Стоматолог Воеводин Илья Андреевич — цены, отзывы, стаж — Принимает в Москве

Воеводин Илья Андреевич

Воеводин Илья Андреевич - фотография

5.0
Рейтинг: 5.0
Отзывов: 3
Положительных: 3
Отрицательных: 0
Последний : 591 дн. назад
3 отзыва
стоматолог-ортодонт
Стаж 26 лет
врач высшей категории
Воеводин Илья Андреевич принимает в «Стоматологическая клиника АВИЦЕННА» в Серпухове. Врач высшей категории, стаж 26 лет. Специализируется на ортодонтии, по которой клиника оказывает 6 услуг. Имеет 4 работы до/после в портфолио. Для уточнения дополнительной информации о специалисте или записи на прием можно позвонить по телефону
+7 (905)Показать телефон
.

Где принимает:

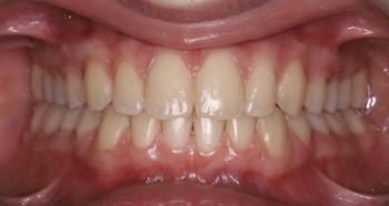
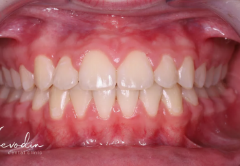
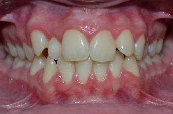
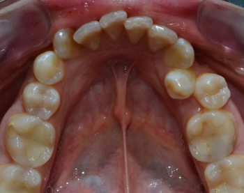
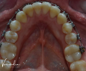
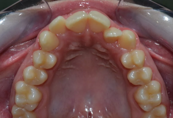
4 работы в портфолио
Опыт 26 лет
Врач высшей категории

Воеводин Илья Андреевич: портфолио (4)

Отзывы о враче Воеводин Илья Андреевич

Рейтинг: 5
Отзывов: 3
Положительных: 3
Отрицательных: 0
Последний: 591 дн. назад
5.0
Почему нашим отзывам можно доверять?
24 сентября 2024 г.
1 2 3 4 5
Очень довольны лечением у Ильи Андреевича! Мне имправил наклоненные назад зубы, а с мужем работал дольше, чтобы исправить выступающую вперед нижнюю челюсть. Очень внимательный, понимающий доктор, результаты коррекции намного лучше, чем наше предыдущее лечение!
Воеводин Илья Андреевич
18 ноября 2024 г.
Здравствуйте! Благодарим Вас за обратную связь! Очень приятно знать, что нам доверяют свое здоровье целые семьи! Спасибо вам за доверие! С уважением, команда стоматологии Voevodin Dental Clinic
3 февраля 2024 г.
1 2 3 4 5
Раньше никогда прикус не исправляла, т.к. в моем детстве, 35 лет назад, таких шикарных систем просто не было, и родители решили, что торчащие вперед зубы – не повод мучить ребенка. В общем, в клинику пришла за мечтой – очень хотела прямые зубы, как у всех людей. Надежд при этом особых не имела, но встретила Илью Андреевича. И он сразу развеял половину моих страхов – сейчас брекеты стали совсем другие и методики улучшились. Словом, я решилась на коррекцию, хотя меня отговаривали все, с аргументом, что ничего не поможет или зубы вернуться обратно как только сниму брекеты. Но короче. Прошел ГОД после снятия брекетов. Все зубы как были ровными, так и остались. Ничего никуда не убежало. Отсюда вывод – ходите к хорошим ортодонтам и зубы у вас будут ровные!
Воеводин Илья Андреевич
18 ноября 2024 г.
Добрый день! Спасибо за уделенное время и оставленный подробный отзыв! Мы рады, что вы остались довольны результатом лечения. Ждем вас на профилактические приемы. С уважением, команда стоматологии Voevodin Dental Clinic
20 ноября 2023 г.
1 2 3 4 5
В очередной раз после посещения клиники хочу поблагодарить Воеводина И.А. У меня была тяжелая ситуация с зубами, надо было ровнять, вытягивать так что бы они стояли в одном ряду. Первый раз обратилась уже во взрослом состоянии, боялась поздно, кости не будут сдвигаться. Оказалось все двигается! Сейчас уже вижу прекрасный результат. Могу смело улыбаться хоть и в брекетах. Спасибо вам огромное! Вы волшебник!
Воеводин Илья Андреевич
18 ноября 2024 г.
Здравствуйте! Благодарим Вас за обратную связь! Спасибо, что остановили свой выбор на нашей клинике, обязательно передадим ваши слова благодарности Илье Андреевичу! С уважением, команда стоматологии Voevodin Dental Clinic С уважением, команда стоматологии Voevodin Dental Clinic
    Помогите другим сделать правильный выбор — оставьте свой отзыв о докторе
    Написать отзыв

    Услуги стоматолога в других клиниках

    Диагностика
    Консультация стоматолога от 1 ₽ до 3 500 ₽
    Консультация ортодонта от 1 ₽ до 5 200 ₽
    Ортодонтия
    Установка брекетов от 10 000 ₽ до 400 000 ₽
    Виды брекетов по материалу
    Еще услуги