Стоматолог Раджабов Гаджи Раджабович — цены, отзывы, стаж — Принимает в Москве

Раджабов Гаджи Раджабович

Раджабов Гаджи Раджабович - фотография
стоматолог-ортопед
стоматолог-хирург
стоматолог-имплантолог
Стаж 11 лет
Раджабов Гаджи Раджабович принимает в «Стоматологическая клиника РУВИДЕНТАЛ КЛИНИК» в Москве. Главный врач, стаж 11 лет. Специализируется на ортопедии, хирургии и имплантологии, по которым клиника оказывает 27 услуг. Имеет 9 работ до/после в портфолио. Квалификация специалиста подтверждена 8 лицензиями, сертификатами и наградами. Для уточнения дополнительной информации о специалисте или записи на прием можно позвонить по телефону
+7 (495)Показать телефон
.

Где принимает:

8 сертификатов
Опыт 11 лет
Главный врач
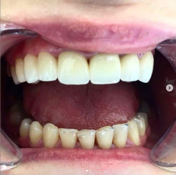
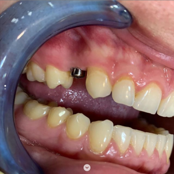
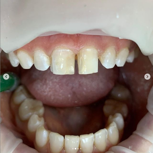
9 работ в портфолио

Раджабов Гаджи Раджабович: портфолио (9)

    Помогите другим сделать правильный выбор — оставьте свой отзыв о докторе
    Написать отзыв

    Услуги стоматолога в других клиниках

    Хирургическая стоматология
    Удаление зубов от 1 150 ₽ до 25 000 ₽
    Удаление кисты и гранулемы зуба от 600 ₽ до 48 500 ₽
    Еще услуги
    Протезирование зубов
    Установка коронки на зуб от 4 500 ₽ до 120 000 ₽
    Установка протеза Акри Фри (Acry-Free) от 11 400 ₽ до 85 000 ₽
    Еще услуги
    Имплантация
    Установка мини-импланта от 3 000 ₽ до 35 000 ₽
    Коронки на имплантах от 11 000 ₽ до 90 000 ₽
    Еще услуги