Стоматолог Барсегян Севак Нодарович — цены, отзывы, стаж — Принимает в Москве

Барсегян Севак Нодарович

Барсегян Севак Нодарович - фотография

4.9
Рейтинг: 4.9
Отзывов: 38
Положительных: 37
Отрицательных: 1
Последний : 153 дн. назад
38 отзывов
стоматолог-хирург
стоматолог-имплантолог
Стаж 21 год
к.м.н., главный врач
Барсегян Севак Нодарович принимает в «Клиника доктора Севака ЭСТЕТУС» в Москве. К.м.н., главный врач, стаж 21 год. Специализируется на хирургии и имплантологии, по которым клиника оказывает 37 услуг. Имеет 49 работ до/после в портфолио. Квалификация специалиста подтверждена 27 лицензиями, сертификатами и наградами, а опыт 38 отзывами пациентов, из которых 37 положительные. Для уточнения дополнительной информации о специалисте или записи на прием можно позвонить по телефону
+7 (495)Показать телефон
. Также 32top представляет форму онлайн расписания, через которую можно записаться к специалисту на свободную дату и время.

Где принимает:

27 сертификатов
Главный врач
Топ 50 в рейтинге
8 видеоотзывов
Кандидат мед.наук
Опыт 21 год

Отзывы о враче Барсегян Севак Нодарович

Рейтинг: 4.895
Отзывов: 38
Положительных: 37
Отрицательных: 1
Последний: 153 дн. назад
4.9
Почему нашим отзывам можно доверять?
3 декабря 2025 г.
1 2 3 4 5
Клинику доктора Севака "Estetus "я выбрала ни разу не случайно. Изучив московские стоматологические клиники, оказывающие услуги по имплантации зубов, я выписала 5 . Ориентировалась по врачам, количеству проведенных имплантаций, отзывам и рейтингу на разных платформах. Из первой клинки, куда я хотела записаться, мне даже не перезвонили, хотя я оставила контактный телефон. Во второй на ресепшене мне сказали раздеться и ждать. Бесплатная консультация заняла 5-7минут. Коротко: вырвем, отек спадет, вставим. После этого я поехала в Estetus. Тут же подошла консультант. Заполнила анкету, предложили кофе. Я понимаю, что кофе на качество имплантации не влияет, но внимание было приятно. Консультация 2 врачей, которые будут моими зубами заниматься, заняла около 30 минут. У меня выяснили какие сопутствующие заболевания есть, рассказали какие анализы нужно будет там же сдать, как все будет проходить и.т.д. Я сначала удивилась, а потом сообразила. Это ведь операция и довольно серьезная. Анализы просто необходимы. Свертываемость крови, спид, ВИЧ и другие. Закончилось тем, что мне была выдана распечатка с четырьмя вариантами по стоимости, где подробно расписано сколько и за что платить. Никто не настаивал, чтобы я пришла именно сюда. Вот я и сравнила 2 бесплатные консультации и решила остановиться на клинике доктора Севака. Больше никуда не пошла. 24 иду сдавать анализы. Позже напишу как все будет складываться. Обещала написать продолжение моей истории по имплантации зубов в клинике доктора Севака « Эстетус». Как результат – я счастлива! Самое важное, с моей точки зрения, это профессионализм, а в этой клинике супер ПРОФЕССИОНАЛЫ. Предусмотрено всё. Абсолютно всё. Как Севаку Нодаровичу удалось создать такую потрясающую клинику - для меня великая загадка. Сам главный врач постоянно находится рядом и успевает не только контролировать рабочие моменты, но и поддерживать добрым словом, улыбкой, рукопожатием пациентов и их родственников. На сайте написано, что клиника не экономит на расходниках. Абсолютная правда. Перед операцией от своего куратора я получила распечатку, где было указано какое лекарство когда пить, и пакетик с самими таблетками. Препараты довольно дорогие. Когда при заключении договора мне дали подробную распечатку стоимости лечения - этой услуги там не было, следовательно, это забота клиники. Отдельное спасибо! Теперь сама операция. На консультации я познакомилась с анестезиологом Михаилом Николаевичем и хирургом Артёмом Дмитриевичем. Оба врача сразу вызвали доверие. Как-то сразу перестала нервничать. Михаил Николаевич несколько раз беседовал со мной. Буквально выпытывал мои проблемы со здоровьем (сразу всё и не вспомнишь), звонил накануне операции и всячески поддерживал. Хирург