Стоматолог Замрий Татьяна Александровна — цены, отзывы, стаж — Принимает в Москве

Замрий Татьяна Александровна

Замрий Татьяна Александровна - фотография
стоматолог-терапевт
Стаж 16 лет
Замрий Татьяна Александровна принимает в «Стоматологическая клиника АЛЕКСА ДЕНТ» в Москве. Стаж 16 лет. Специализируется на терапии, по которой клиника оказывает 6 услуг. Для уточнения дополнительной информации о специалисте или записи на прием можно позвонить по телефону
+7 (977)Показать телефон
.

Где принимает:

Опыт 16 лет
1 работа в портфолио
    Помогите другим сделать правильный выбор — оставьте свой отзыв о докторе
    Написать отзыв

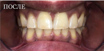
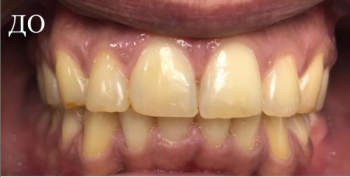
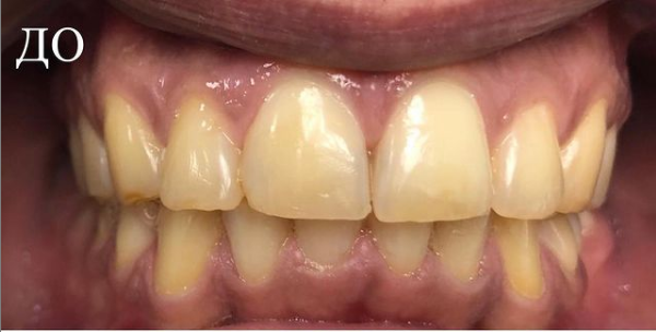
    Замрий Татьяна Александровна: портфолио (1)

    Услуги стоматолога в других клиниках

    Терапевтическая стоматология
    Лечение кариеса от 3 500 ₽ до 14 500 ₽
    Лечение пульпита от 5 000 ₽ до 35 000 ₽
    Еще услуги