Стоматолог Большакова Евгения Владимировна — цены, отзывы, стаж — Принимает в Москве

Большакова Евгения Владимировна

Большакова Евгения Владимировна - фотография

5.0
Рейтинг: 5.0
Отзывов: 21
Положительных: 21
Отрицательных: 0
Последний : 1896 дн. назад
21 отзыв
стоматолог-гигиенист
Стаж 17 лет
Большакова Евгения Владимировна принимает в «Центр современной стоматологии РЕСМАЙЛ» в Москве. Стаж 17 лет. Специализируется на гигиене полости рта, по которой клиника оказывает 4 услуги. Имеет 4 работы до/после в портфолио. Квалификация специалиста подтверждена 8 лицензиями, сертификатами и наградами, а опыт 21 отзывом пациентов, из которых 21 положительный. Для уточнения дополнительной информации о специалисте или записи на прием можно позвонить по телефону
+7 (800)Показать телефон
.

Где принимает:

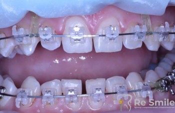
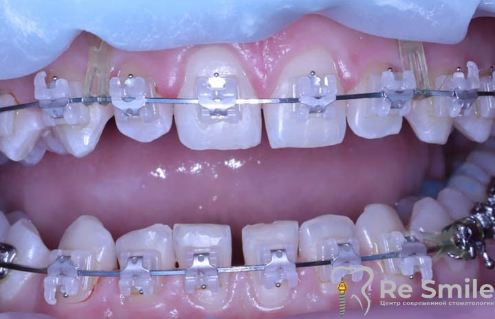
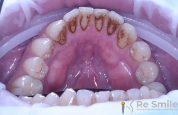
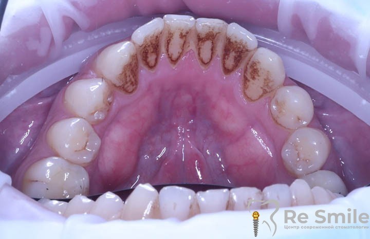
4 работы в портфолио
Опыт 17 лет
8 сертификатов

