Стоматолог Ильиченко (Журавская) Оксана Артуровна — цены, отзывы, стаж — Принимает в Москве

Ильиченко (Журавская) Оксана Артуровна

Ильиченко (Журавская) Оксана Артуровна - фотография
стоматолог-ортодонт
Стаж 18 лет
Ильиченко (Журавская) Оксана Артуровна принимает в «Стоматология СТОМСИТИ» в Москве. Стаж 18 лет. Специализируется на ортодонтии, по которой клиника оказывает 10 услуг. Имеет 8 работ до/после в портфолио. Квалификация специалиста подтверждена 27 лицензиями, сертификатами и наградами. Для уточнения дополнительной информации о специалисте или записи на прием можно позвонить по телефону
+7 (495)Показать телефон
.

Где принимает:

27 сертификатов
8 работ в портфолио
Опыт 18 лет
    Помогите другим сделать правильный выбор — оставьте свой отзыв о докторе
    Написать отзыв

    Услуги врача (13)

    Ортодонтия
    Установка брекетов
    от 74 400 ₽ до 115 000 ₽ за 1 челюсть
    Снятие брекетов
    от 5 500 ₽ до 14 500 ₽ за 1 челюсть
    Установка элайнеров
    от 154 000 ₽ до 350 000 ₽ за обе челюсти
    Еще услуги
    Все цены носят ознакомительный характер. Точную цену вы сможете получить только после консультации специалиста.
    Звоните по телефону:
    +7 (495)Показать телефон

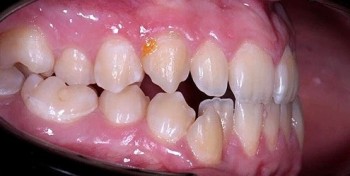
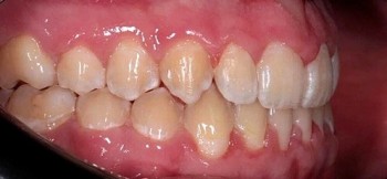
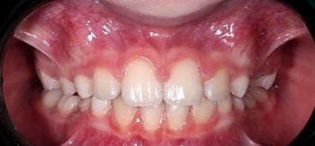
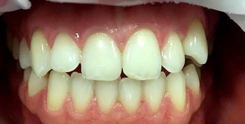
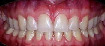
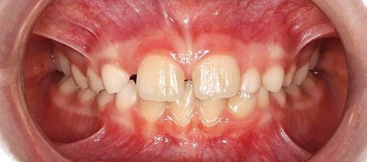
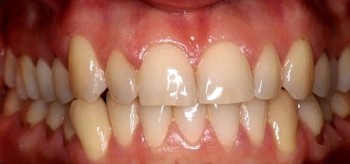
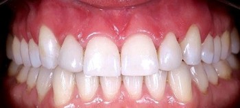
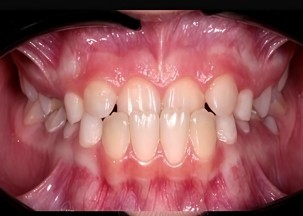
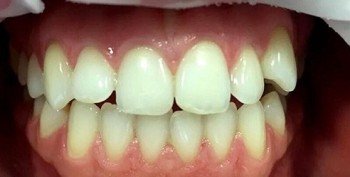
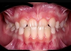
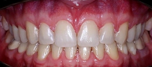
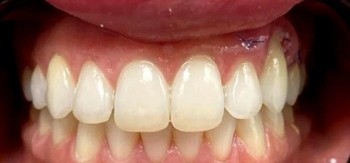
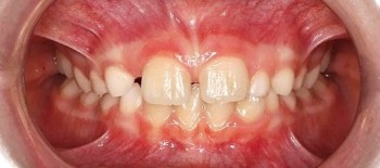
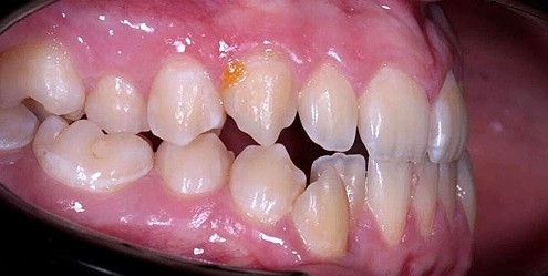
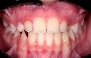
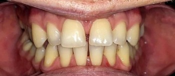
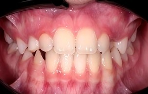
    Ильиченко (Журавская) Оксана Артуровна: портфолио (8)

    Акции и скидки клиники СТОМСИТИ (1)