Стоматолог Арзуманов Амаяк Аркадьевич — цены, отзывы, стаж — Принимает в Москве

Арзуманов Амаяк Аркадьевич

Арзуманов Амаяк Аркадьевич - фотография

5.0
Рейтинг: 5.0
Отзывов: 237
Положительных: 237
Отрицательных: 0
Последний : 260 дн. назад
237 отзывов
стоматолог-ортопед
гнатолог
Стаж 19 лет
Арзуманов Амаяк Аркадьевич принимает в «Американский стоматологический центр ДАНТИСТ» в Москве. Стаж 19 лет. Специализируется на ортопедии и гнатологии, по которым клиника оказывает 12 услуг. Имеет 12 работ до/после в портфолио. Квалификация специалиста подтверждена 9 лицензиями, сертификатами и наградами, а опыт 237 отзывами пациентов, из которых 237 положительные. Для уточнения дополнительной информации о специалисте или записи на прием можно позвонить по телефону
+7 (495)Показать телефон
. Занимает 2 место в рейтинге гнатологов 32top в вашем городе. Также 32top представляет форму онлайн расписания, через которую можно записаться к специалисту на свободную дату и время.

Где принимает:

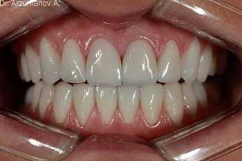
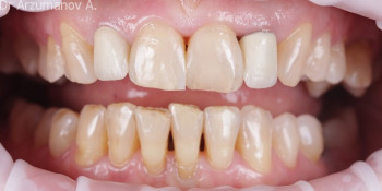
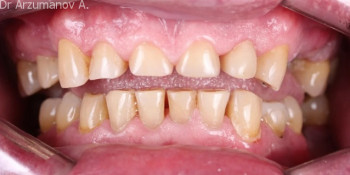
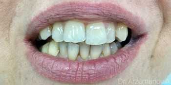
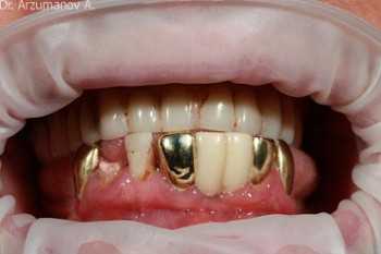
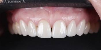
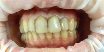
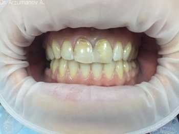
12 работ в портфолио
9 сертификатов
Опыт 19 лет