Артём Дмитриевич провёл саму операцию, которая длилась 7 часов. Как он выдержал, не знаю! Присутствовал и Севак Нодарович. Видимо, не всю операцию, так как он выходил (я позже узнала) и подбадривал моего мужа. Это великолепные МАСТЕРА СВОЕГО ДЕЛА. ВОЛШЕБНИКИ! Как я не специалист могу судить? После наркоза я легко пришла в себя, я не отекла как поросёнок, я вообще не отекла и ничего не болело! Безусловно, слегка поднывало, но что это, по сравнению с удаленными мостами, зубами, выравниванию десны и вживлению имплантов при плохой надкостнице. Напоминаю, в предыдущей клинике обещали 6 месяцев без зубов и наращивание надкостницы. Отдельно о послеоперационной палате. Это не палата и не койко-место, а уютная чистейшая комната с широкой кроватью, туалетом и полным набором прекрасных махровых полотенец и халата. Моё состояние после операции проконтролировал Михаил Николаевич и я пошла домой. А дальше всё завертелось. На следующий день примерка. Был Артём Дмитриевич и опять подходил Севак Нодарович. Они вместе смотрели как лучше сделать. И снова не больно! Разрезанная, зашитая десна и НЕ БОЛЬНО! А 30 ноября (воскресенье, вечер) снова чудесные руки моего врача и главврача и я с удобными и очень красивыми зубами. Пишу и улыбаюсь. Отдельно хочу поблагодарить всех медсестричек, которые были на каждом моём этапе. Я с перепугу не запомнила их имена, но очень им признательна. Спасибо, милые барышни! И в завершении о сотрудницах ресепшен. Мои милые, если бы не ваша приветливость и доброжелательность не знаю, осталась бы я в этой клинике или пошла дальше. Как хорошо, что я больше никуда не пошла. И самое последнее. Вы все смогли сделать из волнительного,тревожного для меня и сложного, трудоёмкого, ответственного процесса для вас - ПРАЗДНИК! Это вы, по окончании всего, дарили подарки, поздравляли и аплодировали мне. Я сердечно благодарю ВСЕХ! Здоровья, благополучия, счастья всем! Процветания прекрасной, замечательной, великолепной клинике "Estetus" DR.SEVAK. ВЫ - ЛУЧШИЕ!
Спасибо вам за такой глубокий, искренний и тёплый отзыв! Он буквально передаёт атмосферу, которую мы стремимся создавать в клинике — профессионализм, заботу и полное доверие между врачом и пациентом. Мы обязательно передадим ваши слова всем участникам процесса. Рады, что операция прошла для вас комфортно и результат превзошёл ожидания — ведь цель нашей работы — восстанавливать не только улыбку, но и уверенность в себе. Отдельное спасибо за добрые слова в адрес Михаила Николаевича, Артема Дмитриевича, Севака Нодаровича и всей команды — для нас важно, что каждый участник процесса оставил у вас приятные впечатления Будьте уверены, в «Эстетус» вам всегда рады — с улыбкой и заботой! С уважением, Клиника доктора Севака Estetus
28 декабря 2023 г.
1 2 3 4 5
Попала к доктору Барсегяну Севаку Нодаровичу по рекомендации. До этого обошла несколько клиник, есть с чем сравнить. Делала восстановление зубов по методике All-on-4. Результатом полностью довольна. Моя жизнь изменилась на до и после. Отличная клиника, замечательные врачи! Весь персонал хороший от ресепшена до ассистентов. Всем рекомендую!
Спасибо за высокую оценку и рекомендации нашего Севака Нодаровича и клиники. Делаем все возможное, чтобы наши пациенты были счастливы. И очень радуемся таким душевным отзывам! С уважением, клиника доктора Севака Estetus
25 мая 2023 г.
1 2 3 4 5
Делала у Севака имплантацию, под седацией. Уснула - проснулась! Идеально))) пришла по рекомендации, но все же ещё больше порадовало, что у клиники есть лицензия на наркоз и седацию. Это редкость. После имплантации даже ничего не болело. Теперь жду, как приживется имплант)
Барсегян Севак Нодарович
14 июня 2023 г.
Анастасия, спасибо за отзыв: особенно, фото :) Селфи в нашем лифте стало доброй традицией у наших пациентов! Рады, что что вы остались довольны: наши доктора и правда волшебники! Будем рады вам снова! С уважением, клиника доктора Севака Estetus.
После приема Пациент записывался в клинику через 32top. После приёма мы позвонили ему и получили отзыв.
