и доброжелательный!спасибо вам большое!
    Помогите другим сделать правильный выбор — оставьте свой отзыв о докторе
    Написать отзыв

    Услуги стоматолога в других клиниках

    Терапевтическая стоматология
    Лечение кариеса от 3 500 ₽ до 14 500 ₽
    Лечение пульпита от 5 000 ₽ до 35 000 ₽
    Еще услуги
    Хирургическая стоматология
    Удаление зубов от 1 150 ₽ до 25 000 ₽
    Удаление кисты и гранулемы зуба от 600 ₽ до 48 500 ₽
    Еще услуги