Стоматолог Гафизов Ален Алиевич — цены, отзывы, стаж — Принимает в Москве

Гафизов Ален Алиевич

Гафизов Ален Алиевич - фотография

5.0
Рейтинг: 5.0
Отзывов: 66
Положительных: 65
Отрицательных: 1
Последний : 324 дн. назад
66 отзывов
стоматолог-ортопед
стоматолог-хирург
стоматолог-имплантолог
гнатолог
Стаж 19 лет
главный врач
Гафизов Ален Алиевич принимает в «Стоматология ДЕНТУМ» в Москве. Главный врач, стаж 19 лет. Специализируется на ортопедии, хирургии, имплантологии и гнатологии, по которым клиника оказывает 30 услуг. Имеет 10 работ до/после в портфолио. Квалификация специалиста подтверждена 29 лицензиями, сертификатами и наградами, а опыт 66 отзывами пациентов, из которых 65 положительные. Для уточнения дополнительной информации о специалисте или записи на прием можно позвонить по телефону
+7 (926)Показать телефон
. Занимает 5 место в рейтинге гнатологов 32top в вашем городе. Также 32top представляет форму онлайн расписания, через которую можно записаться к специалисту на свободную дату и время.

Где принимает:

Опыт 19 лет
29 сертификатов
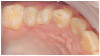
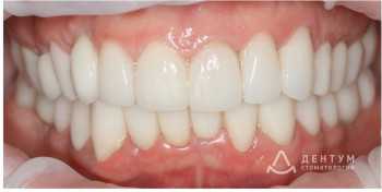
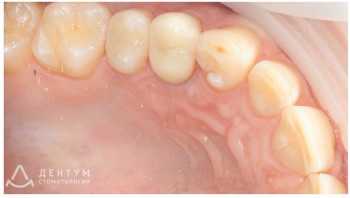
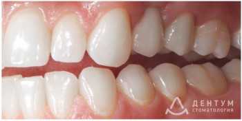
10 работ в портфолио
Главный врач