14 июня 2022 г.
1 2 3 4 5
Я давно хожу в эту клинику, являюсь их постоянным клиентом. Выбирала для себя лучшего доктора и для меня это Севак Надарович. Только он смог сделать мне такую сложную операцию на верхней челюсти. Это было в январе и на протяжении всего послеоперационного периода нахожусь с доктором на связи. Это врач с мировым именем, которому можно полностью довериться и ни о чем не переживать. Я ему очень благодарна, за его труд. Он подобрал грамотный персонал в своей клинике, создал домашнюю атмосферу. Хочется приходить и не хочется уходить из стоматологии. Я отмечу так же девочек администраторов, они молодцы, хорошо выполняют свои обязанности. Желаю клинике только процветания и благодарных пациентов.
После приема Пациент записывался в клинику через 32top. После приёма мы позвонили ему и получили отзыв.
28 мая 2022 г.
1 2 3 4 5
Обратился сюда повторно. Клиника меня устраивает со всех сторон. Абсолютная чистота, комфорт для клиентов, прекрасное техническое оснащение, профессионализм врачей. Операцию и протезирование мне выполнил Севак Нодарович. У доктора как говорят "золотые руки", к нему у меня полное доверие. Идет первая неделя после окончания моего лечения. Чувствую себя замечательно, качеством работ полностью доволен. Так же для меня еще одним показателем профессионализма является то, что администраторы постоянно на связи с клиентами, помогут решить любую проблему со временем приема, готовы ответить на возникшие вопросы. Весь коллектив работает отлично.
После приема Пациент записывался в клинику через 32top. После приёма мы позвонили ему и получили отзыв.
12 мая 2022 г.
1 2 3 4 5
Мне понравился коллектив этой клиники, отношение к пациенту на всех этапах лечения. Замечательные девочки-администраторы приветливые и общительные. Помогут выбрать удобное время, быстро оформляют все документы. Я довольна своим доктором, это Севак Надарович. Профессионал, сразу понимает, что будет лучше для пациента, отзывчивый, прекрасный человек, к нему приятно приходить на прием, абсолютно уверена в этом враче. Сейчас прохожу протезирование. В клинике хороший выбор материалов и приемлемые цены.
После приема Пациент записывался в клинику через 32top. После приёма мы позвонили ему и получили отзыв.
11 апреля 2022 г.
1 2 3 4 5
Мне повезло, что я попала в эту стоматологию. От меня отказались все стоматологи Москвы. После перенесенной онкологии у меня полностью разрушилась десна. Нужна была операция, но делать ее никто не брался. И только Севак Нодарович взялся за мой сложный случай, за что я ему благодарна. Это профессионал с большой буквы, прекрасный специалист. Тем более, что челюстно -лицевая хирургия это узкая специализация. Операция прошла успешно, на сегодняшний день у меня все хорошо. Каждые три месяца я приезжаю на осмотр к доктору. Приятно, что клиника не бросает своих пациентов и после окончания лечения. Цены очень даже приемлемые. Для меня лучшая клиника Москвы.
12 декабря 2021 г.
1 2 3 4 5
Приятно приходить на приём в дружный коллектив. Когда все тебя знают по имени. Когда приходишь в клинику Эстетус, чувствуешь себя как дома! Браво, Доктор Севак, в этом ваша заслуга!!!
6 ноября 2021 г.
1 2 3 4 5
Я как одна из постоянных пациенток (уже около 8 лет), с большим удовольствием наблюдаю за ростом клиники. И все благодаря супер главному врачу и основателю клиники Барсегяну Севаку Нодаррвичу. Благодарю за качественную работу и добросовестное отношение! У вас золотые руки!
18 октября 2021 г.
1 2 3 4 5
Ни дня, ни минуты, ни секунды не пожалели, что пришли сначала по одиночке, а потом подтянулась вся семья лечить зубы к вам. Не важно, была это маленькая клиника на 2 кабинета, или как сейчас шикарное помещение - если там тебя безболезненно и качественно лечили, очень внимательно и уважительно относились ко всем твоим просьбам. Спасибо Севаку Нодаровичу и его сотрудникам за такое отношение!
    Помогите другим сделать правильный выбор — оставьте свой отзыв о докторе
    Написать отзыв

