Стоматолог Ахвердян Карен Карленович — цены, отзывы, стаж — Принимает в Москве

Ахвердян Карен Карленович

Ахвердян Карен Карленович - фотография
стоматолог-ортопед
стоматолог-хирург
стоматолог-имплантолог
Стаж 9 лет
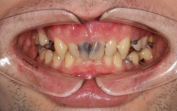
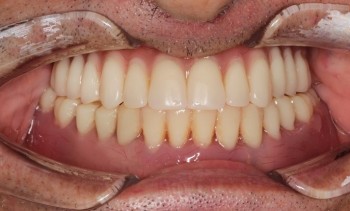
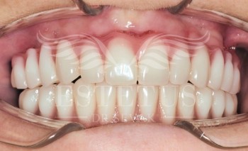
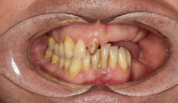
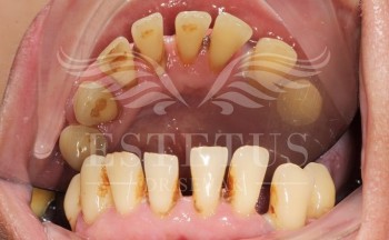
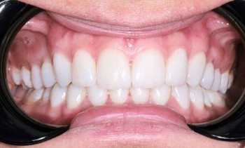
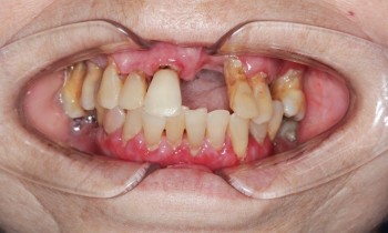
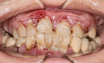
Ахвердян Карен Карленович принимает в «Клиника доктора Севака ЭСТЕТУС» в Москве. Стаж 9 лет. Специализируется на ортопедии, хирургии и имплантологии, по которым клиника оказывает 59 услуг. Имеет 24 работы до/после в портфолио. Квалификация специалиста подтверждена 12 лицензиями, сертификатами и наградами. Для уточнения дополнительной информации о специалисте или записи на прием можно позвонить по телефону
+7 (495)Показать телефон
. Также 32top представляет форму онлайн расписания, через которую можно записаться к специалисту на свободную дату и время.

Где принимает:

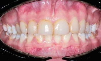
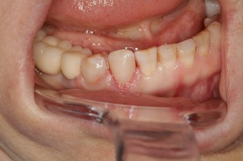
24 работы в портфолио
Опыт 9 лет
12 сертификатов

Отзывы о враче Ахвердян Карен Карленович

Почему нашим отзывам можно доверять?
8 января 2024 г.
1 2 3 4 5
Спасибо доктору Ахвердяну Карену Карленовичу за отличную работу! Очень доброжелательный и пациент-ориентированный. Отличный хирург и ортопед. Что ещё нужно? Много лет возглавлял зуботехническую лабораторию. Знает все об эстетике зубов. Всем рекомендую этого доктора, который умеет создавать улыбку мечты.
Спасибо за ваш отзыв! Карену Карленовичу все передали. Доктора ещё называют рок-звездой ортопедии:) Всего Вам самого доброго! С уважением, клиника доктора Севака Estetus
    Помогите другим сделать правильный выбор — оставьте свой отзыв о докторе
    Написать отзыв

    Услуги врача (91)

    Хирургическая стоматология
    Удаление зубов
    от 7 300 ₽ до 36 200 ₽ за 1 зуб
    Удаление зуба мудрости
    от 22 600 ₽ до 36 200 ₽ за 1 зуб
    Сложное удаление зуба
    от 11 400 ₽ до 36 200 ₽ за 1 зуб
    Еще услуги
    Протезирование зубов
    Установка коронки на зуб
    от 21 828 ₽ за 1 зуб
    Установка протеза Акри Фри (Acry-Free)
    от 76 300 ₽ за 1 челюсть
    Ремонт зубных протезов
    Еще услуги
    Имплантация
    Имплантация зубов под ключ
    от 45 000 ₽ до 181 200 ₽ за 1 зуб
    Установка мини-импланта
    от 22 000 ₽ до 39 100 ₽ за 1 зуб
    Коронки на имплантах
    от 48 100 ₽ до 92 000 ₽ за 1 зуб
    Еще услуги
    Все цены носят ознакомительный характер. Точную цену вы сможете получить только после консультации специалиста.
    Звоните по телефону:
    +7 (495)Показать телефон

    Ахвердян Карен Карленович: портфолио (24)