Стоматолог Жвания Нала Анзоровна — цены, отзывы, стаж — Принимает в Москве

Жвания Нала Анзоровна

Жвания Нала Анзоровна - фотография

5.0
Рейтинг: 5.0
Отзывов: 188
Положительных: 188
Отрицательных: 0
Последний : 319 дн. назад
188 отзывов
стоматолог-ортодонт
Стаж 17 лет
Жвания Нала Анзоровна принимает в «Американский стоматологический центр ДАНТИСТ» в Москве. Стаж 17 лет. Специализируется на ортодонтии, по которой клиника оказывает 7 услуг. Имеет 5 работ до/после в портфолио. Опыт подтверждён 188 отзывами пациентов, из которых 188 положительные. Для уточнения дополнительной информации о специалисте или записи на прием можно позвонить по телефону
+7 (495)Показать телефон
. Занимает 14 место в рейтинге стоматологов-ортодонтов 32top в вашем городе. Также 32top представляет форму онлайн расписания, через которую можно записаться к специалисту на свободную дату и время.

Где принимает:

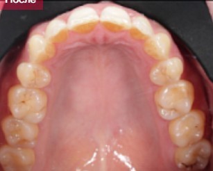
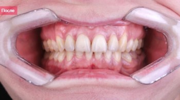
5 работ в портфолио
1 сертификат
Опыт 17 лет