    Услуги врача (62)

    Хирургическая стоматология
    Удаление зубов
    от 7 300 ₽ до 36 200 ₽ за 1 зуб
    Удаление зуба мудрости
    от 22 600 ₽ до 36 200 ₽ за 1 зуб
    Сложное удаление зуба
    от 11 400 ₽ до 36 200 ₽ за 1 зуб
    Еще услуги
    Имплантация
    Имплантация зубов под ключ
    от 45 000 ₽ до 181 200 ₽ за 1 зуб
    Установка мини-импланта
    от 22 000 ₽ до 39 100 ₽ за 1 зуб
    Коронки на имплантах
    от 48 100 ₽ до 92 000 ₽ за 1 зуб
    Еще услуги
    Все цены носят ознакомительный характер. Точную цену вы сможете получить только после консультации специалиста.
    Звоните по телефону:
    +7 (495)Показать телефон

    О стоматологе

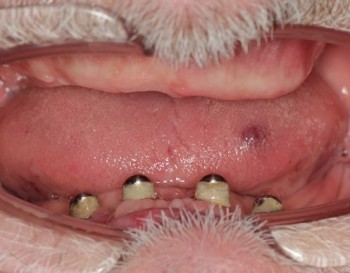
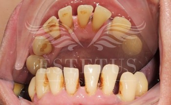
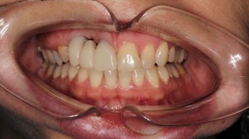
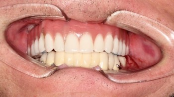
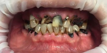
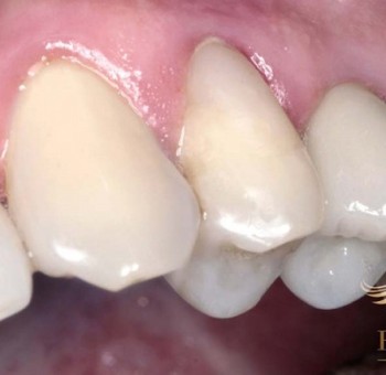
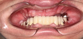
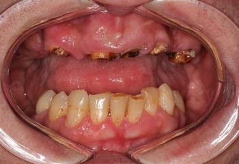
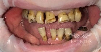
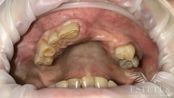
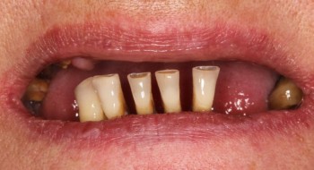
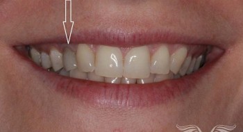
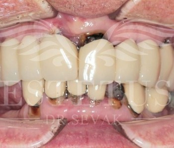
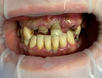
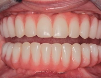
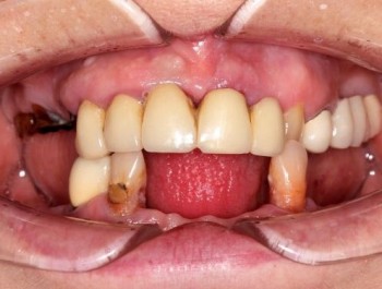
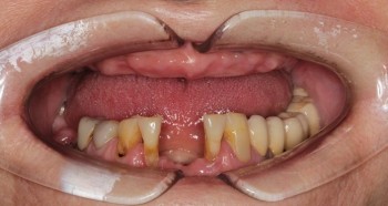
    Барсегян Севак Нодарович специализируется на хирургии и имплантации зубов: восстановление отсутствия зубов пациентов с острым дефицитом костной ткани по методике All-on-4, скуловая имплантация Zygoma. Автор запатентованной методики протезирования сразу после имплантации постоянным протезом.

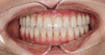
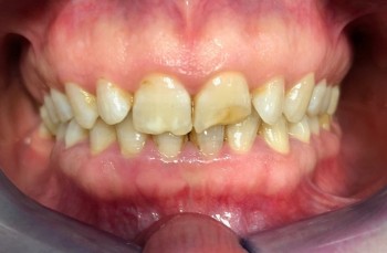
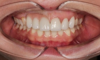
    Барсегян Севак Нодарович: портфолио (49)