Отзывы о враче Большакова Евгения Владимировна

Рейтинг: 4.925
Отзывов: 21
Положительных: 21
Отрицательных: 0
Последний: 1896 дн. назад
5.0
Почему нашим отзывам можно доверять?
После приема Пациент записывался в клинику через 32top. После приёма мы позвонили ему и получили отзыв.
25 февраля 2021 г.
1 2 3 4 5
Проходила лечение у Большаковой. Я довольна обслуживанием стоматологии. Довольна качеством оказываемых услуг. Но все же для меня стоматология дороговата!
30 августа 2017 г.
1 2 3 4 5
Я очень уважаю людей трудящихся над улыбками людей в стоматологическом центре Симпладент! Сама атмосфера в клинике фантастическая, даже похоже на стоматологический спа-центр, без шуток. Мне очень нравиться сюда приходить, к тому же для меня здоровье всегда является приоритетом и поэтому я регулярно посещаю гигиениста. Хочу отметить и порекомендовать Евгению Владимировну Б., как хорошего, опытного и аккуратного специалиста, она изумительна на самом деле и я всегда чувствую себя комфортно у нее на процедуре. К том уже я никогда не чувствовала, что я получила совет или рекомендации по лечению без необходимости, просто для большей оплаты или навязывания мне чего-то, что мне не нужно. Спасибо.
13 августа 2017 г.
1 2 3 4 5
С гигиеной полости рта познакомилась совсем не давно, о чём очень жалею, что раньше её не делала. Провела гигиену Евгения Владимировна. Процедура длилась около часа, безболезненная, но немного чувствовался дискомфорт, может что делала её первый раз. Через определенное время процедуру надо повторить. Но и от первой я просто в восторге. Поняла, что это и комфортно для полости рта и также для здоровья.
2 августа 2017 г.
1 2 3 4 5
Благодаря своей подруге я попала в клинику РУТ, мы с ней собрались в отпуск и пришли на чистку и отбеливание зубов. Наша врач гигиенист Большакова Е. В. на высшем уровне провела все процедуры, не было неприятных ощущений. Евгения Владимировна замечательный специалист, знающий своё дело на отлично! Кто собирается отбелить и почистить зубки, рекомендую, не пожалеете!
21 июня 2017 г.
1 2 3 4 5
Зубки в полном порядке, стараюсь выполнять все советы рекомендации своего лечащего врача Большаковой, но на чистку зубов хожу регулярно. Два раза в год делаю профессиональную чистку зубов. Процесс чистки мне ни когда не создает дискомфорта. Каждый раз полость рта сияет чистотой. Благодарю Евгению Владимировну за Профессионализм!
19 июня 2017 г.
1 2 3 4 5
Уже не первый раз хожу на профессиональную чистку зубов, прекрасно знаю о пользе чистки и профилактики. Хочу поблагодарить Большакову Евгению за привитую мне хорошую привычку регулярно посещать стоматолога. Клинику Рутт на Руставели 14, стр.2 я уже примерно на протяжении четырех лет регулярно посещаю в профилактических целях - в итоге и проблем с зубами особо нет никаких. Сейчас прошел процедуру отбеливания, хочу поблагодарить Евгению, за то что она хороший профессионал в своей сфере и просто хороший человек.
1 июня 2017 г.
1 2 3 4 5
Я слежу за своими зубами, и раз в пол года хожу в сою любимую и проверенную клинику ROOTT на Руставели к Большаковой Е. В. Евгения Владимировна очень хороший специалист, внимательна к своим пациентам, результат всегда отличный. Очень скрупулезно почистила каждый зубик, у меня ощущение стерильности во рту, когда я выхожу от неё. Всем кто собирается на чистку зубов рекомендую, сами убедитесь в качестве работы этого специалиста.
22 апреля 2017 г.
1 2 3 4 5
Предстояла свадьба старшей сестры и хотелось выглядеть не отразимо. А мои передние зубки не важно выглядеть стали –налет и вроде немного цвет поменяли, слегка желтые. Записалась на профессиональную чистку к Евгении Большаковой. Мои зубки отчистили, убрали налет и желтизну. Зубки стали белее, десны также чистенькие. Благодарю доктора за лечение!
18 апреля 2017 г.
1 2 3 4 5
Никогда не думала, что можно получить такой эффект от чистки зубов от зубного камня. Спасибо за чистые зубы Большаковой Евгении . После чистки зубы как будто обновились (чистку делала впервые) Евгения Владимировна знает свою работу и профессионал в своем деле.
19 марта 2017 г.
1 2 3 4 5
Хочу сказать спасибо Большаковой Е. В., за мои чистейшие зубки. Я пришла в Симпладент сделать чистку зубов, мне убрали все камни между дёснами и зубами, убрали налёт с внутренней стороны, который простой щёткой уже было не убрать. Мне очень понравилось отношение Евгении Владимировны, во время процедуры говорила со мной, давала рекомендации по уходу. Появилась как будто какая-то лёгкость после процедуры, хочется улыбаться такими чистыми зубками, спасибо.
    Помогите другим сделать правильный выбор — оставьте свой отзыв о докторе
    Написать отзыв

    Услуги врача (5)

    Профгигиена
    Чистка зубов Air-flow
    Удаление зубного камня
    Эстетическая стоматология
    Отбеливание зубов
    от 25 000 ₽ за 1 челюсть
    Отбеливание Zoom
    Лазерное отбеливание
    Все цены носят ознакомительный характер. Точную цену вы сможете получить только после консультации специалиста.
    Звоните по телефону:
    +7 (800)Показать телефон

    Стоматологические ассоциации

    • Действительный член

    Большакова Евгения Владимировна: портфолио (4)