Стоматолог Петрова Екатерина Александровна — цены, отзывы, стаж — Принимает в Москве

Петрова Екатерина Александровна

Петрова Екатерина Александровна - фотография
стоматолог-терапевт
Стаж 33 года
главный врач
Петрова Екатерина Александровна принимает в «АССОЦИАЦИЯ ВРАЧЕЙ-СТОМАТОЛОГОВ ДЕНТАЛ ПЛЮС» в Москве. Главный врач, стаж 33 года. Специализируется на терапии, по которой клиника оказывает 12 услуг. Квалификация специалиста подтверждена 5 лицензиями, сертификатами и наградами. Для уточнения дополнительной информации о специалисте или записи на прием можно позвонить по телефону
+7 (977)Показать телефон
.

Где принимает:

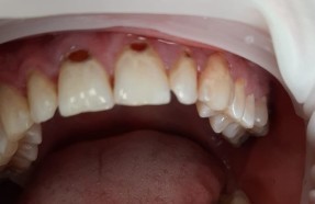
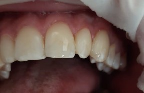
1 работа в портфолио
Главный врач
Опыт 33 года
5 сертификатов

Отзывы о враче Петрова Екатерина Александровна

Почему нашим отзывам можно доверять?
19 февраля 2016 г.
1 2 3 4 5
Хочу выразить благодарность и признательность Петровой Екатерине Александровне. Обратилась впервые в эту клинику, и очень довольна, что попала к такому грамотному специалисту. Екатерина Александровна не просто вылечила мне зубки, а сделала красивую реставрацию. Я восхищена результатом. Буду рекомендовать клинику своим друзьям и знакомым!!!
14 октября 2010 г.
1 2 3 4 5
Мы всей семьей лечимся у Петровой Е.А. Хотя правильнее сказать, не лечимся, а приходим на проф.осмотры, так как пломбы, которые поставила этот замечательный врач держаться уже более 6 лет.
    Помогите другим сделать правильный выбор — оставьте свой отзыв о докторе
    Написать отзыв

    О стоматологе

    Главный врач клиники. В совершенстве владеет передовыми методами терапевтического лечения кариеса и его осложнений. Имеет отличные результаты в области эндодонтического лечения и эстетической реставрации зубов с использованием современных пломбирующих материалов.
    Постоянно совершенствует свой профессиональный уровень.

    Петрова Екатерина Александровна: портфолио (1)

    Услуги стоматолога в других клиниках

    Терапевтическая стоматология
    Лечение кариеса от 3 500 ₽ до 14 500 ₽
    Лечение пульпита от 5 000 ₽ до 35 000 ₽
    Еще услуги