Отзывы о враче Гафизов Ален Алиевич

Рейтинг: 4.965
Отзывов: 66
Положительных: 65
Отрицательных: 1
Последний: 324 дн. назад
5.0
Пациенты отмечают:
Профессионализм
Вежливость
Подробные объяснения
Тщательный осмотр
Аккуратность
Лечение помогло
Почему нашим отзывам можно доверять?
19 июня 2025 г.
1 2 3 4 5
Благодаря его работе смогла не только вернуться к прежнему уровню жизни, когда могу есть все, что захочу, но и обрести уверенность в себе, потому что без зубов это было невозможно. Отдано много времени, нервов и денег на лечение, но оно того стоит! Врача рекомендую!
Спасибо вам за высокую оценку! Мы рады, что смогли помочь восстановить здоровье и обрести уверенность в себе. Желаем вам наслаждаться каждым моментом и вашей прекрасной улыбкой! Будьте здоровы.
17 июня 2025 г.
1 2 3 4 5
Наслышалась от подруги об этом враче, она к нему возила маму на имплантацию, обе остались довольны. Я тоже решила сходить на консультацию, сама убедилась в компетентности и профессионализме врача. Посмотрел мои зубы, сказал, что можно поставить систему на 4х имплантах, моя ситуация позволяет. Составил план лечения, проговорил сроки, сейсам сдаю анализы, скоро буду ставить. Хорошо, что врач хороший попался.
Очень приятно, что вы пришли к нам по рекомендации и остались довольны консультацией. Спасибо за добрые слова в адрес нашего врача. Ждем вас на лечение!
10 июня 2025 г.
1 2 3 4 5
Хороший врач с большим опытом работы. Много чего умеет делать. Удалял мне зубы перед имплантацией, делал костную пластику и ставил сами импланты. Все лечение было согласовано на первых процедурах с каждым этапом, посещением клиники, примеркой. Цену тоже знала сразу, прописана в договоре и по факту ничего не изменилось. Врач внимательный, грамотный, было очень приятно у него лечиться.
14 февраля 2025 г.
1 2 3 4 5
Я осталась довольна этим врачом и успешным протезированием. Процесс был не быстрым, так как протезы на имплантатах, пришлось ждать полгода, пока они приживутся. Но я не ходила без зубов, мне поставили временные протезы, так что всё было нормально! Врач очень вежлив, тактичен, аккуратен и внимателен. Все манипуляции были совершенно безболезненными, даже когда он вживлял имплантаты. После челюсть немного болела, но обезболивающие помогали. Сейчас лечение в этой клинике завершено, и я очень довольна результатом.
4 октября 2024 г.
1 2 3 4 5
Эту клинику порекомендовала мне подруга. Спасибо ей и конечно Алену Алиевичу! Чуткий подход, качественное лечение. Я очень довольна.
1 октября 2024 г.
1 2 3 4 5
Была на приеме у Ален Алиевича. Приём прошёл очень хорошо, вылечили все, что требовалось )
28 мая 2024 г.
1 2 3 4 5
Я довольна результатом лечения, проведенного Ален Алиевичем. У нас была довольно сложная операция, однако он дал полные и понятные рекомендации по восстановлению и уходу, предложил прийти на осмотр, если будут какие-то вопросы или повторится проблема. Само лечение проводил на пару с ассистентом, работал бережно, но уверенно. Грамотный и комфортный специалист.
19 марта 2024 г.
1 2 3 4 5
Выражаю благодарность Алену Алиевичу. Пришла с острой болью в зубе. Очень боялась удалять, но врач выполнил всё профессионально. Обязательно буду у него устанавливать имплант на это место
2 августа 2023 г.
1 2 3 4 5
Выражаю огромную благодарность всему персоналу клиники, в отдельности Гафизову А.А. Профессионал своего дела, по установке имплантатов только к нему , все четко, по делу. Ни разу не пожалела что решилась на операцию. Тебиевой Л.О. за аккуратность и душевность :), Хацкевичу М.Л. за ювелирную работу по удалению зуба мудрости, за спокойствие и доброжелательность, самый приятный опыт по удалению. И отдельное спасибо девушкам на ресепшен и ассистентам врачей. Желаю процветания и держать статус на таком профессиональном уровне 🙌
3 марта 2021 г.
1 2 3 4 5
В стоматологию "Дентум" обратилась по рекомендации коллеги с работы. Сначала записывалась на консультацию, потом было удаление зубов, которые не получится спасти. Удаление прошло хорошо, мне делали ренген-снимок - осколков не осталось, аккуратная работа. Хочу отметить, что администраторы вежливые, доброжелательные и вообще отношение со стороны персонала очень хорошее. О приеме мне напомнили сообщением и позвонили заранее, стоматологию нашла сразу, недалеко от остановки. Прием начался сразу к времени без ожидания. Работают по договору и выдают чек, как положено, можно платить по карте и наличными. По стоимости, мне показалось дороговато, хотя коллега стоимостью довольна. Оборудование современное, все есть, что нужно. Врач Гафизов А.А. понравился, я получила квалифицированные ответы на все свои вопросы, которые интересовали, собираюсь к нему на повторный прием, будем ставить виниры.
    Помогите другим сделать правильный выбор — оставьте свой отзыв о докторе
    Написать отзыв

    Награды врача

    Топ-20 по итогам Народного рейтинга 2024

    Услуги врача (70)

    Хирургическая стоматология
    Удаление зубов
    от 2 600 ₽ до 5 500 ₽ за 1 зуб
    Удаление зуба мудрости
    от 4 500 ₽ до 5 500 ₽ за 1 зуб
    Сложное удаление зуба
    от 5 500 ₽ за 1 зуб
    Еще услуги
    Протезирование зубов
    Установка коронки на зуб
    Ремонт зубных протезов
    Перебазировка съёмного протеза
    Еще услуги
    Имплантация
    Имплантация зубов под ключ
    Установка мини-импланта
    Коронки на имплантах
    Еще услуги
    Все цены носят ознакомительный характер. Точную цену вы сможете получить только после консультации специалиста.
    Звоните по телефону:
    +7 (926)Показать телефон

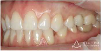
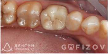
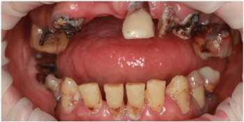
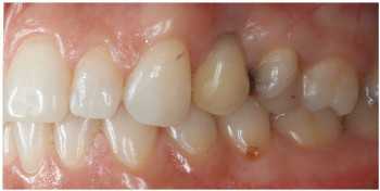
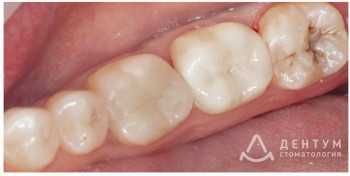
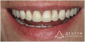
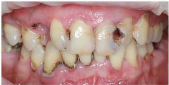
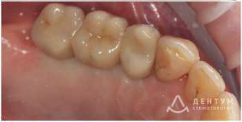
    Гафизов Ален Алиевич: портфолио (10)

    Акции и скидки клиники ДЕНТУМ (2)