Стоматолог Шабанов Матвей Михайлович — цены, отзывы, стаж — Принимает в Москве

Шабанов Матвей Михайлович

Шабанов Матвей Михайлович - фотография
стоматолог-терапевт
Стаж 28 лет
Шабанов Матвей Михайлович принимает в «АССОЦИАЦИЯ ВРАЧЕЙ-СТОМАТОЛОГОВ ДЕНТАЛ ПЛЮС» в Москве. К.м.н., стаж 28 лет. Специализируется на терапии, по которой клиника оказывает 12 услуг. Имеет 6 работ до/после в портфолио. Для уточнения дополнительной информации о специалисте или записи на прием можно позвонить по телефону
+7 (977)Показать телефон
.

Где принимает:

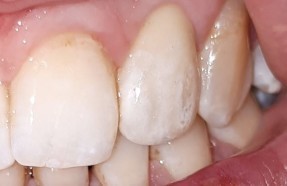
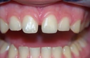
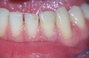
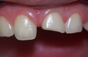
6 работ в портфолио
Опыт 28 лет
Кандидат мед.наук
1 сертификат
    Помогите другим сделать правильный выбор — оставьте свой отзыв о докторе
    Написать отзыв

    О стоматологе

    В совершенстве владеет передовыми методами терапевтического лечения кариеса и его осложнений. Имеет отличные результаты в области эндодонтического лечения и эстетической реставрации зубов с использованием современных пломбирующих материалов, занимается микропротезированием

    Шабанов Матвей Михайлович: портфолио (6)

    Услуги стоматолога в других клиниках

    Терапевтическая стоматология
    Лечение кариеса от 3 500 ₽ до 14 500 ₽
    Лечение пульпита от 5 000 ₽ до 35 000 ₽
    Еще услуги