Стоматолог Абрамкина Юлия Александровна — цены, отзывы, стаж — Принимает в Москве

Абрамкина Юлия Александровна

Абрамкина Юлия Александровна - фотография
стоматолог-ортодонт
детский ортодонт
Стаж 11 лет
Абрамкина Юлия Александровна принимает в «Сеть клиник ДЕНТАЛ ВЕЙ» в Москве. Стаж 11 лет. Специализируется на ортодонтии, по которым клиника оказывает 10 услуг. Имеет 3 работы до/после в портфолио. Квалификация специалиста подтверждена 2 лицензиями, сертификатами и наградами. Для уточнения дополнительной информации о специалисте или записи на прием можно позвонить по телефону
+7 (495)Показать телефон
.

Где принимает:

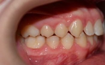
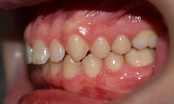
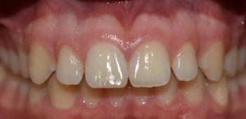
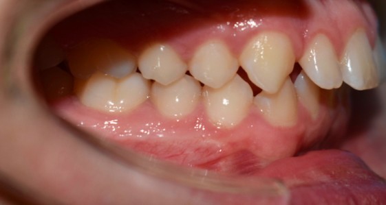
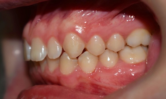
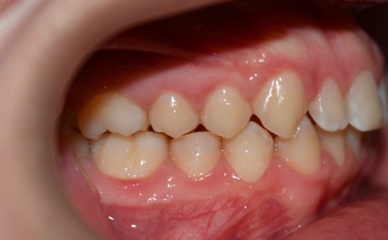
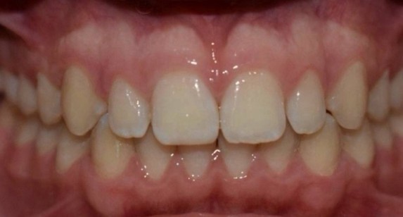
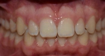
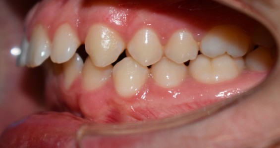
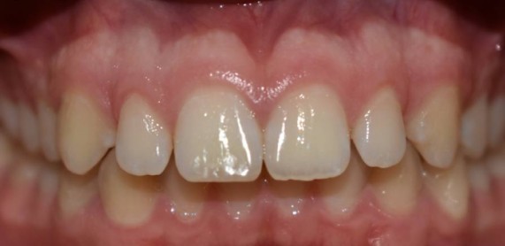
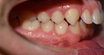
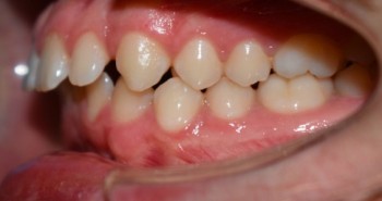
3 работы в портфолио
2 сертификата
Опыт 11 лет

Абрамкина Юлия Александровна: портфолио (3)

    Помогите другим сделать правильный выбор — оставьте свой отзыв о докторе
    Написать отзыв

    Услуги стоматолога в других клиниках

    Диагностика
    Консультация стоматолога от 1 ₽ до 3 500 ₽
    Консультация ортодонта от 1 ₽ до 5 200 ₽
    Еще услуги
    Ортодонтия
    Установка брекетов от 10 000 ₽ до 400 000 ₽
    Виды брекетов по материалу
    Еще услуги