Отзывы о враче Арзуманов Амаяк Аркадьевич

Рейтинг: 4.995
Отзывов: 237
Положительных: 237
Отрицательных: 0
Последний: 260 дн. назад
5.0
Почему нашим отзывам можно доверять?
После приема Пациент записывался в клинику через 32top. После приёма мы позвонили ему и получили отзыв.
17 августа 2025 г.
1 2 3 4 5
Клинику нашла в интернете, нормально добралась, удобное расположение. Была на консультации у врача Арзуманова Амаяка. Осталась очень довольна, хороший специалист, провел полный осмотр ротовой полости, выслушал мои жалобы, написал какое нужно пройти дообследование. Я довольна. Буду продолжать лечение.
После приема Пациент записывался в клинику через 32top. После приёма мы позвонили ему и получили отзыв.
10 августа 2025 г.
1 2 3 4 5
Клинику выбрала в интернете. Была на консультации у врача Арзуманова А.А. Отличный специалист, все мне подробно объяснил, рекомендовал сделать снимок 3Д и уже с ним подойти и составить план лечения. Все меня устроило, возможно буду продолжать лечение.
После приема Пациент записывался в клинику через 32top. После приёма мы позвонили ему и получили отзыв.
6 августа 2025 г.
1 2 3 4 5
Клинику нашла в интернете. Записалась на консультацию к Амаяку Аркадьевичу. Хороший врач, сначала сделал полный осмотр всех зубов, выслушал мою проблему, посмотрел снимки, и в процессе консультации предложил лечение этих проблемных зубов определенным способом. Мне, к сожалению, это не понравилось, и я думаю, что это не будет эффективным, решила не продолжать лечение. В остальном все понравилось.
После приема Пациент записывался в клинику через 32top. После приёма мы позвонили ему и получили отзыв.
30 июня 2025 г.
1 2 3 4 5
В клинику обратился к Амаяку Аркадьевичу для установки коронок на два зуба. Отличный врач, профессионал своего дела, очень внимательный, все лечение прошло отлично, качеством и ценой услуги доволен.
20 июня 2025 г.
1 2 3 4 5
Несмотря на то, что клиника "Дантист" находится на другом конце Москвы, я продолжаю ездить туда - настолько высокий там уровень профессионализма. Амаяк Аркадьевич - настоящий мастер своего дела: благодаря ему моя улыбка снова в порядке. Отлично установленные протезы полностью оправдали все ожидания.
6 июня 2025 г.
1 2 3 4 5
Выражаю искреннюю признательность Арзуманову А.А. за ювелирную работу! Коронка подобрана с точностью - идеальный цвет, форма, абсолютная гармония с прикусом. Врач проявил себя как истинный профессионал: все этапы объяснял доступно, работал аккуратно, после процедуры - полное отсутствие дискомфорта. Однозначно рекомендую этого специалиста!
После приема Пациент записывался в клинику через 32top. После приёма мы позвонили ему и получили отзыв.
24 марта 2025 г.
1 2 3 4 5
Консультация у гнатолога Арзуманова А.А. прошла отлично. Врач объяснял всё культурно и понятно. Искала специалиста именно в этой области, и эта клиника оказалась близко к дому. Обстановка комфортная, персонал приятный, приняли вовремя, даже раньше назначенного. Консультация, кстати, была бесплатной. Готова начать лечение здесь.
После приема Пациент записывался в клинику через 32top. После приёма мы позвонили ему и получили отзыв.
25 июля 2024 г.
1 2 3 4 5
У меня еще не закончено лечение, но уже близко к финишу. Я прохожу протезирование у доктора Амаяка Аркадьевича, очень опытный и умный врач, грамотный и современный подход к работе. Качество работы на высоком уровне, мне все нравиться, я в восторге. В клинике работают очень хорошие врачи, наверное, подобрали самый крутой коллектив, они все профессионалы своего дела. У меня многие знакомые лечат зубы и я слышу только положительные эмоции.
После приема Пациент записывался в клинику через 32top. После приёма мы позвонили ему и получили отзыв.
19 июня 2024 г.
1 2 3 4 5
Обратилась в клинику по поводу имплантации и протезированию. Мое лечение проводил Амаяк Аркадьевич, все сделали хорошо, мне понравилось. Вначале лечения была не состыковка в плане диагноза, но потом все разрешилось, все поправили. Клиника хорошая, на мой взгляд современная, чисто, стерильно. Администраторы предлагают чай, кофе.
После приема Пациент записывался в клинику через 32top. После приёма мы позвонили ему и получили отзыв.
6 марта 2024 г.
1 2 3 4 5
В клинике была только на консультации у ортопеда Амаяка Аркадьевича, хороший врач подробно рассказал про план лечения. И имплантацию планирую в этой же клинике. Понравилось обслуживание, ознакомили с ценовой политикой, настраиваюсь на лечение.
    Помогите другим сделать правильный выбор — оставьте свой отзыв о докторе
    Написать отзыв

    Награды врача

    2 место по итогам Народного рейтинга 2024

    Услуги врача (37)

    Эстетическая стоматология
    Отбеливание зубов
    от 30 500 ₽ за обе челюсти
    Наращивание зубов
    Установка виниров
    от 33 000 ₽ за 1 зуб
    Еще услуги
    Протезирование зубов
    Установка коронки на зуб
    от 33 000 ₽ за 1 зуб
    Ремонт зубных протезов
    Перебазировка съёмного протеза
    Еще услуги
    Все цены носят ознакомительный характер. Точную цену вы сможете получить только после консультации специалиста.
    Звоните по телефону:
    +7 (495)Показать телефон

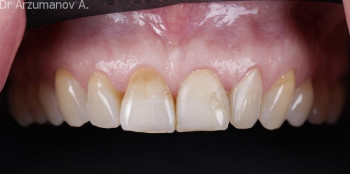
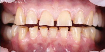
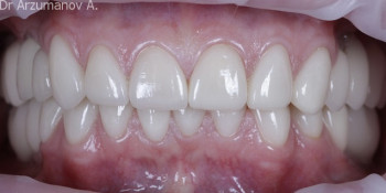
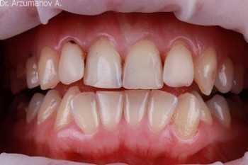
    Арзуманов Амаяк Аркадьевич: портфолио (12)

    Акции и скидки клиники ДАНТИСТ (7)