Стоматолог Матвеева Мария Николаевна — цены, отзывы, стаж — Принимает в Москве

Матвеева Мария Николаевна

Матвеева Мария Николаевна - фотография
стоматолог-ортодонт
Стаж 14 лет
Матвеева Мария Николаевна принимает в «Стоматологическая клиника АКТИВСТОМ» в Москве. Стаж 14 лет. Специализируется на ортодонтии, по которой клиника оказывает 3 услуги. Имеет 9 работ до/после в портфолио. Квалификация специалиста подтверждена 21 лицензиями, сертификатами и наградами. Для уточнения дополнительной информации о специалисте или записи на прием можно позвонить по телефону
+7 (495)Показать телефон
.

Где принимает:

21 сертификат
9 работ в портфолио
Опыт 14 лет

О стоматологе

Часто красивая улыбка - это именно то, что помогает человеку достичь личных и профессиональных целей. Для достижения успеха в большом городе необходима уверенность в своём здоровье, в своём внешнем виде. Ваша улыбка отражает внутреннее равновесие (комфорт), она притягивает к общению и сотрудничеству. Но самое главное - только здоровая улыбка может быть по-настоящему красивой! Я постараюсь сделать Ваше лечение максимально комфортным, а улыбку - открытой и притягательной.

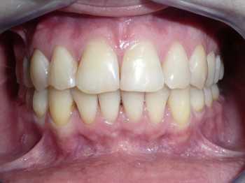
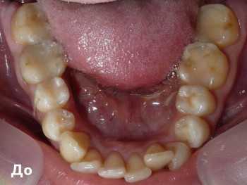
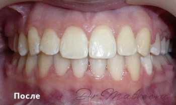
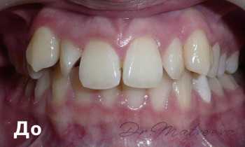
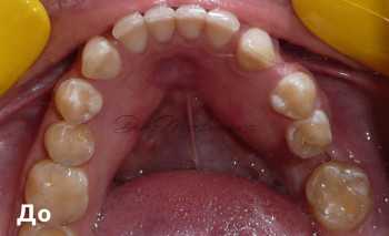
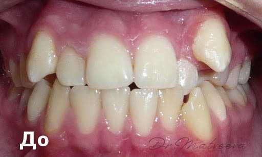
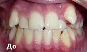
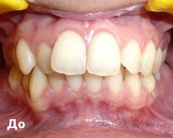
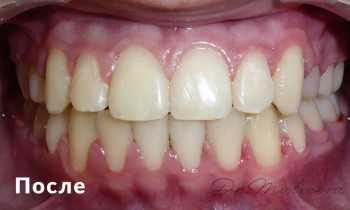
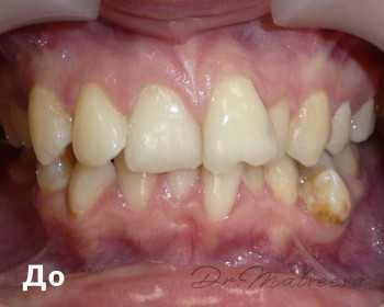
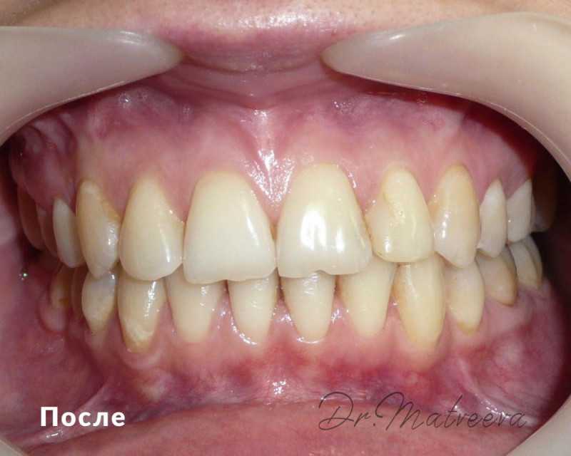
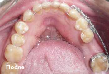
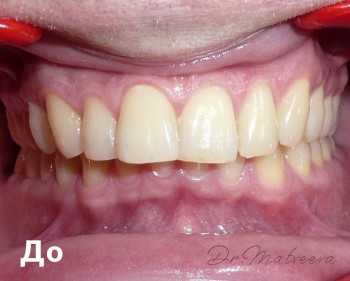
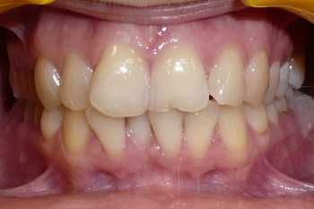
Матвеева Мария Николаевна: портфолио (9)

    Помогите другим сделать правильный выбор — оставьте свой отзыв о докторе
    Написать отзыв

    Услуги стоматолога в других клиниках

    Ортодонтия
    Установка брекетов от 10 000 ₽ до 400 000 ₽
    Виды брекетов по материалу
    Еще услуги