Отзывы о враче Жвания Нала Анзоровна

Рейтинг: 5
Отзывов: 188
Положительных: 188
Отрицательных: 0
Последний: 319 дн. назад
5.0
Почему нашим отзывам можно доверять?
После приема Пациент записывался в клинику через 32top. После приёма мы позвонили ему и получили отзыв.
22 июня 2025 г.
1 2 3 4 5
Решила ставить брекет-систему у врача Жвания Н.А. Врач просто отличный, ко все мелочам относится внимательно, очень аккуратная, вежливая, всегда внимательно выслушает все мои обращения, даст полный ответ на все вопросы. Система установлена, теперь регулярно посещаю врача.
26 ноября 2023 г.
1 2 3 4 5
Проходила ортодонтическое лечение у Налы Анзоровны. Она очень внимательная и доброжелательная, одним словом, профессионал своего дела! В клинике всё на высшем уровне, чистота, современное оборудование и т. д. Я была удивлена такой слаженной работе врача и ассистента, понимают друг друга без слов. Выражаю слова благодарности моему ортодонту и её ассистенту. Успехов вам в работе.
20 ноября 2023 г.
1 2 3 4 5
Всё огонь. В срочном порядке пришлось заменять дугу, лигатуры и ставить стопоры у Жвании Налы Анзоровны, которые изначально делал у другого ортодонта. Всё прошло отлично. Попал в областную стоматологическую клинику после визита в другую частную стоматологическую клинику, где мне попытались вставить дугу и эта дуга тут же у меня выпала после выхода из стоматологии, после чего предыдущий ортодонт отказался со мной работать со словами: "Где брекеты вставляли, там и чините" и такой ответ местных "специалистов" достаточно распространён по моему опыту. Хорошо, что есть такие люди, как она, которые всегда готовы прийти на помощь.
10 ноября 2023 г.
1 2 3 4 5
Нала Анзоровна отличный специалист! Тактично, терпеливо и доступно разъясняет - что, почему и для чего... Всегда находит время принять, если вдруг что-то беспокоит. Делает все быстро и качественно! Результат порадовал! Исправили прикус, выровняли зубки - улыбки, что называется теперь - "Голливудские" у моих дочерей. Однозначно буду рекомендовать своим знакомым. Спасибо огромное!
После приема Пациент записывался в клинику через 32top. После приёма мы позвонили ему и получили отзыв.
5 ноября 2023 г.
1 2 3 4 5
Ставил брекеты у Жвании Налы Анзоровны. Ходил к ней на протяжении полутора лет. И за это время ни разу не усомнился в компетенции врача, уж тем более, ни разу не испытал дискомфорта от лечения. Индивидуальный подход и трепетное отношение к пациенту. Все подробно рассказывает и предлагает решения. Посоветовал друзьям, тоже остались довольны.
После приема Пациент записывался в клинику через 32top. После приёма мы позвонили ему и получили отзыв.
29 октября 2023 г.
1 2 3 4 5
Долгое время искала ортодонта. И в один день, когда забеспокоили зубы, обратилась к стоматологу, который направил к хирургу, а тот, в свою очередь, перенаправил на консультацию к Жвании Н.А.. Так с ней мы и познакомились весной 2021 года. На первой консультации мне было настолько все подробно рассказано о планах лечения, что не возникло вопросов оставаться или искать дальше специалиста. Приятное, тактичное, вежливое, внимательное отношение. Замечательный специалист и профессионал своего дела! Теперь, спустя полтора года лечения, настал тот день, когда могу без стеснения широко улыбаться! Мне было очень комфортно и спокойно с этим доктором. Сердечная благодарность Вам.
После приема Пациент записывался в клинику через 32top. После приёма мы позвонили ему и получили отзыв.
27 октября 2023 г.
1 2 3 4 5
Врач, которому я доверяю на сто процентов. Тем, кто боится лечить зубы, прямая дорога к этому специалисту! Адекватна, всегда предельно вежлива и спокойна. Даже к таким сложным пациентам, как я, которые от страха долго не могут рот открыть в кресле. Лечили несколько кариесов с этим стоматологом, лечили пульпит при беременности! Найдёт выход из самых сложных ситуаций! Всегда по итогу получала отличный результат. Советую врача от всего сердца.
21 октября 2023 г.
1 2 3 4 5
Пишу отзыв спустя 5 лет после обращения к Нале Анзоровне. Обращалась к ней за исправлением прикуса и неровности передних зубов. Это единственный врач в городе, который сказал, что можно работать без удаления 8-ок. Они все уже выросли на тот момент. Огромная благодарность за проделанную работу! Всё, как и пообещала врач. 1,5 года носила брекеты, выполняла все рекомендации и получила идеальную улыбку! Спустя 5 лет результат сохранился!
15 октября 2023 г.
1 2 3 4 5
Обратился для консультации по исправлению прикуса, так как имею "аномальный прикус". До 30 лет стоматологи говорили, что случай сложный и смысла уже нет исправлять. После консультации у Налы Анзоровны появилась надежда. Подход и то, что врач делает максимально возможно, и наперед сразу говорит, что будет после ношения этой или другой дуги, и именно так оно и происходит. Сказала, что длительной будет процедура, но результат в положительную сторону будет. Прошел год, и я вижу, как исправились зубы, стали ровнее. Теперь предстоит исправление челюсти.
5 октября 2023 г.
1 2 3 4 5
Доктор Жвания Н.А. мне очень понравилась! Провела подробную консультацию, очень много времени со мной беседовала. Нала Анзоровна ответила на все мои вопросы, предложила четыре варианта лечения, о каждом подробно рассказала. Доктор предоставил полную информацию: что и сколько стоит, как будет проходить, какие будут последствия. Лечиться у неё или нет - вопрос исключительно моих финансовых возможностей.
    Помогите другим сделать правильный выбор — оставьте свой отзыв о докторе
    Написать отзыв

    Услуги врача (13)

    Ортодонтия
    Установка брекетов
    от 15 000 ₽ до 18 400 ₽ за 1 челюсть
    Снятие брекетов
    Установка элайнеров
    от 10 000 ₽ за обе челюсти
    Еще услуги
    Все цены носят ознакомительный характер. Точную цену вы сможете получить только после консультации специалиста.
    Звоните по телефону:
    +7 (495)Показать телефон

    Стоматологические ассоциации

    • Член Профессионального Общества Ортодонтов России (ПОО)
    • Член Всемирной федерации ортодонтов (WFO)

    О стоматологе

    Специалист по ортодонтическому лечению на всех видах брекет-систем взрослых и детей с 12 лет.

    Жвания Нала Анзоровна: портфолио (5)

    Акции и скидки клиники ДАНТИСТ (7)